Quantitative 3D-CT imaging of sarcopenia mitigation in the elderly: evidence from a case report.

IF 1.8 Q3 MEDICINE, RESEARCH & EXPERIMENTAL
Marco Quadrelli, Tommaso Baccaglini, Aldo Morra
{"title":"Quantitative 3D-CT imaging of sarcopenia mitigation in the elderly: evidence from a case report.","authors":"Marco Quadrelli, Tommaso Baccaglini, Aldo Morra","doi":"10.4081/ejtm.2024.12715","DOIUrl":null,"url":null,"abstract":"<p><p>This case study examines the effectiveness of using combined CT imaging and 3D imaging in monitoring the prevention of sarcopenia through continuous daily exercises in an elderly patient. Using a 256-slice CT scanner with dose reduction technology and advanced muscle segmentation with the open-source software DAFNE, we compared changes in muscle mass and density in a 70-year-old patient in 2014 and in 2023. The obtained images allowed the creation of detailed 3D models for a more accurate and intuitive assessment of the leg musculature. Despite aging, the results of the scans performed at the beginning and end of the study period did not show significant changes in the patient's musculature, suggesting that a persistent Full-Body in-Bed Gym protocol (\"Gym Bed\" exercise routine) can effectively contribute to maintaining muscle mass and density in the elderly. These preliminary results highlight the potential of advanced imaging techniques not only to diagnose but also to quantify the effectiveness of non-pharmacological interventions against sarcopenia.</p>","PeriodicalId":46459,"journal":{"name":"European Journal of Translational Myology","volume":" ","pages":""},"PeriodicalIF":1.8000,"publicationDate":"2024-06-28","publicationTypes":"Journal Article","fieldsOfStudy":null,"isOpenAccess":false,"openAccessPdf":"https://www.ncbi.nlm.nih.gov/pmc/articles/PMC11264214/pdf/","citationCount":"0","resultStr":null,"platform":"Semanticscholar","paperid":null,"PeriodicalName":"European Journal of Translational Myology","FirstCategoryId":"1085","ListUrlMain":"https://doi.org/10.4081/ejtm.2024.12715","RegionNum":0,"RegionCategory":null,"ArticlePicture":[],"TitleCN":null,"AbstractTextCN":null,"PMCID":null,"EPubDate":"","PubModel":"","JCR":"Q3","JCRName":"MEDICINE, RESEARCH & EXPERIMENTAL","Score":null,"Total":0}
引用次数: 0

Abstract

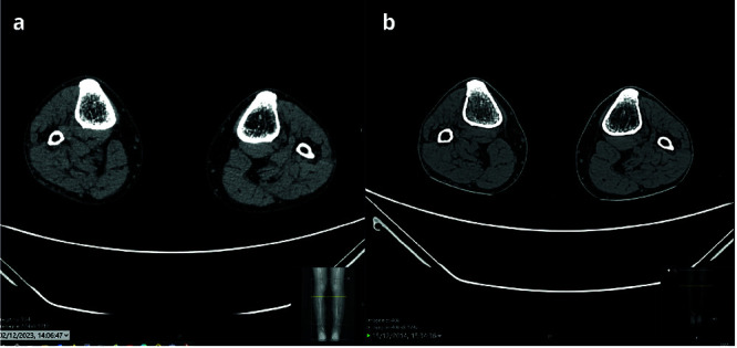
This case study examines the effectiveness of using combined CT imaging and 3D imaging in monitoring the prevention of sarcopenia through continuous daily exercises in an elderly patient. Using a 256-slice CT scanner with dose reduction technology and advanced muscle segmentation with the open-source software DAFNE, we compared changes in muscle mass and density in a 70-year-old patient in 2014 and in 2023. The obtained images allowed the creation of detailed 3D models for a more accurate and intuitive assessment of the leg musculature. Despite aging, the results of the scans performed at the beginning and end of the study period did not show significant changes in the patient's musculature, suggesting that a persistent Full-Body in-Bed Gym protocol ("Gym Bed" exercise routine) can effectively contribute to maintaining muscle mass and density in the elderly. These preliminary results highlight the potential of advanced imaging techniques not only to diagnose but also to quantify the effectiveness of non-pharmacological interventions against sarcopenia.

Abstract Image

Abstract Image

老年人肌肉疏松症缓解的三维 CT 定量成像:一份病例报告的证据。
本案例研究探讨了结合 CT 成像和 3D 成像监测老年患者通过日常持续锻炼预防肌肉疏松症的效果。我们使用了一台 256 片 CT 扫描仪,该扫描仪采用了剂量降低技术,并利用开源软件 DAFNE 进行了先进的肌肉分割,比较了一名 70 岁患者在 2014 年和 2023 年肌肉质量和密度的变化。获得的图像可以创建详细的三维模型,对腿部肌肉组织进行更准确、更直观的评估。尽管年龄有所增长,但在研究期开始和结束时进行的扫描结果显示,患者的肌肉组织并没有发生显著变化,这表明持续的全身床上健身方案("健身床 "锻炼程序)可有效保持老年人的肌肉质量和密度。这些初步结果凸显了先进成像技术的潜力,它不仅能诊断,还能量化非药物干预对肌肉疏松症的效果。
本文章由计算机程序翻译,如有差异,请以英文原文为准。
求助全文
约1分钟内获得全文 求助全文
来源期刊
European Journal of Translational Myology
European Journal of Translational Myology MEDICINE, RESEARCH & EXPERIMENTAL-
CiteScore
3.30
自引率
27.30%
发文量
74
审稿时长
10 weeks
×
引用
GB/T 7714-2015
复制
MLA
复制
APA
复制
导出至
BibTeX EndNote RefMan NoteFirst NoteExpress
×
提示
您的信息不完整,为了账户安全,请先补充。
现在去补充
×
提示
您因"违规操作"
具体请查看互助需知
我知道了
×
提示
确定
请完成安全验证×
copy
已复制链接
快去分享给好友吧!
我知道了
右上角分享
点击右上角分享
0
联系我们:info@booksci.cn Book学术提供免费学术资源搜索服务,方便国内外学者检索中英文文献。致力于提供最便捷和优质的服务体验。 Copyright © 2023 布克学术 All rights reserved.
京ICP备2023020795号-1
ghs 京公网安备 11010802042870号
Book学术文献互助
Book学术文献互助群
群 号:604180095
Book学术官方微信