Immunohistochemical detection of MnSOD in colon adenocarcinoma patients - clinical application.

IF 2.5 Q3 GASTROENTEROLOGY & HEPATOLOGY
Przegla̜d Gastroenterologiczny Pub Date : 2024-01-01 Epub Date: 2024-04-26 DOI:10.5114/pg.2024.139238
Jerzy Z Piecuch, Marek Kucharzewski, Grzegorz Wyrobiec, Marlena Brzozowa-Zasada
{"title":"Immunohistochemical detection of MnSOD in colon adenocarcinoma patients - clinical application.","authors":"Jerzy Z Piecuch, Marek Kucharzewski, Grzegorz Wyrobiec, Marlena Brzozowa-Zasada","doi":"10.5114/pg.2024.139238","DOIUrl":null,"url":null,"abstract":"<p><strong>Introduction: </strong>Colon adenocarcinoma (COAD) is one of the most frequently identified cancers of the digestive system. It is worth noting that the 5-year survival rates for patients diagnosed early are approximately 90%, whereas for patients with advanced diagnosis it is only 10%. It may indicate that metastasis is a critical cause of death for cancer patients.</p><p><strong>Aim: </strong>The current study investigated the immunohistochemical expression of MnSOD in individuals living in Poland, who were diagnosed as colon adenocarcinoma patients, to assess its prognostic significance by correlating its expression with the clinicopathological factors and overall survival (OS).</p><p><strong>Material and methods: </strong>Paraffin-embedded adenocarcinoma samples were assessed immunohistochemically for MnSOD protein. The relationship between MnSOD immunoexpression and clinicopathological factors including the 5-year overall survival (OS) were evaluated.</p><p><strong>Results: </strong>Immunohistochemical expression of MnSOD protein was detected in colon adenocarcinoma samples and non-pathological samples of colon tissues. As demonstrated, the level of the MnSOD immunohistochemical reactivity was not correlated with clinicopathological factors. A multivariate analysis demonstrated that the grade of tumour differentiation and MnSOD immunoexpression in healthy tissues were independent risk factors for worse survival of patients.</p><p><strong>Conclusions: </strong>The high level of MnSOD immunoexpression in cancerous tissue was not associated with malignancy-related clinicopathological factors and 5-year overall survival of patients.</p>","PeriodicalId":20719,"journal":{"name":"Przegla̜d Gastroenterologiczny","volume":"19 2","pages":"186-193"},"PeriodicalIF":2.5000,"publicationDate":"2024-01-01","publicationTypes":"Journal Article","fieldsOfStudy":null,"isOpenAccess":false,"openAccessPdf":"https://www.ncbi.nlm.nih.gov/pmc/articles/PMC11200068/pdf/","citationCount":"0","resultStr":null,"platform":"Semanticscholar","paperid":null,"PeriodicalName":"Przegla̜d Gastroenterologiczny","FirstCategoryId":"1085","ListUrlMain":"https://doi.org/10.5114/pg.2024.139238","RegionNum":0,"RegionCategory":null,"ArticlePicture":[],"TitleCN":null,"AbstractTextCN":null,"PMCID":null,"EPubDate":"2024/4/26 0:00:00","PubModel":"Epub","JCR":"Q3","JCRName":"GASTROENTEROLOGY & HEPATOLOGY","Score":null,"Total":0}
引用次数: 0

Abstract

Introduction: Colon adenocarcinoma (COAD) is one of the most frequently identified cancers of the digestive system. It is worth noting that the 5-year survival rates for patients diagnosed early are approximately 90%, whereas for patients with advanced diagnosis it is only 10%. It may indicate that metastasis is a critical cause of death for cancer patients.

Aim: The current study investigated the immunohistochemical expression of MnSOD in individuals living in Poland, who were diagnosed as colon adenocarcinoma patients, to assess its prognostic significance by correlating its expression with the clinicopathological factors and overall survival (OS).

Material and methods: Paraffin-embedded adenocarcinoma samples were assessed immunohistochemically for MnSOD protein. The relationship between MnSOD immunoexpression and clinicopathological factors including the 5-year overall survival (OS) were evaluated.

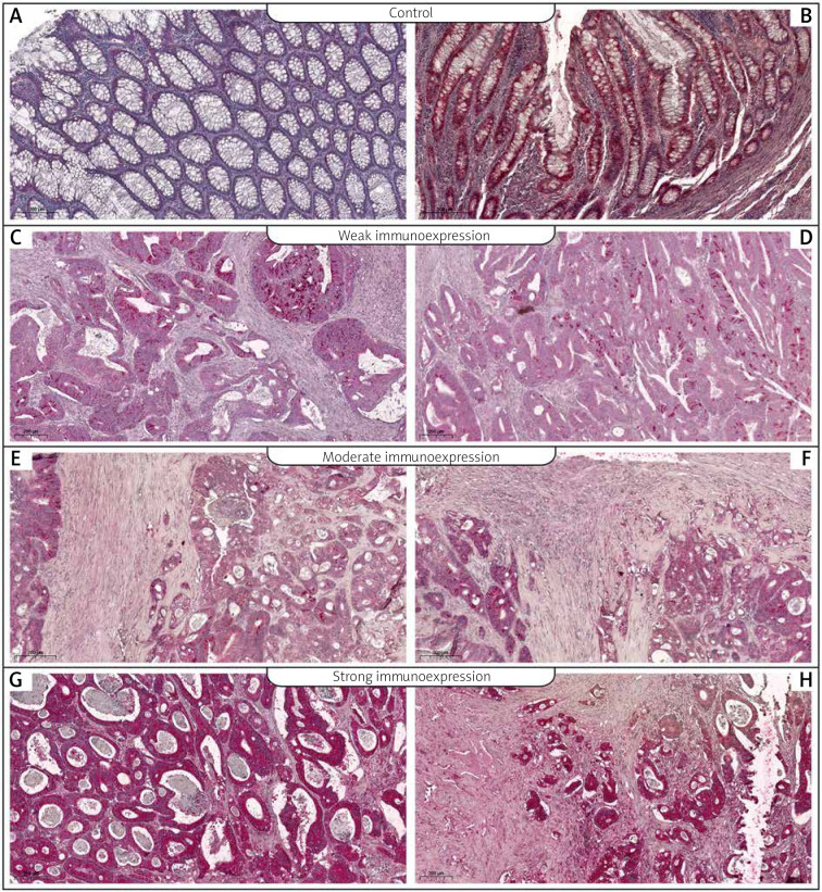
Results: Immunohistochemical expression of MnSOD protein was detected in colon adenocarcinoma samples and non-pathological samples of colon tissues. As demonstrated, the level of the MnSOD immunohistochemical reactivity was not correlated with clinicopathological factors. A multivariate analysis demonstrated that the grade of tumour differentiation and MnSOD immunoexpression in healthy tissues were independent risk factors for worse survival of patients.

Conclusions: The high level of MnSOD immunoexpression in cancerous tissue was not associated with malignancy-related clinicopathological factors and 5-year overall survival of patients.

Abstract Image

Abstract Image

Abstract Image

结肠腺癌患者 MnSOD 的免疫组化检测--临床应用。
简介结肠腺癌(COAD)是最常见的消化系统癌症之一。值得注意的是,早期诊断患者的 5 年生存率约为 90%,而晚期诊断患者的 5 年生存率仅为 10%。目的:本研究调查了波兰结肠腺癌患者 MnSOD 的免疫组化表达情况,通过将其表达与临床病理因素和总生存率(OS)相关联来评估其预后意义:对石蜡包埋的腺癌样本进行 MnSOD 蛋白免疫组化评估。评估了MnSOD免疫表达与临床病理因素(包括5年总生存率(OS))之间的关系:结果:结肠腺癌样本和非病理结肠组织样本中都检测到了 MnSOD 蛋白的免疫组化表达。结果表明,MnSOD 免疫组化反应水平与临床病理因素无关。多变量分析表明,肿瘤分化等级和健康组织中的 MnSOD 免疫表达是导致患者生存率降低的独立风险因素:结论:癌症组织中高水平的MnSOD免疫表达与恶性肿瘤相关的临床病理因素和患者的5年总生存率无关。
本文章由计算机程序翻译,如有差异,请以英文原文为准。
求助全文
约1分钟内获得全文 求助全文
来源期刊
Przegla̜d Gastroenterologiczny
Przegla̜d Gastroenterologiczny GASTROENTEROLOGY & HEPATOLOGY-
CiteScore
2.20
自引率
7.70%
发文量
50
审稿时长
6-12 weeks
期刊介绍: Gastroenterology Review is a journal published each 2 months, aimed at gastroenterologists and general practitioners. Published under the patronage of Consultant in Gastroenterology and Polish Pancreatic Club.
×
引用
GB/T 7714-2015
复制
MLA
复制
APA
复制
导出至
BibTeX EndNote RefMan NoteFirst NoteExpress
×
提示
您的信息不完整,为了账户安全,请先补充。
现在去补充
×
提示
您因"违规操作"
具体请查看互助需知
我知道了
×
提示
确定
请完成安全验证×
copy
已复制链接
快去分享给好友吧!
我知道了
右上角分享
点击右上角分享
0
联系我们:info@booksci.cn Book学术提供免费学术资源搜索服务,方便国内外学者检索中英文文献。致力于提供最便捷和优质的服务体验。 Copyright © 2023 布克学术 All rights reserved.
京ICP备2023020795号-1
ghs 京公网安备 11010802042870号
Book学术文献互助
Book学术文献互助群
群 号:604180095
Book学术官方微信