Obsessive-compulsive disorder after traumatic injury to the right frontal and left temporal lobes: A case report.

IF 0.9
PCN reports : psychiatry and clinical neurosciences Pub Date : 2024-06-14 eCollection Date: 2024-06-01 DOI:10.1002/pcn5.199
Daisuke Yoshioka, Takehiko Yamanashi, Teruaki Hayashi, Masaaki Iwata
{"title":"Obsessive-compulsive disorder after traumatic injury to the right frontal and left temporal lobes: A case report.","authors":"Daisuke Yoshioka, Takehiko Yamanashi, Teruaki Hayashi, Masaaki Iwata","doi":"10.1002/pcn5.199","DOIUrl":null,"url":null,"abstract":"<p><strong>Background: </strong>Obsessive-compulsive disorder (OCD) is a common neuropsychiatric disorder affecting many behaviors in daily life. Hyperactivity of the fronto-striato-thalamic circuit via the orbitofrontal cortex (OFC) is assumed to play a major role in the pathophysiology of OCD; however, its pathogenesis is not fully understood. Several reports have described the development of OCD after traumatic brain injury (TBI); however, the pathogenesis of post-TBI OCD remains unknown. Moreover, patients with TBI often have a variety of sequelae, including cognitive dysfunction and mood disorders, which make the diagnosis and treatment of OCD more complex.</p><p><strong>Case presentation: </strong>We report the case of a 17-year-old Japanese male who developed OCD after traffic trauma. The patient developed a fear of contamination and checking compulsion after injuring his right OFC and left temporal lobe when he ran into a running truck during a suicide attempt. We believe that the patient's fear of contamination can be diagnosed as true post-TBI OCD. However, his memory impairment was significant, and we considered his checking compulsion to be strongly influenced by cognitive dysfunction due to TBI. We attempted behavioral therapy for OCD; however, sufficient results were not achieved because of the interference from the sequelae of TBI.</p><p><strong>Conclusion: </strong>It is not rare for OCD symptoms to appear after TBI. Differentiating the OCD symptoms induced by brain injury or cognitive dysfunction associated with TBI is important to determine a treatment strategy.</p>","PeriodicalId":74405,"journal":{"name":"PCN reports : psychiatry and clinical neurosciences","volume":"3 2","pages":"e199"},"PeriodicalIF":0.9000,"publicationDate":"2024-06-14","publicationTypes":"Journal Article","fieldsOfStudy":null,"isOpenAccess":false,"openAccessPdf":"https://www.ncbi.nlm.nih.gov/pmc/articles/PMC11177174/pdf/","citationCount":"0","resultStr":null,"platform":"Semanticscholar","paperid":null,"PeriodicalName":"PCN reports : psychiatry and clinical neurosciences","FirstCategoryId":"1085","ListUrlMain":"https://doi.org/10.1002/pcn5.199","RegionNum":0,"RegionCategory":null,"ArticlePicture":[],"TitleCN":null,"AbstractTextCN":null,"PMCID":null,"EPubDate":"2024/6/1 0:00:00","PubModel":"eCollection","JCR":"","JCRName":"","Score":null,"Total":0}
引用次数: 0

Abstract

Background: Obsessive-compulsive disorder (OCD) is a common neuropsychiatric disorder affecting many behaviors in daily life. Hyperactivity of the fronto-striato-thalamic circuit via the orbitofrontal cortex (OFC) is assumed to play a major role in the pathophysiology of OCD; however, its pathogenesis is not fully understood. Several reports have described the development of OCD after traumatic brain injury (TBI); however, the pathogenesis of post-TBI OCD remains unknown. Moreover, patients with TBI often have a variety of sequelae, including cognitive dysfunction and mood disorders, which make the diagnosis and treatment of OCD more complex.

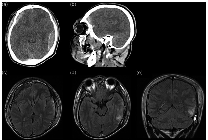
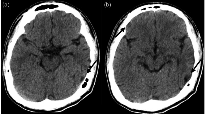
Case presentation: We report the case of a 17-year-old Japanese male who developed OCD after traffic trauma. The patient developed a fear of contamination and checking compulsion after injuring his right OFC and left temporal lobe when he ran into a running truck during a suicide attempt. We believe that the patient's fear of contamination can be diagnosed as true post-TBI OCD. However, his memory impairment was significant, and we considered his checking compulsion to be strongly influenced by cognitive dysfunction due to TBI. We attempted behavioral therapy for OCD; however, sufficient results were not achieved because of the interference from the sequelae of TBI.

Conclusion: It is not rare for OCD symptoms to appear after TBI. Differentiating the OCD symptoms induced by brain injury or cognitive dysfunction associated with TBI is important to determine a treatment strategy.

Abstract Image

Abstract Image

Abstract Image

右额叶和左颞叶外伤后的强迫症:病例报告。
背景介绍强迫症(OCD)是一种常见的神经精神障碍,影响日常生活中的许多行为。经由眶额皮层(OFC)的前三角-丘脑回路的过度活跃被认为在强迫症的病理生理学中起着重要作用;然而,其发病机制尚未完全明了。一些报告描述了创伤性脑损伤(TBI)后强迫症的发展情况;然而,创伤性脑损伤后强迫症的发病机制仍不清楚。此外,创伤性脑损伤患者往往伴有多种后遗症,包括认知功能障碍和情绪障碍,这使得强迫症的诊断和治疗更为复杂:我们报告了一例 17 岁日本男性交通创伤后患强迫症的病例。患者在一次自杀未遂的行动中撞上了一辆正在行驶的卡车,导致右侧大脑外叶和左侧颞叶受伤,之后便患上了污染恐惧和检查强迫症。我们认为,患者的污染恐惧可诊断为真正的创伤后强迫症。然而,他的记忆力明显受损,我们认为他的检查强迫症在很大程度上受到创伤后认知功能障碍的影响。我们尝试了强迫症行为疗法,但由于创伤后遗症的干扰,没有取得足够的效果:结论:创伤后出现强迫症症状并不罕见。结论:创伤后出现强迫症症状并不罕见,区分是脑损伤引起的强迫症症状还是创伤后遗症引起的认知功能障碍对于确定治疗策略非常重要。
本文章由计算机程序翻译,如有差异,请以英文原文为准。
求助全文
约1分钟内获得全文 求助全文
来源期刊
CiteScore
0.70
自引率
0.00%
发文量
0
×
引用
GB/T 7714-2015
复制
MLA
复制
APA
复制
导出至
BibTeX EndNote RefMan NoteFirst NoteExpress
×
提示
您的信息不完整,为了账户安全,请先补充。
现在去补充
×
提示
您因"违规操作"
具体请查看互助需知
我知道了
×
提示
确定
请完成安全验证×
copy
已复制链接
快去分享给好友吧!
我知道了
右上角分享
点击右上角分享
0
联系我们:info@booksci.cn Book学术提供免费学术资源搜索服务,方便国内外学者检索中英文文献。致力于提供最便捷和优质的服务体验。 Copyright © 2023 布克学术 All rights reserved.
京ICP备2023020795号-1
ghs 京公网安备 11010802042870号
Book学术文献互助
Book学术文献互助群
群 号:604180095
Book学术官方微信