Inter-examiner Reliability of Two Methods for Scoring Post-Orthodontic White Spot Lesions from Digital Photographs.

IF 1.4 Q4 DENTISTRY, ORAL SURGERY & MEDICINE
Aikaterini Papadimitriou, Diana Mortensen, Iosif Sifakakis, Olympia Salamara, Svante Twetman, Sotiria Gizani
{"title":"Inter-examiner Reliability of Two Methods for Scoring Post-Orthodontic White Spot Lesions from Digital Photographs.","authors":"Aikaterini Papadimitriou, Diana Mortensen, Iosif Sifakakis, Olympia Salamara, Svante Twetman, Sotiria Gizani","doi":"10.4274/TurkJOrthod.2023.2022.58","DOIUrl":null,"url":null,"abstract":"<p><strong>Objective: </strong>To compare the reliability of two scoring systems for detecting white spot lesions (WSLs) from clinical photographs captured during debonding of fixed orthodontic appliances.</p><p><strong>Methods: </strong>Digital images of 58 healthy adolescents (34 females and 24 males) were examined, depicting 384 buccal surfaces of maxillary incisors, canines, and first premolars. Three trained examiners (E1, E2 and E3) independently evaluated the fully anonymized photos in a randomized order using the Gorelick index (GI) and the modified International Caries Detection and Assessment System (ICDAS II). A 1-2-week interval separated the scorings. Spearman's rank correlation coefficient, Fisher's z-test, and the interclass correlation coefficient (ICC) were applied to compare the scoring methods and express examiner agreement.</p><p><strong>Results: </strong>The two scoring systems showed a moderate to strong positive relationship, but inter-examiner variations were significant (p<0.05). We found moderate to good reliability (ICC 0.60 to 0.84) with the ICDAS II system and good to excellent values with the GI (ICC 0.72 to 0.94), depending on the examiner. The agreement concerning the sound surfaces and the most severe WSLs was perfect, whereas the scoring of the milder lesion stages appeared more uncertain.</p><p><strong>Conclusion: </strong>A moderate to strong positive relationship was demonstrated between the two methods when scoring the presence and severity of WSLs from digital images. Significant inter-examiner variations affected reliability.</p>","PeriodicalId":37013,"journal":{"name":"Turkish Journal of Orthodontics","volume":"37 2","pages":"79-83"},"PeriodicalIF":1.4000,"publicationDate":"2024-06-30","publicationTypes":"Journal Article","fieldsOfStudy":null,"isOpenAccess":false,"openAccessPdf":"https://www.ncbi.nlm.nih.gov/pmc/articles/PMC11589245/pdf/","citationCount":"0","resultStr":null,"platform":"Semanticscholar","paperid":null,"PeriodicalName":"Turkish Journal of Orthodontics","FirstCategoryId":"1085","ListUrlMain":"https://doi.org/10.4274/TurkJOrthod.2023.2022.58","RegionNum":0,"RegionCategory":null,"ArticlePicture":[],"TitleCN":null,"AbstractTextCN":null,"PMCID":null,"EPubDate":"","PubModel":"","JCR":"Q4","JCRName":"DENTISTRY, ORAL SURGERY & MEDICINE","Score":null,"Total":0}
引用次数: 0

Abstract

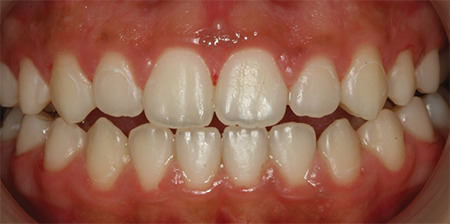
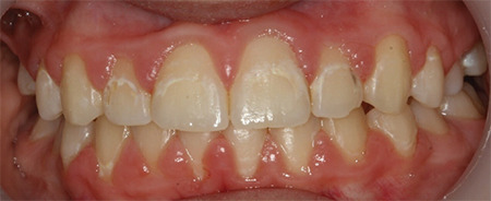
Objective: To compare the reliability of two scoring systems for detecting white spot lesions (WSLs) from clinical photographs captured during debonding of fixed orthodontic appliances.

Methods: Digital images of 58 healthy adolescents (34 females and 24 males) were examined, depicting 384 buccal surfaces of maxillary incisors, canines, and first premolars. Three trained examiners (E1, E2 and E3) independently evaluated the fully anonymized photos in a randomized order using the Gorelick index (GI) and the modified International Caries Detection and Assessment System (ICDAS II). A 1-2-week interval separated the scorings. Spearman's rank correlation coefficient, Fisher's z-test, and the interclass correlation coefficient (ICC) were applied to compare the scoring methods and express examiner agreement.

Results: The two scoring systems showed a moderate to strong positive relationship, but inter-examiner variations were significant (p<0.05). We found moderate to good reliability (ICC 0.60 to 0.84) with the ICDAS II system and good to excellent values with the GI (ICC 0.72 to 0.94), depending on the examiner. The agreement concerning the sound surfaces and the most severe WSLs was perfect, whereas the scoring of the milder lesion stages appeared more uncertain.

Conclusion: A moderate to strong positive relationship was demonstrated between the two methods when scoring the presence and severity of WSLs from digital images. Significant inter-examiner variations affected reliability.

Abstract Image

Abstract Image

通过数码照片对正畸后白斑病变进行评分的两种方法在检查者之间的可靠性
目的比较从固定矫治器脱钩时拍摄的临床照片中检测白斑病变(WSL)的两种评分系统的可靠性:对 58 名健康青少年(34 名女性和 24 名男性)的数字图像进行了检查,共拍摄了 384 张上颌门牙、犬齿和第一前臼齿的颊面照片。三名训练有素的检查员(E1、E2 和 E3)按照随机顺序,使用戈利克指数(GI)和改良的国际龋病检测和评估系统(ICDAS II)对完全匿名的照片进行了独立评估。两次评分间隔 1-2 周。斯皮尔曼等级相关系数、费雪z检验和类间相关系数(ICC)被用来比较评分方法和表达检查者的一致性:结果:两种评分系统显示出中等到较强的正相关关系,但考官之间的差异显著(p 结论:两种评分系统显示出中等到较强的正相关关系,但考官之间的差异显著(p在对数字图像中是否存在WSL以及WSL的严重程度进行评分时,两种方法之间呈现出中度到高度的正相关关系。检查者之间的显著差异影响了可靠性。
本文章由计算机程序翻译,如有差异,请以英文原文为准。
求助全文
约1分钟内获得全文 求助全文
来源期刊
Turkish Journal of Orthodontics
Turkish Journal of Orthodontics Dentistry-Orthodontics
CiteScore
2.10
自引率
9.10%
发文量
34
×
引用
GB/T 7714-2015
复制
MLA
复制
APA
复制
导出至
BibTeX EndNote RefMan NoteFirst NoteExpress
×
提示
您的信息不完整,为了账户安全,请先补充。
现在去补充
×
提示
您因"违规操作"
具体请查看互助需知
我知道了
×
提示
确定
请完成安全验证×
copy
已复制链接
快去分享给好友吧!
我知道了
右上角分享
点击右上角分享
0
联系我们:info@booksci.cn Book学术提供免费学术资源搜索服务,方便国内外学者检索中英文文献。致力于提供最便捷和优质的服务体验。 Copyright © 2023 布克学术 All rights reserved.
京ICP备2023020795号-1
ghs 京公网安备 11010802042870号
Book学术文献互助
Book学术文献互助群
群 号:604180095
Book学术官方微信