Bladder Cancer Invading the Prostate and Penis and Multiple Bone Metastases Showing Significant Improvement after a Short-Term Pembrolizumab Therapy following Radiation and Gemcitabine and Cisplatin Therapy Leading to a Pathologically Complete Remission.

Case Reports in Urology Pub Date : 2024-05-27 eCollection Date: 2024-01-01 DOI:10.1155/2024/7525757
Kyohei Ishida, Akira Ogose, Gen Kawaguchi, Go Hasegawa, Yohei Ikeda, Noboru Hara, Tsutomu Nishiyama
{"title":"Bladder Cancer Invading the Prostate and Penis and Multiple Bone Metastases Showing Significant Improvement after a Short-Term Pembrolizumab Therapy following Radiation and Gemcitabine and Cisplatin Therapy Leading to a Pathologically Complete Remission.","authors":"Kyohei Ishida, Akira Ogose, Gen Kawaguchi, Go Hasegawa, Yohei Ikeda, Noboru Hara, Tsutomu Nishiyama","doi":"10.1155/2024/7525757","DOIUrl":null,"url":null,"abstract":"<p><p>A 65-year-old man was diagnosed with bladder cancer invading the prostate and penis and multiple bone metastases. He underwent palliative radiation (30 Gy/10 fr) through vertebral bones (Th3 and Th12-L5) and pelvic bones for pain control. The patient received pembrolizumab therapy after three courses of gemcitabine and cisplatin therapy. CT four weeks after starting pembrolizumab therapy showed that both the primary and metastatic lesions had notably reduced in size, and no new lesion was detected. He subsequently fell, resulting in a femoral neck pathological fracture, and underwent hemiarthroplasty. Pathological examination of the pathological fracture site revealed no residual tumor tissue.</p>","PeriodicalId":30323,"journal":{"name":"Case Reports in Urology","volume":"2024 ","pages":"7525757"},"PeriodicalIF":0.0000,"publicationDate":"2024-05-27","publicationTypes":"Journal Article","fieldsOfStudy":null,"isOpenAccess":false,"openAccessPdf":"https://www.ncbi.nlm.nih.gov/pmc/articles/PMC11178393/pdf/","citationCount":"0","resultStr":null,"platform":"Semanticscholar","paperid":null,"PeriodicalName":"Case Reports in Urology","FirstCategoryId":"1085","ListUrlMain":"https://doi.org/10.1155/2024/7525757","RegionNum":0,"RegionCategory":null,"ArticlePicture":[],"TitleCN":null,"AbstractTextCN":null,"PMCID":null,"EPubDate":"2024/1/1 0:00:00","PubModel":"eCollection","JCR":"","JCRName":"","Score":null,"Total":0}
引用次数: 0

Abstract

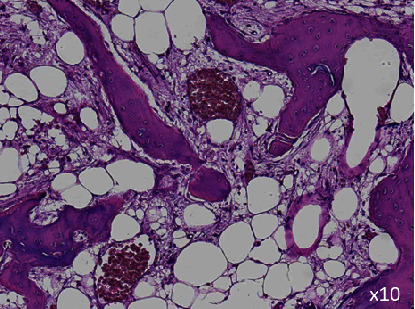
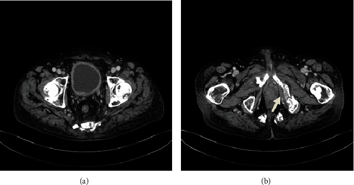
A 65-year-old man was diagnosed with bladder cancer invading the prostate and penis and multiple bone metastases. He underwent palliative radiation (30 Gy/10 fr) through vertebral bones (Th3 and Th12-L5) and pelvic bones for pain control. The patient received pembrolizumab therapy after three courses of gemcitabine and cisplatin therapy. CT four weeks after starting pembrolizumab therapy showed that both the primary and metastatic lesions had notably reduced in size, and no new lesion was detected. He subsequently fell, resulting in a femoral neck pathological fracture, and underwent hemiarthroplasty. Pathological examination of the pathological fracture site revealed no residual tumor tissue.

Abstract Image

Abstract Image

Abstract Image

侵犯前列腺和阴茎的膀胱癌及多发性骨转移瘤在接受放疗、吉西他滨和顺铂治疗后,经过短期 Pembrolizumab 治疗后病情明显好转,最终实现病理完全缓解。
一名 65 岁的男性被诊断出患有侵犯前列腺和阴茎的膀胱癌,并有多处骨转移。为了控制疼痛,他接受了通过椎骨(Th3 和 Th12-L5)和盆骨的姑息性放射治疗(30 Gy/10 fr)。在接受三个疗程的吉西他滨和顺铂治疗后,患者接受了pembrolizumab治疗。开始接受 pembrolizumab 治疗四周后,CT 显示原发病灶和转移病灶均明显缩小,且未发现新的病灶。随后,他不慎摔倒,导致股骨颈病理性骨折,并接受了半关节成形术。病理骨折部位的病理检查显示没有残留肿瘤组织。
本文章由计算机程序翻译,如有差异,请以英文原文为准。
求助全文
约1分钟内获得全文 求助全文
来源期刊
自引率
0.00%
发文量
28
审稿时长
13 weeks
×
引用
GB/T 7714-2015
复制
MLA
复制
APA
复制
导出至
BibTeX EndNote RefMan NoteFirst NoteExpress
×
提示
您的信息不完整,为了账户安全,请先补充。
现在去补充
×
提示
您因"违规操作"
具体请查看互助需知
我知道了
×
提示
确定
请完成安全验证×
copy
已复制链接
快去分享给好友吧!
我知道了
右上角分享
点击右上角分享
0
联系我们:info@booksci.cn Book学术提供免费学术资源搜索服务,方便国内外学者检索中英文文献。致力于提供最便捷和优质的服务体验。 Copyright © 2023 布克学术 All rights reserved.
京ICP备2023020795号-1
ghs 京公网安备 11010802042870号
Book学术文献互助
Book学术文献互助群
群 号:604180095
Book学术官方微信