Ethanolic extract of Gracilaria spp. Attenuates the inflammatory stage of oral mucosa wound healing: An in vivo study.

IF 1.4 Q3 Pharmacology, Toxicology and Pharmaceutics
Rachmi Fanani Hakim, Rinaldi Idroes, Olivia Avriyanti Hanafiah, Binawati Ginting, Fakhrurrazi Fakhrurrazi, Noviandi Indum Putra, Nur Balqis Maulidya
{"title":"Ethanolic extract of <i>Gracilaria</i> spp. Attenuates the inflammatory stage of oral mucosa wound healing: An <i>in vivo</i> study.","authors":"Rachmi Fanani Hakim, Rinaldi Idroes, Olivia Avriyanti Hanafiah, Binawati Ginting, Fakhrurrazi Fakhrurrazi, Noviandi Indum Putra, Nur Balqis Maulidya","doi":"10.4103/JAPTR.JAPTR_451_23","DOIUrl":null,"url":null,"abstract":"<p><p>Millions of bacteria present in the mouth cavity contribute to the challenging management of oral mucosa injury. On the other hand, <i>Gracilaria</i> spp. (red algae) is one of the widely cultivated algae that have a strong potential as a wound-healing agent for oral mucosa injury. This study aimed to investigate the wound-healing property of the red algae by observing its effect on polymorphonuclear (PMN), a neutrophil that is usually recruited during the initial wound healing. The extract was obtained through maceration and used as bioactive ingredient in gel preparation. <i>Rattus norvegicus</i> with incision wounds in the oral mucosa was used as the animal model. Our results revealed that rats treated with the red algae gel had significantly lower PMN on the injury site (<i>P</i> < 0.01) as observed on days 1, 3, and 5. Identification using gas chromatography-mass spectrometry showed that the extract was rich in hexadecenoic acid and glycerol. The brine shrimp lethality test suggested low cytotoxicity of this extract with LC<sub>50</sub> = 10694.93 mg/mL. In conclusion, the extract could be potentially used as bioactive ingredient in gel formulation for topical management of oral mucosa wounds. Further, research to confirm these findings is warranted.</p>","PeriodicalId":14877,"journal":{"name":"Journal of Advanced Pharmaceutical Technology & Research","volume":"15 2","pages":"81-85"},"PeriodicalIF":1.4000,"publicationDate":"2024-04-01","publicationTypes":"Journal Article","fieldsOfStudy":null,"isOpenAccess":false,"openAccessPdf":"https://www.ncbi.nlm.nih.gov/pmc/articles/PMC11186540/pdf/","citationCount":"0","resultStr":null,"platform":"Semanticscholar","paperid":null,"PeriodicalName":"Journal of Advanced Pharmaceutical Technology & Research","FirstCategoryId":"1085","ListUrlMain":"https://doi.org/10.4103/JAPTR.JAPTR_451_23","RegionNum":0,"RegionCategory":null,"ArticlePicture":[],"TitleCN":null,"AbstractTextCN":null,"PMCID":null,"EPubDate":"2024/5/6 0:00:00","PubModel":"Epub","JCR":"Q3","JCRName":"Pharmacology, Toxicology and Pharmaceutics","Score":null,"Total":0}
引用次数: 0

Abstract

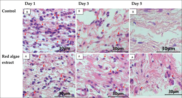
Millions of bacteria present in the mouth cavity contribute to the challenging management of oral mucosa injury. On the other hand, Gracilaria spp. (red algae) is one of the widely cultivated algae that have a strong potential as a wound-healing agent for oral mucosa injury. This study aimed to investigate the wound-healing property of the red algae by observing its effect on polymorphonuclear (PMN), a neutrophil that is usually recruited during the initial wound healing. The extract was obtained through maceration and used as bioactive ingredient in gel preparation. Rattus norvegicus with incision wounds in the oral mucosa was used as the animal model. Our results revealed that rats treated with the red algae gel had significantly lower PMN on the injury site (P < 0.01) as observed on days 1, 3, and 5. Identification using gas chromatography-mass spectrometry showed that the extract was rich in hexadecenoic acid and glycerol. The brine shrimp lethality test suggested low cytotoxicity of this extract with LC50 = 10694.93 mg/mL. In conclusion, the extract could be potentially used as bioactive ingredient in gel formulation for topical management of oral mucosa wounds. Further, research to confirm these findings is warranted.

Abstract Image

Abstract Image

减轻口腔黏膜伤口愈合的炎症阶段:一项体内研究
口腔中的细菌数以百万计,给口腔黏膜损伤的治疗带来了挑战。另一方面,红藻(Gracilaria spp.)是一种广泛栽培的藻类,具有作为口腔黏膜损伤伤口愈合剂的强大潜力。本研究旨在通过观察红藻对多形核(PMN)的影响来研究红藻的伤口愈合特性。红藻提取物通过浸泡获得,并用作凝胶制备的生物活性成分。以口腔粘膜有切口的大白鼠为动物模型。结果表明,经红藻凝胶处理的大鼠在第 1、3 和 5 天观察到,受伤部位的 PMN 明显降低(P < 0.01)。气相色谱-质谱鉴定显示,提取物富含十六烯酸和甘油。盐水虾致死试验表明,该提取物的细胞毒性较低,LC50 = 10694.93 mg/mL。总之,该提取物可作为生物活性成分用于凝胶配方,以局部治疗口腔黏膜伤口。有必要进一步开展研究来证实这些发现。
本文章由计算机程序翻译,如有差异,请以英文原文为准。
求助全文
约1分钟内获得全文 求助全文
来源期刊
CiteScore
2.00
自引率
7.10%
发文量
44
审稿时长
20 weeks
期刊介绍: Journal of Advanced Pharmaceutical Technology & Research (JAPTR) is an Official Publication of Society of Pharmaceutical Education & Research™. It is an international journal published Quarterly. Journal of Advanced Pharmaceutical Technology & Research (JAPTR) is available in online and print version. It is a peer reviewed journal aiming to communicate high quality original research work, reviews, short communications, case report, Ethics Forum, Education Forum and Letter to editor that contribute significantly to further the scientific knowledge related to the field of Pharmacy i.e. Pharmaceutics, Pharmacology, Pharmacognosy, Pharmaceutical Chemistry. Articles with timely interest and newer research concepts will be given more preference.
×
引用
GB/T 7714-2015
复制
MLA
复制
APA
复制
导出至
BibTeX EndNote RefMan NoteFirst NoteExpress
×
提示
您的信息不完整,为了账户安全,请先补充。
现在去补充
×
提示
您因"违规操作"
具体请查看互助需知
我知道了
×
提示
确定
请完成安全验证×
copy
已复制链接
快去分享给好友吧!
我知道了
右上角分享
点击右上角分享
0
联系我们:info@booksci.cn Book学术提供免费学术资源搜索服务,方便国内外学者检索中英文文献。致力于提供最便捷和优质的服务体验。 Copyright © 2023 布克学术 All rights reserved.
京ICP备2023020795号-1
ghs 京公网安备 11010802042870号
Book学术文献互助
Book学术文献互助群
群 号:604180095
Book学术官方微信