Silent Case of Pediatric Osteoarticular Tuberculosis: A Case Report and Review of the Literature.

IF 0.6 Q3 MEDICINE, GENERAL & INTERNAL
Clinical Medicine Insights. Case Reports Pub Date : 2024-06-22 eCollection Date: 2024-01-01 DOI:10.1177/11795476241263683
Mohammad Ali Alshrouf, Zuhdi O Elifranji, Sereen Halayqeh, Munther Al-Saber, Abdulrahman M Karam
{"title":"Silent Case of Pediatric Osteoarticular Tuberculosis: A Case Report and Review of the Literature.","authors":"Mohammad Ali Alshrouf, Zuhdi O Elifranji, Sereen Halayqeh, Munther Al-Saber, Abdulrahman M Karam","doi":"10.1177/11795476241263683","DOIUrl":null,"url":null,"abstract":"<p><strong>Introduction: </strong>Tuberculosis (TB) is one of the most prevalent infectious diseases globally, often presenting with nonspecific symptoms that can obscure diagnosis, especially when it manifests in uncommon sites such as osteoarticular tuberculosis (OA-TB).</p><p><strong>Case presentation: </strong>We report a rare case of a 9-year-old male diagnosed with right knee tuberculosis after enduring severe symptoms for several months. Despite multiple negative biopsies and aspirates during initial debridement surgeries, a biopsy taken 6 months later confirmed the presence of <i>Mycobacterium tuberculosis</i> (MTB). The patient was subsequently treated with debridement and anti-tubercular therapy.</p><p><strong>Conclusion: </strong>This case underscores the critical need to consider tuberculosis in patients presenting with chronic bone pain to avoid misdiagnosis, particularly in the developing world. The atypical presentation of osteoarticular tuberculosis in this young patient emphasizes the need for healthcare professionals to recognize subtle symptoms. Advanced imaging studies like MRI and microbiological evaluations, including site biopsies, are essential for accurate diagnosis. Increased awareness and collaborative research are crucial to improving the understanding and management of pediatric osteoarticular tuberculosis and extrapulmonary tuberculosis.</p>","PeriodicalId":10357,"journal":{"name":"Clinical Medicine Insights. Case Reports","volume":"17 ","pages":"11795476241263683"},"PeriodicalIF":0.6000,"publicationDate":"2024-06-22","publicationTypes":"Journal Article","fieldsOfStudy":null,"isOpenAccess":false,"openAccessPdf":"https://www.ncbi.nlm.nih.gov/pmc/articles/PMC11193920/pdf/","citationCount":"0","resultStr":null,"platform":"Semanticscholar","paperid":null,"PeriodicalName":"Clinical Medicine Insights. Case Reports","FirstCategoryId":"1085","ListUrlMain":"https://doi.org/10.1177/11795476241263683","RegionNum":0,"RegionCategory":null,"ArticlePicture":[],"TitleCN":null,"AbstractTextCN":null,"PMCID":null,"EPubDate":"2024/1/1 0:00:00","PubModel":"eCollection","JCR":"Q3","JCRName":"MEDICINE, GENERAL & INTERNAL","Score":null,"Total":0}
引用次数: 0

Abstract

Introduction: Tuberculosis (TB) is one of the most prevalent infectious diseases globally, often presenting with nonspecific symptoms that can obscure diagnosis, especially when it manifests in uncommon sites such as osteoarticular tuberculosis (OA-TB).

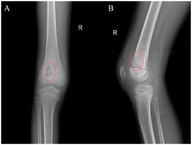
Case presentation: We report a rare case of a 9-year-old male diagnosed with right knee tuberculosis after enduring severe symptoms for several months. Despite multiple negative biopsies and aspirates during initial debridement surgeries, a biopsy taken 6 months later confirmed the presence of Mycobacterium tuberculosis (MTB). The patient was subsequently treated with debridement and anti-tubercular therapy.

Conclusion: This case underscores the critical need to consider tuberculosis in patients presenting with chronic bone pain to avoid misdiagnosis, particularly in the developing world. The atypical presentation of osteoarticular tuberculosis in this young patient emphasizes the need for healthcare professionals to recognize subtle symptoms. Advanced imaging studies like MRI and microbiological evaluations, including site biopsies, are essential for accurate diagnosis. Increased awareness and collaborative research are crucial to improving the understanding and management of pediatric osteoarticular tuberculosis and extrapulmonary tuberculosis.

Abstract Image

Abstract Image

Abstract Image

小儿骨关节结核沉默病例:病例报告与文献综述
导言:结核病(TB)是全球最流行的传染病之一,通常表现为非特异性症状,会使诊断变得模糊不清,尤其是当结核病表现在骨关节结核(OA-TB)等不常见的部位时:我们报告了一例罕见病例,患者为一名 9 岁男性,在持续数月出现严重症状后被诊断为右膝结核。尽管在最初的清创手术中多次活检和抽吸结果均为阴性,但 6 个月后的活检证实了结核分枝杆菌(MTB)的存在。患者随后接受了清创和抗结核治疗:本病例强调,对于出现慢性骨痛的患者,尤其是发展中国家的患者,亟需考虑结核病,以避免误诊。这名年轻患者骨关节结核的非典型表现强调了医护人员识别细微症状的必要性。核磁共振成像等先进的影像学检查和微生物学评估(包括部位活检)对于准确诊断至关重要。提高认识和合作研究对于提高对小儿骨关节结核和肺外结核的认识和管理至关重要。
本文章由计算机程序翻译,如有差异,请以英文原文为准。
求助全文
约1分钟内获得全文 求助全文
来源期刊
Clinical Medicine Insights. Case Reports
Clinical Medicine Insights. Case Reports MEDICINE, GENERAL & INTERNAL-
CiteScore
1.10
自引率
0.00%
发文量
57
审稿时长
8 weeks
×
引用
GB/T 7714-2015
复制
MLA
复制
APA
复制
导出至
BibTeX EndNote RefMan NoteFirst NoteExpress
×
提示
您的信息不完整,为了账户安全,请先补充。
现在去补充
×
提示
您因"违规操作"
具体请查看互助需知
我知道了
×
提示
确定
请完成安全验证×
copy
已复制链接
快去分享给好友吧!
我知道了
右上角分享
点击右上角分享
0
联系我们:info@booksci.cn Book学术提供免费学术资源搜索服务,方便国内外学者检索中英文文献。致力于提供最便捷和优质的服务体验。 Copyright © 2023 布克学术 All rights reserved.
京ICP备2023020795号-1
ghs 京公网安备 11010802042870号
Book学术文献互助
Book学术文献互助群
群 号:604180095
Book学术官方微信