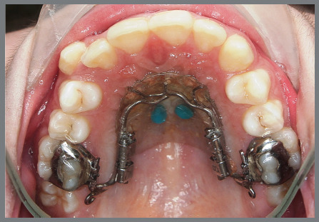
The efficiency of a customized distalizer with Variety SP® screws anchored on palatal miniscrews for upper molar distalization.

Q2 Medicine
Dental Press Journal of Orthodontics Pub Date : 2024-06-10 eCollection Date: 2024-01-01 DOI:10.1590/2177-6709.29.2.e2423253.oar
Davit Poghosyan, Davit Grigoryan, Diana Ter-Poghosyan, Gokulraj Gunaveerasekaran, Swasa Dara, Hrant Ter-Poghosyan
{"title":"The efficiency of a customized distalizer with Variety SP® screws anchored on palatal miniscrews for upper molar distalization.","authors":"Davit Poghosyan, Davit Grigoryan, Diana Ter-Poghosyan, Gokulraj Gunaveerasekaran, Swasa Dara, Hrant Ter-Poghosyan","doi":"10.1590/2177-6709.29.2.e2423253.oar","DOIUrl":null,"url":null,"abstract":"<p><strong>Objective: </strong>To assess the effectiveness of a customized distalizer with Variety SP® screws anchored on palatal miniscrews for upper molar distalization.</p><p><strong>Methods: </strong>Seventeen patients aged between 12.5 and 24 years underwent distalization with a customized distalizer. Lateral cephalogram and cast analysis were performed before and after distalization. Linear and angular parameters of the upper first molar, first premolar, and central incisor were assessed.</p><p><strong>Results: </strong>Distalization with the force passing near the center of resistance (CRes) of the upper first molars resulted in distal movement, with minimal distal tipping (2.8 ± 0.45°, p< 0.05). However, distalization passing occlusal to the CRes led to greater distal tipping (13.6 ± 1.63°, p< 0.05). Statistically significant spontaneous distal tipping and distal movement of the upper first premolars occurred, with a mean of 6.2 ± 1.24° (p< 0.05) and 0.68 ± 0.34 mm (p< 0.05), respectively. The positional change of the upper central incisors presented a mean of -0.23 ± 0.1 mm (p> 0.05) and 2.65 ± 1.1° (p< 0.05). Upper first molar intrusion was statistically significant, with a mean of 0.88 ± 0.2 mm (p< 0.05). Upper right and left first molars rotation towards palatal midline presented mean of 4.1 ± 0.19° (p< 0.05) and 3.4  ± 0.1° (p< 0.05), respectively. Additionally, the distance between upper right and left first molars increased significantly, with a mean of 2.54 ± 0.01 mm (p< 0.05).</p><p><strong>Conclusion: </strong>The study successfully demonstrated the efficiency of molar distalization without anchorage loss using a customized distalizer anchored on palatal miniscrews.</p>","PeriodicalId":38720,"journal":{"name":"Dental Press Journal of Orthodontics","volume":"29 2","pages":"e2423253"},"PeriodicalIF":0.0000,"publicationDate":"2024-06-10","publicationTypes":"Journal Article","fieldsOfStudy":null,"isOpenAccess":false,"openAccessPdf":"https://www.ncbi.nlm.nih.gov/pmc/articles/PMC11163959/pdf/","citationCount":"0","resultStr":null,"platform":"Semanticscholar","paperid":null,"PeriodicalName":"Dental Press Journal of Orthodontics","FirstCategoryId":"1085","ListUrlMain":"https://doi.org/10.1590/2177-6709.29.2.e2423253.oar","RegionNum":0,"RegionCategory":null,"ArticlePicture":[],"TitleCN":null,"AbstractTextCN":null,"PMCID":null,"EPubDate":"2024/1/1 0:00:00","PubModel":"eCollection","JCR":"Q2","JCRName":"Medicine","Score":null,"Total":0}
引用次数: 0

Abstract

Objective: To assess the effectiveness of a customized distalizer with Variety SP® screws anchored on palatal miniscrews for upper molar distalization.

Methods: Seventeen patients aged between 12.5 and 24 years underwent distalization with a customized distalizer. Lateral cephalogram and cast analysis were performed before and after distalization. Linear and angular parameters of the upper first molar, first premolar, and central incisor were assessed.

Results: Distalization with the force passing near the center of resistance (CRes) of the upper first molars resulted in distal movement, with minimal distal tipping (2.8 ± 0.45°, p< 0.05). However, distalization passing occlusal to the CRes led to greater distal tipping (13.6 ± 1.63°, p< 0.05). Statistically significant spontaneous distal tipping and distal movement of the upper first premolars occurred, with a mean of 6.2 ± 1.24° (p< 0.05) and 0.68 ± 0.34 mm (p< 0.05), respectively. The positional change of the upper central incisors presented a mean of -0.23 ± 0.1 mm (p> 0.05) and 2.65 ± 1.1° (p< 0.05). Upper first molar intrusion was statistically significant, with a mean of 0.88 ± 0.2 mm (p< 0.05). Upper right and left first molars rotation towards palatal midline presented mean of 4.1 ± 0.19° (p< 0.05) and 3.4  ± 0.1° (p< 0.05), respectively. Additionally, the distance between upper right and left first molars increased significantly, with a mean of 2.54 ± 0.01 mm (p< 0.05).

Conclusion: The study successfully demonstrated the efficiency of molar distalization without anchorage loss using a customized distalizer anchored on palatal miniscrews.

Abstract Image

Abstract Image

Abstract Image

定制的上磨牙远端矫治器与固定在腭部微型螺钉上的 Variety SP® 螺钉的效率。
目的评估使用Variety SP®螺钉锚定在腭小螺钉上的定制矫治器进行上磨牙矫治的效果:17名年龄在12.5岁至24岁之间的患者使用定制的矫治器进行了上磨牙矫治。在矫治前和矫治后分别进行了侧方头影和石膏分析。评估了上第一磨牙、第一前磨牙和中切牙的线性和角度参数:结果:在力通过上第一磨牙阻力中心(CRes)附近时进行的远端矫治导致了远端移动,远端倾角最小(2.8 ± 0.45°,P 0.05),最小(2.65 ± 1.1°,P 0.05):该研究成功证明了使用腭侧微型螺钉锚定的定制远隔器在不损失锚定力的情况下进行磨牙远隔的效率。
本文章由计算机程序翻译,如有差异,请以英文原文为准。
求助全文
约1分钟内获得全文 求助全文
来源期刊
Dental Press Journal of Orthodontics
Dental Press Journal of Orthodontics Dentistry-Orthodontics
CiteScore
2.00
自引率
0.00%
发文量
40
审稿时长
27 weeks
期刊介绍: The Dental Press Journal of Orthodontics publishes scientific research articles, significant reviews, clinical and technical case reports, brief communications, and other materials related to Orthodontics and Facial Orthopedics.
×
引用
GB/T 7714-2015
复制
MLA
复制
APA
复制
导出至
BibTeX EndNote RefMan NoteFirst NoteExpress
×
提示
您的信息不完整,为了账户安全,请先补充。
现在去补充
×
提示
您因"违规操作"
具体请查看互助需知
我知道了
×
提示
确定
请完成安全验证×
copy
已复制链接
快去分享给好友吧!
我知道了
右上角分享
点击右上角分享
0
联系我们:info@booksci.cn Book学术提供免费学术资源搜索服务,方便国内外学者检索中英文文献。致力于提供最便捷和优质的服务体验。 Copyright © 2023 布克学术 All rights reserved.
京ICP备2023020795号-1
ghs 京公网安备 11010802042870号
Book学术文献互助
Book学术文献互助群
群 号:604180095
Book学术官方微信