Treatment of a Neglected and Infected Knee Dislocation with a Traction Pin: A Case Report.

IF 1.8 Q3 ORTHOPEDICS
Alireza Askari, Mahmoud Jabalameli, Hassan Kassir
{"title":"Treatment of a Neglected and Infected Knee Dislocation with a Traction Pin: A Case Report.","authors":"Alireza Askari, Mahmoud Jabalameli, Hassan Kassir","doi":"10.22038/ABJS.2023.73455.3402","DOIUrl":null,"url":null,"abstract":"<p><p>Neglected knee dislocations are rare and challenging orthopedic injuries. We report using a traction pin to treat a neglected knee dislocation and a concurrent infection. Following the primary reduction with extensive soft-tissue release, a proximal tibial traction pin was used to obtain complete reduction via traction weight change.‎ No ligamentous repair was done for the patient. The patient's one-year follow-up showed an acceptable radiographic reduction supported by satisfactory clinical outcomes. In conclusion, the proximal tibial traction pin could be a good alternative for treating neglected knee dislocations. It makes future knee replacements more practical, a significant concern in such patients. Meanwhile, it is much more affordable than the other available techniques.</p>","PeriodicalId":46704,"journal":{"name":"Archives of Bone and Joint Surgery-ABJS","volume":"12 6","pages":"433-435"},"PeriodicalIF":1.8000,"publicationDate":"2024-01-01","publicationTypes":"Journal Article","fieldsOfStudy":null,"isOpenAccess":false,"openAccessPdf":"https://www.ncbi.nlm.nih.gov/pmc/articles/PMC11195034/pdf/","citationCount":"0","resultStr":null,"platform":"Semanticscholar","paperid":null,"PeriodicalName":"Archives of Bone and Joint Surgery-ABJS","FirstCategoryId":"1085","ListUrlMain":"https://doi.org/10.22038/ABJS.2023.73455.3402","RegionNum":0,"RegionCategory":null,"ArticlePicture":[],"TitleCN":null,"AbstractTextCN":null,"PMCID":null,"EPubDate":"","PubModel":"","JCR":"Q3","JCRName":"ORTHOPEDICS","Score":null,"Total":0}
引用次数: 0

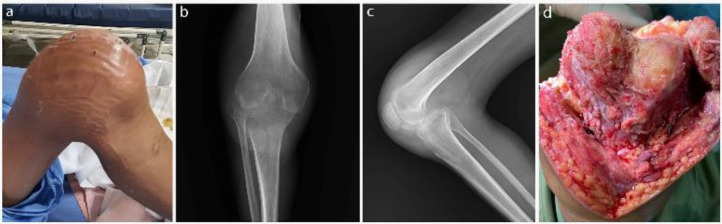
Abstract

Neglected knee dislocations are rare and challenging orthopedic injuries. We report using a traction pin to treat a neglected knee dislocation and a concurrent infection. Following the primary reduction with extensive soft-tissue release, a proximal tibial traction pin was used to obtain complete reduction via traction weight change.‎ No ligamentous repair was done for the patient. The patient's one-year follow-up showed an acceptable radiographic reduction supported by satisfactory clinical outcomes. In conclusion, the proximal tibial traction pin could be a good alternative for treating neglected knee dislocations. It makes future knee replacements more practical, a significant concern in such patients. Meanwhile, it is much more affordable than the other available techniques.

Abstract Image

Abstract Image

Abstract Image

用牵引针治疗被忽视和感染的膝关节脱位:病例报告。
被忽视的膝关节脱位是一种罕见且具有挑战性的骨科损伤。我们报告了使用牵引针治疗被忽视的膝关节脱位和并发感染的病例。在进行了广泛的软组织松解的初级复位后,使用了胫骨近端牵引针,通过牵引重量的变化实现了完全复位。 患者没有进行韧带修复。患者一年后的随访结果显示,其影像学缩小程度可以接受,临床效果也令人满意。总之,胫骨近端牵引针是治疗被忽视的膝关节脱位的一个很好的选择。它使未来的膝关节置换手术更加切实可行,而这正是这类患者所关心的重要问题。同时,与其他现有技术相比,它的价格更低廉。
本文章由计算机程序翻译,如有差异,请以英文原文为准。
求助全文
约1分钟内获得全文 求助全文
来源期刊
CiteScore
2.30
自引率
0.00%
发文量
128
期刊介绍: The Archives of Bone and Joint Surgery (ABJS) aims to encourage a better understanding of all aspects of Orthopedic Sciences. The journal accepts scientific papers including original research, review article, short communication, case report, and letter to the editor in all fields of bone, joint, musculoskeletal surgery and related researches. The Archives of Bone and Joint Surgery (ABJS) will publish papers in all aspects of today`s modern orthopedic sciences including: Arthroscopy, Arthroplasty, Sport Medicine, Reconstruction, Hand and Upper Extremity, Pediatric Orthopedics, Spine, Trauma, Foot and Ankle, Tumor, Joint Rheumatic Disease, Skeletal Imaging, Orthopedic Physical Therapy, Rehabilitation, Orthopedic Basic Sciences (Biomechanics, Biotechnology, Biomaterial..).
×
引用
GB/T 7714-2015
复制
MLA
复制
APA
复制
导出至
BibTeX EndNote RefMan NoteFirst NoteExpress
×
提示
您的信息不完整,为了账户安全,请先补充。
现在去补充
×
提示
您因"违规操作"
具体请查看互助需知
我知道了
×
提示
确定
请完成安全验证×
copy
已复制链接
快去分享给好友吧!
我知道了
右上角分享
点击右上角分享
0
联系我们:info@booksci.cn Book学术提供免费学术资源搜索服务,方便国内外学者检索中英文文献。致力于提供最便捷和优质的服务体验。 Copyright © 2023 布克学术 All rights reserved.
京ICP备2023020795号-1
ghs 京公网安备 11010802042870号
Book学术文献互助
Book学术文献互助群
群 号:604180095
Book学术官方微信