Uncommon Presentation of a Perforated Appendicitis Leading to Duodenal Fistula: Case Report and Literature Review.

IF 0.5 Q4 SURGERY
Case Reports in Surgery Pub Date : 2024-05-29 eCollection Date: 2024-01-01 DOI:10.1155/2024/8269752
Jad El Bitar, Hani Maalouf, Souad Ghattas, Ribal Aby Hadeer, Ahmad Younes, Hind Rahban, Ziad El Rassi
{"title":"Uncommon Presentation of a Perforated Appendicitis Leading to Duodenal Fistula: Case Report and Literature Review.","authors":"Jad El Bitar, Hani Maalouf, Souad Ghattas, Ribal Aby Hadeer, Ahmad Younes, Hind Rahban, Ziad El Rassi","doi":"10.1155/2024/8269752","DOIUrl":null,"url":null,"abstract":"<p><p>Multiple types of fistulas associated with the appendix have been reported; however, duodenal fistula resulting from perforated acute appendicitis has only been documented in one previous case. In this report, we present the case of an 18-year-old male patient who was diagnosed to have a complicated appendicitis in its normal position with abscess formation. He was started on IV antibiotics and underwent a CT-guided drainage of the abscess with drain placement. Two days later due to biliary output from the drain, CT fistulography and diagnostic laparoscopy were performed that revealed the presence of a duodenal fistula. The potential for duodenal fistula formation in patients with complicated appendicitis must always be taken into consideration. Consequently, it is crucial to establish an appropriate management plan aimed at preventing additional serious complications arising from duodenal perforation.</p>","PeriodicalId":9600,"journal":{"name":"Case Reports in Surgery","volume":"2024 ","pages":"8269752"},"PeriodicalIF":0.5000,"publicationDate":"2024-05-29","publicationTypes":"Journal Article","fieldsOfStudy":null,"isOpenAccess":false,"openAccessPdf":"https://www.ncbi.nlm.nih.gov/pmc/articles/PMC11178424/pdf/","citationCount":"0","resultStr":null,"platform":"Semanticscholar","paperid":null,"PeriodicalName":"Case Reports in Surgery","FirstCategoryId":"1085","ListUrlMain":"https://doi.org/10.1155/2024/8269752","RegionNum":0,"RegionCategory":null,"ArticlePicture":[],"TitleCN":null,"AbstractTextCN":null,"PMCID":null,"EPubDate":"2024/1/1 0:00:00","PubModel":"eCollection","JCR":"Q4","JCRName":"SURGERY","Score":null,"Total":0}
引用次数: 0

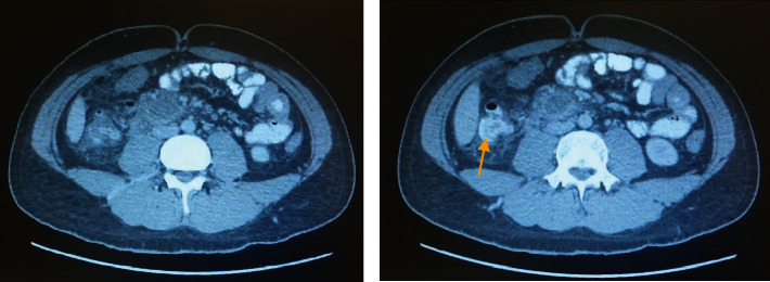
Abstract

Multiple types of fistulas associated with the appendix have been reported; however, duodenal fistula resulting from perforated acute appendicitis has only been documented in one previous case. In this report, we present the case of an 18-year-old male patient who was diagnosed to have a complicated appendicitis in its normal position with abscess formation. He was started on IV antibiotics and underwent a CT-guided drainage of the abscess with drain placement. Two days later due to biliary output from the drain, CT fistulography and diagnostic laparoscopy were performed that revealed the presence of a duodenal fistula. The potential for duodenal fistula formation in patients with complicated appendicitis must always be taken into consideration. Consequently, it is crucial to establish an appropriate management plan aimed at preventing additional serious complications arising from duodenal perforation.

Abstract Image

Abstract Image

穿孔性阑尾炎导致十二指肠瘘的罕见表现:病例报告和文献综述。
与阑尾相关的瘘管有多种类型,但因急性阑尾炎穿孔而导致十二指肠瘘的病例仅有一例。在本报告中,我们介绍了一名 18 岁男性患者的病例,他被诊断为复杂性阑尾炎,阑尾位置正常,并有脓肿形成。他开始静脉注射抗生素,并在 CT 引导下进行了脓肿引流术,同时放置了引流管。两天后,由于引流管排出胆汁,医生为他进行了CT瘘管造影和诊断性腹腔镜检查,结果显示存在十二指肠瘘。必须始终考虑到复杂性阑尾炎患者十二指肠瘘形成的可能性。因此,制定适当的管理计划以防止十二指肠穿孔引起其他严重并发症至关重要。
本文章由计算机程序翻译,如有差异,请以英文原文为准。
求助全文
约1分钟内获得全文 求助全文
来源期刊
自引率
0.00%
发文量
60
审稿时长
13 weeks
×
引用
GB/T 7714-2015
复制
MLA
复制
APA
复制
导出至
BibTeX EndNote RefMan NoteFirst NoteExpress
×
提示
您的信息不完整,为了账户安全,请先补充。
现在去补充
×
提示
您因"违规操作"
具体请查看互助需知
我知道了
×
提示
确定
请完成安全验证×
copy
已复制链接
快去分享给好友吧!
我知道了
右上角分享
点击右上角分享
0
联系我们:info@booksci.cn Book学术提供免费学术资源搜索服务,方便国内外学者检索中英文文献。致力于提供最便捷和优质的服务体验。 Copyright © 2023 布克学术 All rights reserved.
京ICP备2023020795号-1
ghs 京公网安备 11010802042870号
Book学术文献互助
Book学术文献互助群
群 号:604180095
Book学术官方微信