ULTRASOUND IMAGING AND PATHOLOGIC FEATURES OF IDIOPATHIC SCROTAL CALCINOSIS IN A YOUNG ADULT NIGERIAN AND REVIEW OF THE LITERATURE.

S J Ayilara, O I Lawrence, T E Ogunsanya, E O Fatunla, A M Agunloye, G I Ogbole
{"title":"ULTRASOUND IMAGING AND PATHOLOGIC FEATURES OF IDIOPATHIC SCROTAL CALCINOSIS IN A YOUNG ADULT NIGERIAN AND REVIEW OF THE LITERATURE.","authors":"S J Ayilara, O I Lawrence, T E Ogunsanya, E O Fatunla, A M Agunloye, G I Ogbole","doi":"","DOIUrl":null,"url":null,"abstract":"<p><strong>Background: </strong>Idiopathic scrotal calcinosis is a rare and benign disease of the scrotal skin that presents as solitary or multiple painless calcified nodules or papules in the absence of systemic disorders of calcium or phosphorus metabolism. Although some theories have been proposed as to the cause of this rare disease, the exact cause remains unknown. In a resource-poor medical setting like Nigeria, a confident diagnosis of this condition can be made with ultrasonography.</p><p><strong>Objective: </strong>The objective of this report is to emphasize the role of ultrasound in the imaging diagnosis of idiopathic scrotal calcinosis.</p><p><strong>Case presentation: </strong>This is a case report of a 38-year-old man who presented with recently discharging but longstanding multiple painless scrotal nodules of 22-years duration.</p><p><strong>Conclusion: </strong>This case illustrates the prompt and accurate diagnosis of idiopathic scrotal calcinosis using an ultrasound, a readily available imaging modality in a low-resource setting.Although histology remains the gold-standard for diagnosing idiopathic scrotal calcinosis following surgical excision, this benign disorder has unique sonographic characteristics that could aid the radiologist in making a confident diagnosis.</p>","PeriodicalId":72221,"journal":{"name":"Annals of Ibadan postgraduate medicine","volume":"22 1","pages":"112-115"},"PeriodicalIF":0.0000,"publicationDate":"2024-04-30","publicationTypes":"Journal Article","fieldsOfStudy":null,"isOpenAccess":false,"openAccessPdf":"https://www.ncbi.nlm.nih.gov/pmc/articles/PMC11205725/pdf/","citationCount":"0","resultStr":null,"platform":"Semanticscholar","paperid":null,"PeriodicalName":"Annals of Ibadan postgraduate medicine","FirstCategoryId":"1085","ListUrlMain":"","RegionNum":0,"RegionCategory":null,"ArticlePicture":[],"TitleCN":null,"AbstractTextCN":null,"PMCID":null,"EPubDate":"","PubModel":"","JCR":"","JCRName":"","Score":null,"Total":0}
引用次数: 0

Abstract

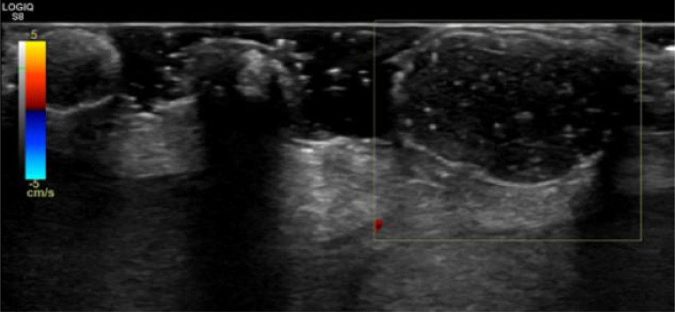
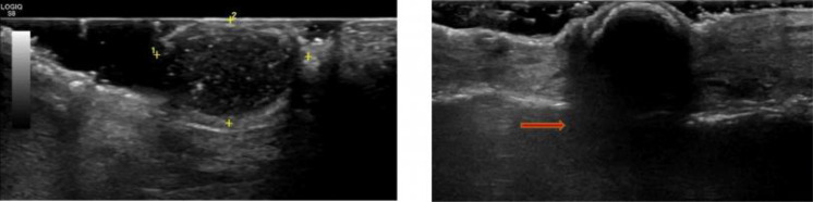
Background: Idiopathic scrotal calcinosis is a rare and benign disease of the scrotal skin that presents as solitary or multiple painless calcified nodules or papules in the absence of systemic disorders of calcium or phosphorus metabolism. Although some theories have been proposed as to the cause of this rare disease, the exact cause remains unknown. In a resource-poor medical setting like Nigeria, a confident diagnosis of this condition can be made with ultrasonography.

Objective: The objective of this report is to emphasize the role of ultrasound in the imaging diagnosis of idiopathic scrotal calcinosis.

Case presentation: This is a case report of a 38-year-old man who presented with recently discharging but longstanding multiple painless scrotal nodules of 22-years duration.

Conclusion: This case illustrates the prompt and accurate diagnosis of idiopathic scrotal calcinosis using an ultrasound, a readily available imaging modality in a low-resource setting.Although histology remains the gold-standard for diagnosing idiopathic scrotal calcinosis following surgical excision, this benign disorder has unique sonographic characteristics that could aid the radiologist in making a confident diagnosis.

Abstract Image

Abstract Image

Abstract Image

一名尼日利亚青壮年特发性阴囊钙化症的超声成像和病理特征及文献综述。
背景:特发性阴囊钙化症是一种罕见的阴囊皮肤良性疾病,表现为单发或多发无痛性钙化结节或丘疹,且无全身性钙或磷代谢紊乱。虽然人们对这种罕见疾病的病因提出了一些理论,但其确切病因仍然不明。在尼日利亚这样一个医疗资源匮乏的国家,可以通过超声波检查来确诊这种疾病:本报告旨在强调超声波在特发性阴囊钙化症影像学诊断中的作用:本病例报告了一名 38 岁男性的病例,该患者最近出现多发性无痛阴囊结节,但病程已长达 22 年:虽然组织学仍是手术切除后诊断特发性阴囊钙化症的黄金标准,但这种良性疾病具有独特的声像图特征,有助于放射科医生做出准确诊断。
本文章由计算机程序翻译,如有差异,请以英文原文为准。
求助全文
约1分钟内获得全文 求助全文
来源期刊
自引率
0.00%
发文量
0
×
引用
GB/T 7714-2015
复制
MLA
复制
APA
复制
导出至
BibTeX EndNote RefMan NoteFirst NoteExpress
×
提示
您的信息不完整,为了账户安全,请先补充。
现在去补充
×
提示
您因"违规操作"
具体请查看互助需知
我知道了
×
提示
确定
请完成安全验证×
copy
已复制链接
快去分享给好友吧!
我知道了
右上角分享
点击右上角分享
0
联系我们:info@booksci.cn Book学术提供免费学术资源搜索服务,方便国内外学者检索中英文文献。致力于提供最便捷和优质的服务体验。 Copyright © 2023 布克学术 All rights reserved.
京ICP备2023020795号-1
ghs 京公网安备 11010802042870号
Book学术文献互助
Book学术文献互助群
群 号:604180095
Book学术官方微信