Pigs lacking TMPRSS2 displayed fewer lung lesions and reduced inflammatory response when infected with influenza A virus.

IF 4.4 Q1 BIOTECHNOLOGY & APPLIED MICROBIOLOGY
Frontiers in genome editing Pub Date : 2024-05-31 eCollection Date: 2023-01-01 DOI:10.3389/fgeed.2023.1320180
Giovana Ciacci Zanella, Celeste A Snyder, Bailey L Arruda, Kristin Whitworth, Erin Green, Ravikanth Reddy Poonooru, Bhanu P Telugu, Amy L Baker
{"title":"Pigs lacking <i>TMPRSS2</i> displayed fewer lung lesions and reduced inflammatory response when infected with influenza A virus.","authors":"Giovana Ciacci Zanella, Celeste A Snyder, Bailey L Arruda, Kristin Whitworth, Erin Green, Ravikanth Reddy Poonooru, Bhanu P Telugu, Amy L Baker","doi":"10.3389/fgeed.2023.1320180","DOIUrl":null,"url":null,"abstract":"<p><p>Influenza A virus (IAV) infection is initiated by hemagglutinin (HA), a glycoprotein exposed on the virion's lipid envelope that undergoes cleavage by host cell proteases to ensure membrane fusion, entry into the host cells, and completion of the viral cycle. Transmembrane protease serine S1 member 2 (TMPRSS2) is a host transmembrane protease expressed throughout the porcine airway epithelium and is purported to play a major role in the HA cleavage process, thereby influencing viral pathogenicity and tissue tropism. Pigs are natural hosts of IAV and IAV disease causes substantial economic impact on the pork industry worldwide. Previous studies in mice demonstrated that knocking out expression of <i>TMPRSS2</i> gene was safe and inhibited the spread of IAV after experimental challenge. Therefore, we hypothesized that knockout of <i>TMPRSS2</i> will prevent IAV infectivity in the swine model. We investigated this hypothesis by comparing pathogenesis of an H1N1pdm09 virus challenge in wildtype (WT) control and in <i>TMPRSS2</i> knockout (<i>TMPRSS2</i> <sup>-/-</sup>) pigs. We demonstrated that <i>TMPRSS2</i> was expressed in the respiratory tract in WT pigs with and without IAV infection. No differences in nasal viral shedding and lung lavage viral titers were observed between WT and <i>TMPRSS2</i> <sup>-/-</sup> pigs. However, the <i>TMPRSS2</i> <sup>-/-</sup> pig group had significantly less lung lesions and significant reductions in antiviral and proinflammatory cytokines in the lung. The virus titer results in our direct challenge model contradict prior studies in the murine animal model, but the reduced lung lesions and cytokine profile suggest a possible role for TMPRSS2 in the proinflammatory antiviral response. Further research is warranted to investigate the role of TMPRSS2 in swine IAV infection and disease.</p>","PeriodicalId":73086,"journal":{"name":"Frontiers in genome editing","volume":"5 ","pages":"1320180"},"PeriodicalIF":4.4000,"publicationDate":"2024-05-31","publicationTypes":"Journal Article","fieldsOfStudy":null,"isOpenAccess":false,"openAccessPdf":"https://www.ncbi.nlm.nih.gov/pmc/articles/PMC11176495/pdf/","citationCount":"0","resultStr":null,"platform":"Semanticscholar","paperid":null,"PeriodicalName":"Frontiers in genome editing","FirstCategoryId":"1085","ListUrlMain":"https://doi.org/10.3389/fgeed.2023.1320180","RegionNum":0,"RegionCategory":null,"ArticlePicture":[],"TitleCN":null,"AbstractTextCN":null,"PMCID":null,"EPubDate":"2023/1/1 0:00:00","PubModel":"eCollection","JCR":"Q1","JCRName":"BIOTECHNOLOGY & APPLIED MICROBIOLOGY","Score":null,"Total":0}
引用次数: 0

Abstract

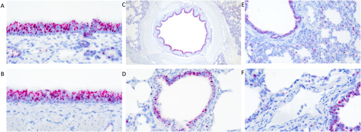
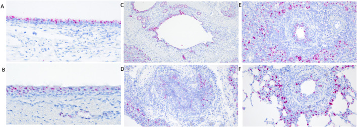
Influenza A virus (IAV) infection is initiated by hemagglutinin (HA), a glycoprotein exposed on the virion's lipid envelope that undergoes cleavage by host cell proteases to ensure membrane fusion, entry into the host cells, and completion of the viral cycle. Transmembrane protease serine S1 member 2 (TMPRSS2) is a host transmembrane protease expressed throughout the porcine airway epithelium and is purported to play a major role in the HA cleavage process, thereby influencing viral pathogenicity and tissue tropism. Pigs are natural hosts of IAV and IAV disease causes substantial economic impact on the pork industry worldwide. Previous studies in mice demonstrated that knocking out expression of TMPRSS2 gene was safe and inhibited the spread of IAV after experimental challenge. Therefore, we hypothesized that knockout of TMPRSS2 will prevent IAV infectivity in the swine model. We investigated this hypothesis by comparing pathogenesis of an H1N1pdm09 virus challenge in wildtype (WT) control and in TMPRSS2 knockout (TMPRSS2 -/-) pigs. We demonstrated that TMPRSS2 was expressed in the respiratory tract in WT pigs with and without IAV infection. No differences in nasal viral shedding and lung lavage viral titers were observed between WT and TMPRSS2 -/- pigs. However, the TMPRSS2 -/- pig group had significantly less lung lesions and significant reductions in antiviral and proinflammatory cytokines in the lung. The virus titer results in our direct challenge model contradict prior studies in the murine animal model, but the reduced lung lesions and cytokine profile suggest a possible role for TMPRSS2 in the proinflammatory antiviral response. Further research is warranted to investigate the role of TMPRSS2 in swine IAV infection and disease.

Abstract Image

Abstract Image

Abstract Image

缺乏 TMPRSS2 的猪在感染甲型流感病毒后,肺部病变较少,炎症反应也有所减轻。
甲型流感病毒(IAV)由血凝素(HA)引发感染,血凝素是暴露在病毒脂质包膜上的一种糖蛋白,会被宿主细胞蛋白酶裂解,以确保膜融合、进入宿主细胞并完成病毒循环。跨膜丝氨酸蛋白酶 S1 成员 2(TMPRSS2)是一种表达于猪呼吸道上皮细胞的宿主跨膜蛋白酶,据称在 HA 的裂解过程中发挥着重要作用,从而影响病毒的致病性和组织滋养性。猪是 IAV 的天然宿主,IAV 疾病对全球猪肉业造成了巨大的经济影响。之前在小鼠身上进行的研究表明,敲除 TMPRSS2 基因的表达是安全的,并且能抑制 IAV 在实验挑战后的传播。因此,我们假设敲除 TMPRSS2 基因可以防止 IAV 在猪模型中的感染。我们通过比较野生型(WT)对照猪和 TMPRSS2 基因敲除猪(TMPRSS2 -/-)在 H1N1pdm09 病毒挑战下的发病机理来研究这一假设。我们证实,在感染和未感染 IAV 的 WT 猪的呼吸道中均表达了 TMPRSS2。在 WT 猪和 TMPRSS2 -/- 猪之间没有观察到鼻腔病毒脱落和肺灌洗病毒滴度的差异。但是,TMPRSS2 -/-猪组的肺部病变明显较少,肺部抗病毒和促炎细胞因子显著减少。我们的直接挑战模型中的病毒滴度结果与之前在小鼠动物模型中的研究结果相矛盾,但肺部病变和细胞因子谱的减少表明 TMPRSS2 可能在促炎抗病毒反应中发挥作用。我们需要进一步研究 TMPRSS2 在猪 IAV 感染和疾病中的作用。
本文章由计算机程序翻译,如有差异,请以英文原文为准。
求助全文
约1分钟内获得全文 求助全文
来源期刊
CiteScore
7.00
自引率
0.00%
发文量
0
审稿时长
13 weeks
×
引用
GB/T 7714-2015
复制
MLA
复制
APA
复制
导出至
BibTeX EndNote RefMan NoteFirst NoteExpress
×
提示
您的信息不完整,为了账户安全,请先补充。
现在去补充
×
提示
您因"违规操作"
具体请查看互助需知
我知道了
×
提示
确定
请完成安全验证×
copy
已复制链接
快去分享给好友吧!
我知道了
右上角分享
点击右上角分享
0
联系我们:info@booksci.cn Book学术提供免费学术资源搜索服务,方便国内外学者检索中英文文献。致力于提供最便捷和优质的服务体验。 Copyright © 2023 布克学术 All rights reserved.
京ICP备2023020795号-1
ghs 京公网安备 11010802042870号
Book学术文献互助
Book学术文献互助群
群 号:604180095
Book学术官方微信