Value of computed tomography pulmonary angiography measurements in predicting 30-day mortality among patients with acute pulmonary embolism.

Polish journal of radiology Pub Date : 2024-05-07 eCollection Date: 2024-01-01 DOI:10.5114/pjr/186184
Seray Akcalar Zorlu
{"title":"Value of computed tomography pulmonary angiography measurements in predicting 30-day mortality among patients with acute pulmonary embolism.","authors":"Seray Akcalar Zorlu","doi":"10.5114/pjr/186184","DOIUrl":null,"url":null,"abstract":"<p><strong>Purpose: </strong>Late diagnosis is associated with high mortality rates in acute pulmonary embolism (PE), so early diagnosis and risk assessment are crucial. We aim to evaluate computed tomography pulmonary angiography measurements to identify relationships with 30-day mortality in patients with pulmonary embolism. This study investigated the utility of computed tomography pulmonary angiography (CTPA) measures in determining 30-day PE-related mortality and identified various echocardiographic, demographic, and clinical variables that were independently associated with short-term mortality in patients with acute PE.</p><p><strong>Material and methods: </strong>This retrospective study examined data from July 2018 to April 2023. A total of 118 patients were included in the study. Clinical and demographic characteristics, laboratory findings, echocardiographic data, and CTPA images were retrieved from the electronic database and patient charts.</p><p><strong>Results: </strong>The rate of 30-day mortality was 14.41%. Deceased patients were significantly older than survivors (73.53 ± 14.17 vs. 60.23 ± 17.49 years; <i>p</i> = 0.004), but the sex distribution was similar. In multivariable logistic regression, having received radiotherapy for malignancy, high pulmonary artery obstruction index % (> 46.2), high left pulmonary artery diameter (> 23.9 mm), and high coronary artery calcification score (> 5.5) were independently associated with mortality.</p><p><strong>Conclusions: </strong>These results reveal specific parameters that can assist acute PE management by enabling the identification of critical events. Despite promising results in predicting short-term mortality in acute PE, further prospective cohort studies are needed to confirm the results of the present study.</p>","PeriodicalId":94174,"journal":{"name":"Polish journal of radiology","volume":"89 ","pages":"e225-e234"},"PeriodicalIF":0.0000,"publicationDate":"2024-05-07","publicationTypes":"Journal Article","fieldsOfStudy":null,"isOpenAccess":false,"openAccessPdf":"https://www.ncbi.nlm.nih.gov/pmc/articles/PMC11210380/pdf/","citationCount":"0","resultStr":null,"platform":"Semanticscholar","paperid":null,"PeriodicalName":"Polish journal of radiology","FirstCategoryId":"1085","ListUrlMain":"https://doi.org/10.5114/pjr/186184","RegionNum":0,"RegionCategory":null,"ArticlePicture":[],"TitleCN":null,"AbstractTextCN":null,"PMCID":null,"EPubDate":"2024/1/1 0:00:00","PubModel":"eCollection","JCR":"","JCRName":"","Score":null,"Total":0}
引用次数: 0

Abstract

Purpose: Late diagnosis is associated with high mortality rates in acute pulmonary embolism (PE), so early diagnosis and risk assessment are crucial. We aim to evaluate computed tomography pulmonary angiography measurements to identify relationships with 30-day mortality in patients with pulmonary embolism. This study investigated the utility of computed tomography pulmonary angiography (CTPA) measures in determining 30-day PE-related mortality and identified various echocardiographic, demographic, and clinical variables that were independently associated with short-term mortality in patients with acute PE.

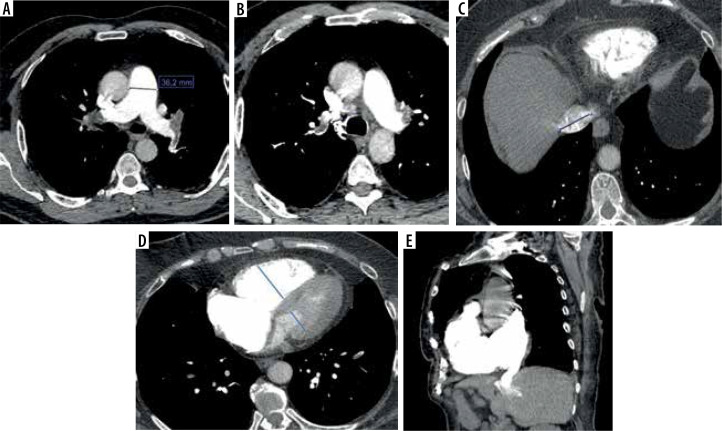
Material and methods: This retrospective study examined data from July 2018 to April 2023. A total of 118 patients were included in the study. Clinical and demographic characteristics, laboratory findings, echocardiographic data, and CTPA images were retrieved from the electronic database and patient charts.

Results: The rate of 30-day mortality was 14.41%. Deceased patients were significantly older than survivors (73.53 ± 14.17 vs. 60.23 ± 17.49 years; p = 0.004), but the sex distribution was similar. In multivariable logistic regression, having received radiotherapy for malignancy, high pulmonary artery obstruction index % (> 46.2), high left pulmonary artery diameter (> 23.9 mm), and high coronary artery calcification score (> 5.5) were independently associated with mortality.

Conclusions: These results reveal specific parameters that can assist acute PE management by enabling the identification of critical events. Despite promising results in predicting short-term mortality in acute PE, further prospective cohort studies are needed to confirm the results of the present study.

Abstract Image

Abstract Image

Abstract Image

计算机断层扫描肺血管造影测量结果在预测急性肺栓塞患者 30 天死亡率方面的价值。
目的:晚期诊断与急性肺栓塞(PE)的高死亡率有关,因此早期诊断和风险评估至关重要。我们旨在评估计算机断层扫描肺血管造影测量结果,以确定与肺栓塞患者 30 天死亡率的关系。本研究调查了计算机断层扫描肺血管造影(CTPA)测量在确定 30 天 PE 相关死亡率方面的实用性,并确定了与急性 PE 患者短期死亡率独立相关的各种超声心动图、人口统计学和临床变量:这项回顾性研究检查了2018年7月至2023年4月的数据。研究共纳入 118 名患者。从电子数据库和病历中检索了临床和人口统计学特征、实验室检查结果、超声心动图数据和 CTPA 图像:30天死亡率为14.41%。死亡患者的年龄明显高于存活者(73.53 ± 14.17 岁 vs. 60.23 ± 17.49 岁;P = 0.004),但性别分布相似。在多变量逻辑回归中,接受过恶性肿瘤放疗、肺动脉阻塞指数高(> 46.2)、左肺动脉直径高(> 23.9 毫米)和冠状动脉钙化评分高(> 5.5)与死亡率独立相关:这些结果揭示了通过识别危急事件来协助急性 PE 管理的特定参数。尽管预测急性 PE 短期死亡率的结果令人鼓舞,但仍需进一步开展前瞻性队列研究来证实本研究的结果。
本文章由计算机程序翻译,如有差异,请以英文原文为准。
求助全文
约1分钟内获得全文 求助全文
来源期刊
CiteScore
2.10
自引率
0.00%
发文量
0
×
引用
GB/T 7714-2015
复制
MLA
复制
APA
复制
导出至
BibTeX EndNote RefMan NoteFirst NoteExpress
×
提示
您的信息不完整,为了账户安全,请先补充。
现在去补充
×
提示
您因"违规操作"
具体请查看互助需知
我知道了
×
提示
确定
请完成安全验证×
copy
已复制链接
快去分享给好友吧!
我知道了
右上角分享
点击右上角分享
0
联系我们:info@booksci.cn Book学术提供免费学术资源搜索服务,方便国内外学者检索中英文文献。致力于提供最便捷和优质的服务体验。 Copyright © 2023 布克学术 All rights reserved.
京ICP备2023020795号-1
ghs 京公网安备 11010802042870号
Book学术文献互助
Book学术文献互助群
群 号:604180095
Book学术官方微信