PET/CT in the Evaluation of CAR-T Cell Immunotherapy in Hematological Malignancies.

IF 2.4 4区 医学 Q3 BIOCHEMICAL RESEARCH METHODS
Molecular Imaging Pub Date : 2024-05-29 eCollection Date: 2024-01-01 DOI:10.1177/15353508241257924
Shashi B Singh, Sadikshya Bhandari, Shisir Siwakoti, Manoj Kumar, Rajshree Singh, Subarna Bhusal, Karuna Sharma, Samikshya Bhandari, Kishor Khanal
{"title":"PET/CT in the Evaluation of CAR-T Cell Immunotherapy in Hematological Malignancies.","authors":"Shashi B Singh, Sadikshya Bhandari, Shisir Siwakoti, Manoj Kumar, Rajshree Singh, Subarna Bhusal, Karuna Sharma, Samikshya Bhandari, Kishor Khanal","doi":"10.1177/15353508241257924","DOIUrl":null,"url":null,"abstract":"<p><p>Chimeric antigen receptor (CAR)-T cell-based immunotherapy has emerged as a path-breaking strategy for certain hematological malignancies. Assessment of the response to CAR-T therapy using quantitative imaging techniques such as positron emission tomography/computed tomography (PET/CT) has been broadly investigated. However, the definitive role of PET/CT in CAR-T therapy remains to be established. [<sup>18</sup>F]FDG PET/CT has demonstrated high sensitivity and specificity for differentiating patients with a partial and complete response after CAR-T therapy in lymphoma. The early therapeutic response and immune-related adverse effects such as cytokine release syndrome and immune effector cell-associated neurotoxicity syndrome can also be detected on [<sup>18</sup>F]FDG PET images. In otherwise asymptomatic lymphoma patients with partial response following CAR-T therapy, the only positive findings could be abnormal PET/CT results. In multiple myeloma, a negative [<sup>18</sup>F]FDG PET/CT after receiving B-cell maturation antigen-directed CAR-T therapy has been associated with a favorable prognosis. In leukemia, [<sup>18</sup>F]FDG PET/CT can detect extramedullary metastases and treatment responses after therapy. Hence, PET/CT is a valuable imaging tool for patients undergoing CAR-T therapy for pretreatment evaluation, monitoring treatment response, assessing safety, and guiding therapeutic strategies. Developing guidelines with standardized cutoff values for various PET parameters and tumor cell-specific tracers may improve the efficacy and safety of CAR-T therapy.</p>","PeriodicalId":18855,"journal":{"name":"Molecular Imaging","volume":"23 ","pages":"15353508241257924"},"PeriodicalIF":2.4000,"publicationDate":"2024-05-29","publicationTypes":"Journal Article","fieldsOfStudy":null,"isOpenAccess":false,"openAccessPdf":"https://www.ncbi.nlm.nih.gov/pmc/articles/PMC11208886/pdf/","citationCount":"0","resultStr":null,"platform":"Semanticscholar","paperid":null,"PeriodicalName":"Molecular Imaging","FirstCategoryId":"3","ListUrlMain":"https://doi.org/10.1177/15353508241257924","RegionNum":4,"RegionCategory":"医学","ArticlePicture":[],"TitleCN":null,"AbstractTextCN":null,"PMCID":null,"EPubDate":"2024/1/1 0:00:00","PubModel":"eCollection","JCR":"Q3","JCRName":"BIOCHEMICAL RESEARCH METHODS","Score":null,"Total":0}
引用次数: 0

Abstract

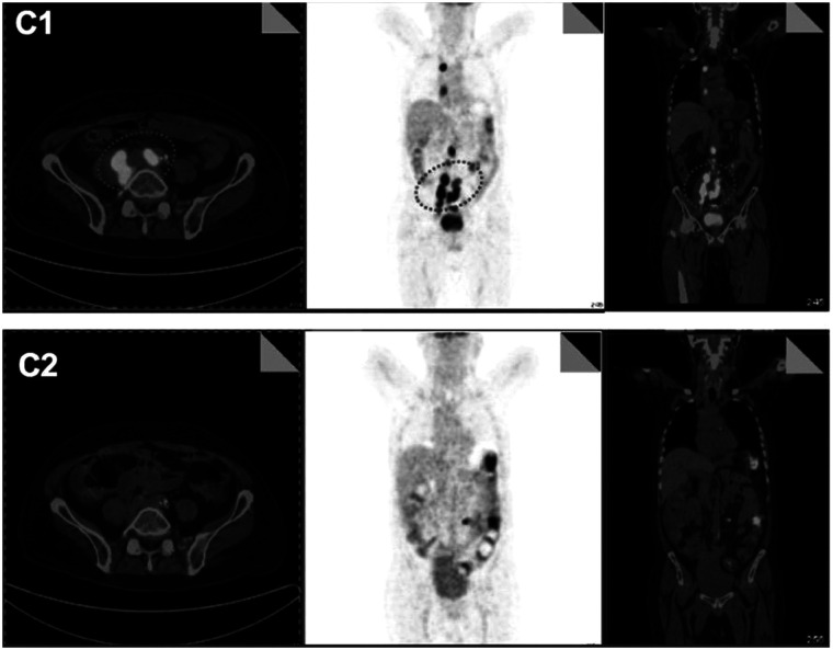
Chimeric antigen receptor (CAR)-T cell-based immunotherapy has emerged as a path-breaking strategy for certain hematological malignancies. Assessment of the response to CAR-T therapy using quantitative imaging techniques such as positron emission tomography/computed tomography (PET/CT) has been broadly investigated. However, the definitive role of PET/CT in CAR-T therapy remains to be established. [18F]FDG PET/CT has demonstrated high sensitivity and specificity for differentiating patients with a partial and complete response after CAR-T therapy in lymphoma. The early therapeutic response and immune-related adverse effects such as cytokine release syndrome and immune effector cell-associated neurotoxicity syndrome can also be detected on [18F]FDG PET images. In otherwise asymptomatic lymphoma patients with partial response following CAR-T therapy, the only positive findings could be abnormal PET/CT results. In multiple myeloma, a negative [18F]FDG PET/CT after receiving B-cell maturation antigen-directed CAR-T therapy has been associated with a favorable prognosis. In leukemia, [18F]FDG PET/CT can detect extramedullary metastases and treatment responses after therapy. Hence, PET/CT is a valuable imaging tool for patients undergoing CAR-T therapy for pretreatment evaluation, monitoring treatment response, assessing safety, and guiding therapeutic strategies. Developing guidelines with standardized cutoff values for various PET parameters and tumor cell-specific tracers may improve the efficacy and safety of CAR-T therapy.

Abstract Image

Abstract Image

Abstract Image

PET/CT 在血液恶性肿瘤 CAR-T 细胞免疫疗法评估中的应用。
基于嵌合抗原受体(CAR)-T 细胞的免疫疗法已成为治疗某些血液恶性肿瘤的突破性策略。利用正电子发射断层扫描/计算机断层扫描(PET/CT)等定量成像技术评估 CAR-T 疗法的反应已得到广泛研究。然而,PET/CT 在 CAR-T 疗法中的确切作用仍有待确定。[18F]FDG正电子发射断层扫描/计算机断层扫描(PET/CT)在区分淋巴瘤 CAR-T 治疗后部分反应和完全反应患者方面具有很高的灵敏度和特异性。早期治疗反应和免疫相关不良反应,如细胞因子释放综合征和免疫效应细胞相关神经毒性综合征,也可通过[18F]FDG PET 图像检测出来。在接受 CAR-T 治疗后出现部分反应的无症状淋巴瘤患者中,唯一的阳性结果可能是 PET/CT 结果异常。在多发性骨髓瘤中,接受 B 细胞成熟抗原导向 CAR-T 治疗后,[18F]FDG PET/CT 阴性与预后良好有关。在白血病中,[18F]FDG PET/CT 可以检测髓外转移和治疗后的治疗反应。因此,PET/CT 是接受 CAR-T 疗法的患者进行预处理评估、监测治疗反应、评估安全性和指导治疗策略的重要成像工具。为各种 PET 参数和肿瘤细胞特异性示踪剂制定标准化临界值的指南可提高 CAR-T 疗法的疗效和安全性。
本文章由计算机程序翻译,如有差异,请以英文原文为准。
求助全文
约1分钟内获得全文 求助全文
来源期刊
Molecular Imaging
Molecular Imaging Biochemistry, Genetics and Molecular Biology-Biotechnology
自引率
3.60%
发文量
21
期刊介绍: Molecular Imaging is a peer-reviewed, open access journal highlighting the breadth of molecular imaging research from basic science to preclinical studies to human applications. This serves both the scientific and clinical communities by disseminating novel results and concepts relevant to the biological study of normal and disease processes in both basic and translational studies ranging from mice to humans.
×
引用
GB/T 7714-2015
复制
MLA
复制
APA
复制
导出至
BibTeX EndNote RefMan NoteFirst NoteExpress
×
提示
您的信息不完整,为了账户安全,请先补充。
现在去补充
×
提示
您因"违规操作"
具体请查看互助需知
我知道了
×
提示
确定
请完成安全验证×
copy
已复制链接
快去分享给好友吧!
我知道了
右上角分享
点击右上角分享
0
联系我们:info@booksci.cn Book学术提供免费学术资源搜索服务,方便国内外学者检索中英文文献。致力于提供最便捷和优质的服务体验。 Copyright © 2023 布克学术 All rights reserved.
京ICP备2023020795号-1
ghs 京公网安备 11010802042870号
Book学术文献互助
Book学术文献互助群
群 号:604180095
Book学术官方微信