Study of Expression of P16 in Premalignant and Malignant Lesions of Penis and Their Significance.

Q3 Medicine
Iranian Journal of Pathology Pub Date : 2024-01-01 Epub Date: 2024-03-29 DOI:10.30699/IJP.2024.1998898.3092
Manish Shetty, Deepa Sowkur Anandarama Adiga, Chaithra G V
{"title":"Study of Expression of P16 in Premalignant and Malignant Lesions of Penis and Their Significance.","authors":"Manish Shetty, Deepa Sowkur Anandarama Adiga, Chaithra G V","doi":"10.30699/IJP.2024.1998898.3092","DOIUrl":null,"url":null,"abstract":"<p><strong>Background & objective: </strong>Penile squamous cell carcinoma (SCC) is an extremely rare malignancy. It is usually caused by chronic human papillomavirus (HPV) 16 and HPV 18 infections. This study was conducted to investigate the immunohistochemical overexpression of p16, a surrogate marker for HPV, and to evaluate its usefulness as a potential diagnostic biomarker.</p><p><strong>Methods: </strong>In this cross-sectional prospective and retrospective cohort study, 56 penile squamous cell carcinoma (SCC) specimens and five penile premalignant specimens were evaluated in Kasturba Medical College, Mangalore, India, from January 2013- December 2018 in terms of clinical and histopathological features. Immunohistochemical expression for p16 in cases and controls was evaluated. Statistical comparison of p16 expression among clinical features, histological subtype, grade, and stages of tumor were done.</p><p><strong>Results: </strong>Analysis of the pattern of p16 staining showed diffuse and strong nuclear and cytoplasmic expression in 32.8% of the cases. There was a highly significant association (<i>P</i><0.001) of pattern of p16 expression among the HPV and non-HPV subtypes of penile carcinoma. p16 expression was not significantly associated with other prognostic parameters like site of the lesion, lymphovascular invasion, perineural invasion, histologic grade, and pathologic stage.</p><p><strong>Conclusion: </strong>Expression of p16 would be a useful tool in differentiation between the HPV-associated and non-HPV-associated subtypes of penile SCC that may be helpful in prediction of aggressiveness and invasive potential of the respective histologic subtypes.</p>","PeriodicalId":38900,"journal":{"name":"Iranian Journal of Pathology","volume":"19 1","pages":"50-58"},"PeriodicalIF":0.0000,"publicationDate":"2024-01-01","publicationTypes":"Journal Article","fieldsOfStudy":null,"isOpenAccess":false,"openAccessPdf":"https://www.ncbi.nlm.nih.gov/pmc/articles/PMC11164305/pdf/","citationCount":"0","resultStr":null,"platform":"Semanticscholar","paperid":null,"PeriodicalName":"Iranian Journal of Pathology","FirstCategoryId":"1085","ListUrlMain":"https://doi.org/10.30699/IJP.2024.1998898.3092","RegionNum":0,"RegionCategory":null,"ArticlePicture":[],"TitleCN":null,"AbstractTextCN":null,"PMCID":null,"EPubDate":"2024/3/29 0:00:00","PubModel":"Epub","JCR":"Q3","JCRName":"Medicine","Score":null,"Total":0}
引用次数: 0

Abstract

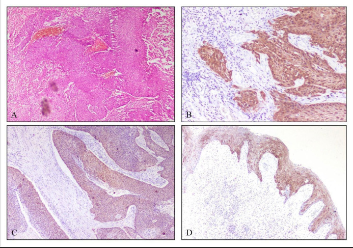
Background & objective: Penile squamous cell carcinoma (SCC) is an extremely rare malignancy. It is usually caused by chronic human papillomavirus (HPV) 16 and HPV 18 infections. This study was conducted to investigate the immunohistochemical overexpression of p16, a surrogate marker for HPV, and to evaluate its usefulness as a potential diagnostic biomarker.

Methods: In this cross-sectional prospective and retrospective cohort study, 56 penile squamous cell carcinoma (SCC) specimens and five penile premalignant specimens were evaluated in Kasturba Medical College, Mangalore, India, from January 2013- December 2018 in terms of clinical and histopathological features. Immunohistochemical expression for p16 in cases and controls was evaluated. Statistical comparison of p16 expression among clinical features, histological subtype, grade, and stages of tumor were done.

Results: Analysis of the pattern of p16 staining showed diffuse and strong nuclear and cytoplasmic expression in 32.8% of the cases. There was a highly significant association (P<0.001) of pattern of p16 expression among the HPV and non-HPV subtypes of penile carcinoma. p16 expression was not significantly associated with other prognostic parameters like site of the lesion, lymphovascular invasion, perineural invasion, histologic grade, and pathologic stage.

Conclusion: Expression of p16 would be a useful tool in differentiation between the HPV-associated and non-HPV-associated subtypes of penile SCC that may be helpful in prediction of aggressiveness and invasive potential of the respective histologic subtypes.

Abstract Image

Abstract Image

Abstract Image

阴茎癌前病变和恶性病变中 P16 表达及其意义研究
背景与目的:阴茎鳞状细胞癌(SCC)是一种极为罕见的恶性肿瘤。它通常由慢性人乳头瘤病毒(HPV)16 和 HPV 18 感染引起。本研究旨在调查 HPV 的替代标记物 p16 的免疫组化过表达情况,并评估其作为潜在诊断生物标记物的有用性:在这项横断面前瞻性和回顾性队列研究中,2013年1月至2018年12月期间,印度芒格洛尔卡斯特尔巴医学院对56例阴茎鳞状细胞癌(SCC)标本和5例阴茎癌前病变标本进行了临床和组织病理学特征评估。评估了病例和对照组中 p16 的免疫组化表达。对不同临床特征、组织学亚型、肿瘤分级和分期的 p16 表达进行了统计比较:结果:对 p16 染色模式的分析显示,32.8% 的病例存在弥漫性强核和胞浆表达。结果:p16 染色模式分析显示,32.8%的病例存在弥漫性强核和强胞浆表达,与 PC 有高度相关性:p16的表达是区分阴茎SCC中HPV相关亚型和非HPV相关亚型的有用工具,可能有助于预测各组织学亚型的侵袭性和侵袭潜力。
本文章由计算机程序翻译,如有差异,请以英文原文为准。
求助全文
约1分钟内获得全文 求助全文
来源期刊
Iranian Journal of Pathology
Iranian Journal of Pathology Medicine-Pathology and Forensic Medicine
CiteScore
2.00
自引率
0.00%
发文量
99
审稿时长
20 weeks
×
引用
GB/T 7714-2015
复制
MLA
复制
APA
复制
导出至
BibTeX EndNote RefMan NoteFirst NoteExpress
×
提示
您的信息不完整,为了账户安全,请先补充。
现在去补充
×
提示
您因"违规操作"
具体请查看互助需知
我知道了
×
提示
确定
请完成安全验证×
copy
已复制链接
快去分享给好友吧!
我知道了
右上角分享
点击右上角分享
0
联系我们:info@booksci.cn Book学术提供免费学术资源搜索服务,方便国内外学者检索中英文文献。致力于提供最便捷和优质的服务体验。 Copyright © 2023 布克学术 All rights reserved.
京ICP备2023020795号-1
ghs 京公网安备 11010802042870号
Book学术文献互助
Book学术文献互助群
群 号:604180095
Book学术官方微信