Extracellular vesicles in cattle infected with bovine leukaemia virus: isolation and molecular analysis.

IF 1.5 3区 农林科学 Q2 VETERINARY SCIENCES
Journal of Veterinary Research Pub Date : 2024-05-27 eCollection Date: 2024-06-01 DOI:10.2478/jvetres-2024-0031
Maria Szczotka, Magdalena Wasiak, Jacek Kuźmak
{"title":"Extracellular vesicles in cattle infected with bovine leukaemia virus: isolation and molecular analysis.","authors":"Maria Szczotka, Magdalena Wasiak, Jacek Kuźmak","doi":"10.2478/jvetres-2024-0031","DOIUrl":null,"url":null,"abstract":"<p><strong>Introduction: </strong>Exosomes are nanosized lipid bilayer membranous microvesicles, extracellularly released from a variety of mammalian cells. They mediate intercellular signalling by transporting several types of RNA, lipids and proteins and participate in the intercellular exchange of DNA, RNA, micro RNA, proteins and other components. These microvesicles are present in all body fluids in physiological and pathological conditions and reflect the state of the host organism. The aim of the study was the isolation and molecular determination of exosomes in blood and supernatant fluids of bovine dendritic cell cultures infected with bovine leukaemia virus (BLV).</p><p><strong>Material and methods: </strong>Exosomes were isolated by ultracentrifugation from the blood sera, plasma and supernatant of bovine BLV-infected and uninfected control dendritic cell cultures and their presence was confirmed with scanning electron and transmission electron microscopy. Western blot analysis of the structural BLV glycoprotein 51 (Env) and protein 24 (Gag) and of the tetraspanin exosomal markers CD9, CD63 and flotillin-1 was undertaken in BLV+ and control BLV- cattle.</p><p><strong>Results: </strong>In exosomes of leukaemic cattle both BLV proteins and exosomal markers were detected. In healthy control animals only exosomal markers were determined.</p><p><strong>Conclusion: </strong>Proteins of BLV were released with exosomes and could be transferred into recipient cells as an alternative propagation route not requiring virus infection.</p>","PeriodicalId":17617,"journal":{"name":"Journal of Veterinary Research","volume":"68 2","pages":"189-198"},"PeriodicalIF":1.5000,"publicationDate":"2024-05-27","publicationTypes":"Journal Article","fieldsOfStudy":null,"isOpenAccess":false,"openAccessPdf":"https://www.ncbi.nlm.nih.gov/pmc/articles/PMC11210360/pdf/","citationCount":"0","resultStr":null,"platform":"Semanticscholar","paperid":null,"PeriodicalName":"Journal of Veterinary Research","FirstCategoryId":"97","ListUrlMain":"https://doi.org/10.2478/jvetres-2024-0031","RegionNum":3,"RegionCategory":"农林科学","ArticlePicture":[],"TitleCN":null,"AbstractTextCN":null,"PMCID":null,"EPubDate":"2024/6/1 0:00:00","PubModel":"eCollection","JCR":"Q2","JCRName":"VETERINARY SCIENCES","Score":null,"Total":0}
引用次数: 0

Abstract

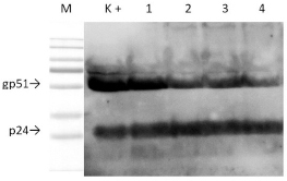
Introduction: Exosomes are nanosized lipid bilayer membranous microvesicles, extracellularly released from a variety of mammalian cells. They mediate intercellular signalling by transporting several types of RNA, lipids and proteins and participate in the intercellular exchange of DNA, RNA, micro RNA, proteins and other components. These microvesicles are present in all body fluids in physiological and pathological conditions and reflect the state of the host organism. The aim of the study was the isolation and molecular determination of exosomes in blood and supernatant fluids of bovine dendritic cell cultures infected with bovine leukaemia virus (BLV).

Material and methods: Exosomes were isolated by ultracentrifugation from the blood sera, plasma and supernatant of bovine BLV-infected and uninfected control dendritic cell cultures and their presence was confirmed with scanning electron and transmission electron microscopy. Western blot analysis of the structural BLV glycoprotein 51 (Env) and protein 24 (Gag) and of the tetraspanin exosomal markers CD9, CD63 and flotillin-1 was undertaken in BLV+ and control BLV- cattle.

Results: In exosomes of leukaemic cattle both BLV proteins and exosomal markers were detected. In healthy control animals only exosomal markers were determined.

Conclusion: Proteins of BLV were released with exosomes and could be transferred into recipient cells as an alternative propagation route not requiring virus infection.

Abstract Image

Abstract Image

Abstract Image

牛白血病病毒感染牛的细胞外囊泡:分离和分子分析。
简介外泌体是一种纳米级脂质双层膜微囊,从多种哺乳动物细胞中释放到细胞外。它们通过运输多种类型的 RNA、脂质和蛋白质来介导细胞间信号,并参与 DNA、RNA、微 RNA、蛋白质和其他成分的细胞间交换。这些微囊泡存在于生理和病理状态下的所有体液中,反映了宿主机体的状态。本研究的目的是对感染牛白血病病毒(BLV)的牛树突状细胞培养物的血液和上清液中的外泌体进行分离和分子测定:用超速离心法从感染了牛白血病病毒和未感染的对照树突状细胞培养物的血清、血浆和上清液中分离外泌体,并用扫描电子显微镜和透射电子显微镜确认其存在。对BLV+牛和BLV-对照组牛进行了BLV结构糖蛋白51(Env)和蛋白24(Gag)以及四泛蛋白外泌体标记物CD9、CD63和flotillin-1的Western印迹分析:结果:在白血病牛的外泌体中检测到 BLV 蛋白和外泌体标记物。结果:在白血病牛的外泌体中,既能检测到 BLV 蛋白质,也能检测到外泌体标记物:结论:白血病病毒的蛋白质随外泌体释放,可作为一种无需病毒感染的替代传播途径转移到受体细胞中。
本文章由计算机程序翻译,如有差异,请以英文原文为准。
求助全文
约1分钟内获得全文 求助全文
来源期刊
Journal of Veterinary Research
Journal of Veterinary Research Veterinary-General Veterinary
CiteScore
0.90
自引率
5.60%
发文量
58
审稿时长
18 weeks
期刊介绍: Journal of Veterinary Research (formerly Bulletin of the Veterinary Institute in Pulawy) is a quarterly that publishes original papers, review articles and short communications on bacteriology, virology, parasitology, immunology, molecular biology, pathology, toxicology, pharmacology, and biochemistry. The main emphasis is, however, on infectious diseases of animals, food safety and public health, and clinical sciences.
×
引用
GB/T 7714-2015
复制
MLA
复制
APA
复制
导出至
BibTeX EndNote RefMan NoteFirst NoteExpress
×
提示
您的信息不完整,为了账户安全,请先补充。
现在去补充
×
提示
您因"违规操作"
具体请查看互助需知
我知道了
×
提示
确定
请完成安全验证×
copy
已复制链接
快去分享给好友吧!
我知道了
右上角分享
点击右上角分享
0
联系我们:info@booksci.cn Book学术提供免费学术资源搜索服务,方便国内外学者检索中英文文献。致力于提供最便捷和优质的服务体验。 Copyright © 2023 布克学术 All rights reserved.
京ICP备2023020795号-1
ghs 京公网安备 11010802042870号
Book学术文献互助
Book学术文献互助群
群 号:604180095
Book学术官方微信