A Case of Superficial Kaposiform Hemangioendothelioma Treated with Oral Propranolol Combined with Topical Sirolimus.

IF 2.8 Q2 PERIPHERAL VASCULAR DISEASE
Vascular Health and Risk Management Pub Date : 2024-06-12 eCollection Date: 2024-01-01 DOI:10.2147/VHRM.S461505
Nan Dang, Yunqing Ren
{"title":"A Case of Superficial Kaposiform Hemangioendothelioma Treated with Oral Propranolol Combined with Topical Sirolimus.","authors":"Nan Dang, Yunqing Ren","doi":"10.2147/VHRM.S461505","DOIUrl":null,"url":null,"abstract":"<p><p>Kaposiform hemangioendothelioma(KHE) without Kasabach-Merritt phenomenon is a rare tumor primarily observed in pediatric patients; however, its documentation in the literature remains limited. We reported about a 1-year-old boy diagnosed with superficial KHE who received oral propranolol in combination with topical sirolimus and reviewed relevant reports and treatment of superficial KHE.</p>","PeriodicalId":23597,"journal":{"name":"Vascular Health and Risk Management","volume":"20 ","pages":"251-254"},"PeriodicalIF":2.8000,"publicationDate":"2024-06-12","publicationTypes":"Journal Article","fieldsOfStudy":null,"isOpenAccess":false,"openAccessPdf":"https://www.ncbi.nlm.nih.gov/pmc/articles/PMC11180431/pdf/","citationCount":"0","resultStr":null,"platform":"Semanticscholar","paperid":null,"PeriodicalName":"Vascular Health and Risk Management","FirstCategoryId":"1085","ListUrlMain":"https://doi.org/10.2147/VHRM.S461505","RegionNum":0,"RegionCategory":null,"ArticlePicture":[],"TitleCN":null,"AbstractTextCN":null,"PMCID":null,"EPubDate":"2024/1/1 0:00:00","PubModel":"eCollection","JCR":"Q2","JCRName":"PERIPHERAL VASCULAR DISEASE","Score":null,"Total":0}
引用次数: 0

Abstract

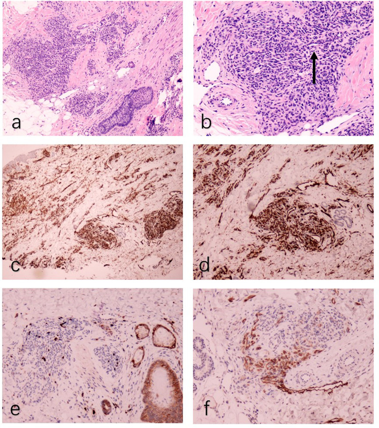
Kaposiform hemangioendothelioma(KHE) without Kasabach-Merritt phenomenon is a rare tumor primarily observed in pediatric patients; however, its documentation in the literature remains limited. We reported about a 1-year-old boy diagnosed with superficial KHE who received oral propranolol in combination with topical sirolimus and reviewed relevant reports and treatment of superficial KHE.

Abstract Image

Abstract Image

Abstract Image

口服普萘洛尔联合外用西罗莫司治疗浅表卡波状血管内皮瘤一例。
不伴有卡萨巴赫-梅里特现象的鳞状血管内皮瘤(KHE)是一种罕见的肿瘤,主要见于儿童患者;然而,文献中对该肿瘤的记载仍然有限。我们报道了一名被诊断为浅表 KHE 的 1 岁男孩,他接受了口服普萘洛尔联合外用西罗莫司治疗,并回顾了浅表 KHE 的相关报道和治疗方法。
本文章由计算机程序翻译,如有差异,请以英文原文为准。
求助全文
约1分钟内获得全文 求助全文
来源期刊
Vascular Health and Risk Management
Vascular Health and Risk Management PERIPHERAL VASCULAR DISEASE-
CiteScore
4.20
自引率
3.40%
发文量
109
审稿时长
16 weeks
期刊介绍: An international, peer-reviewed journal of therapeutics and risk management, focusing on concise rapid reporting of clinical studies on the processes involved in the maintenance of vascular health; the monitoring, prevention, and treatment of vascular disease and its sequelae; and the involvement of metabolic disorders, particularly diabetes. In addition, the journal will also seek to define drug usage in terms of ultimate uptake and acceptance by the patient and healthcare professional.
×
引用
GB/T 7714-2015
复制
MLA
复制
APA
复制
导出至
BibTeX EndNote RefMan NoteFirst NoteExpress
×
提示
您的信息不完整,为了账户安全,请先补充。
现在去补充
×
提示
您因"违规操作"
具体请查看互助需知
我知道了
×
提示
确定
请完成安全验证×
copy
已复制链接
快去分享给好友吧!
我知道了
右上角分享
点击右上角分享
0
联系我们:info@booksci.cn Book学术提供免费学术资源搜索服务,方便国内外学者检索中英文文献。致力于提供最便捷和优质的服务体验。 Copyright © 2023 布克学术 All rights reserved.
京ICP备2023020795号-1
ghs 京公网安备 11010802042870号
Book学术文献互助
Book学术文献互助群
群 号:604180095
Book学术官方微信