Immunohistochemical Expression of Programmed Death Ligand- 1 (PD-L1) in Colorectal Carcinoma; A Cross-sectional Study.

Q3 Medicine
Iranian Journal of Pathology Pub Date : 2024-01-01 Epub Date: 2023-12-29 DOI:10.30699/IJP.2023.1988660.3054
Shruti Tadachina, Sheela Devi Shivalingaiah, Mahesh Shetty
{"title":"Immunohistochemical Expression of Programmed Death Ligand- 1 (PD-L1) in Colorectal Carcinoma; A Cross-sectional Study.","authors":"Shruti Tadachina, Sheela Devi Shivalingaiah, Mahesh Shetty","doi":"10.30699/IJP.2023.1988660.3054","DOIUrl":null,"url":null,"abstract":"<p><strong>Background & objective: </strong>Colorectal carcinoma (CRC) is one of the most common cancers worldwide. The interaction of programmed cell death receptor 1 (PD-1) and programmed death ligand 1 (PD-L1) plays an important role by inhibiting the immune mechanism by which cancer cells escape antitumor immunity. Immunotherapy using checkpoint inhibitors is a growing treatment modality in many cancers; one such is anti-PD1/PD-L1. The present study aimed to study the immunohistochemical (IHC) expression of PD-L1 in CRC and its association with various known clinicopathological parameters.</p><p><strong>Methods: </strong>This study was a 2-year prospective study and included 34 colectomy specimens diagnosed as colorectal adenocarcinoma. The expression of PD-L1 was evaluated on tumoral cells and tumor-infiltrating immune cells (TIICs) and was correlated with various clinicopathological parameters.</p><p><strong>Results: </strong>Immunohistochemical expression of PD-L1 on tumoral cells and tumor microenvironment in CRC revealed positivity in 17.65% of cases each. The PD-L1 expression on tumoral cells was associated with lymphovascular invasion (LVI) and perineural invasion (PNI) with P- values of 0.012 and 0.005, respectively, while PD-L1 expression on TIICs was associated with tumor budding with a P-value of 0.022.</p><p><strong>Conclusion: </strong>IHC expression of PD-L1 on tumoral cells and immune cells may be associated with some known poor prognostic factors. Since anti-PD1/PD-L1 is used for targeted therapy, it may be beneficial and economically feasible to evaluate PD-L1 in CRC and establish its role as a prognostic factor.</p>","PeriodicalId":38900,"journal":{"name":"Iranian Journal of Pathology","volume":"19 1","pages":"22-30"},"PeriodicalIF":0.0000,"publicationDate":"2024-01-01","publicationTypes":"Journal Article","fieldsOfStudy":null,"isOpenAccess":false,"openAccessPdf":"https://www.ncbi.nlm.nih.gov/pmc/articles/PMC11164304/pdf/","citationCount":"0","resultStr":null,"platform":"Semanticscholar","paperid":null,"PeriodicalName":"Iranian Journal of Pathology","FirstCategoryId":"1085","ListUrlMain":"https://doi.org/10.30699/IJP.2023.1988660.3054","RegionNum":0,"RegionCategory":null,"ArticlePicture":[],"TitleCN":null,"AbstractTextCN":null,"PMCID":null,"EPubDate":"2023/12/29 0:00:00","PubModel":"Epub","JCR":"Q3","JCRName":"Medicine","Score":null,"Total":0}
引用次数: 0

Abstract

Background & objective: Colorectal carcinoma (CRC) is one of the most common cancers worldwide. The interaction of programmed cell death receptor 1 (PD-1) and programmed death ligand 1 (PD-L1) plays an important role by inhibiting the immune mechanism by which cancer cells escape antitumor immunity. Immunotherapy using checkpoint inhibitors is a growing treatment modality in many cancers; one such is anti-PD1/PD-L1. The present study aimed to study the immunohistochemical (IHC) expression of PD-L1 in CRC and its association with various known clinicopathological parameters.

Methods: This study was a 2-year prospective study and included 34 colectomy specimens diagnosed as colorectal adenocarcinoma. The expression of PD-L1 was evaluated on tumoral cells and tumor-infiltrating immune cells (TIICs) and was correlated with various clinicopathological parameters.

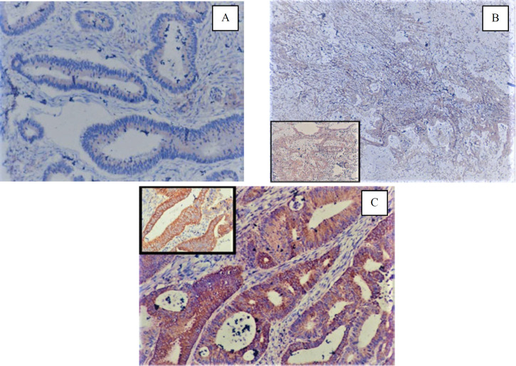
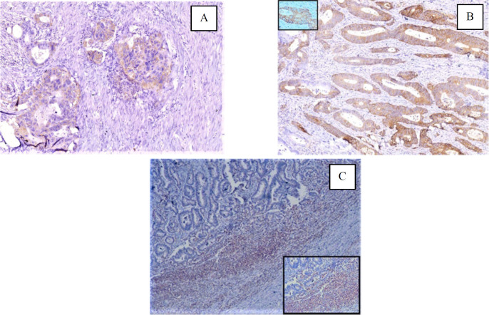
Results: Immunohistochemical expression of PD-L1 on tumoral cells and tumor microenvironment in CRC revealed positivity in 17.65% of cases each. The PD-L1 expression on tumoral cells was associated with lymphovascular invasion (LVI) and perineural invasion (PNI) with P- values of 0.012 and 0.005, respectively, while PD-L1 expression on TIICs was associated with tumor budding with a P-value of 0.022.

Conclusion: IHC expression of PD-L1 on tumoral cells and immune cells may be associated with some known poor prognostic factors. Since anti-PD1/PD-L1 is used for targeted therapy, it may be beneficial and economically feasible to evaluate PD-L1 in CRC and establish its role as a prognostic factor.

Abstract Image

Abstract Image

程序性死亡配体 1 (PD-L1) 在结直肠癌中的免疫组化表达;一项横断面研究。
背景与目的:结直肠癌(CRC)是全球最常见的癌症之一。程序性细胞死亡受体 1(PD-1)和程序性死亡配体 1(PD-L1)之间的相互作用通过抑制免疫机制发挥着重要作用,癌细胞通过这种机制逃避抗肿瘤免疫。使用检查点抑制剂的免疫疗法是许多癌症中一种不断发展的治疗方式,抗PD1/PD-L1就是其中之一。本研究旨在研究 PD-L1 在 CRC 中的免疫组化(IHC)表达及其与各种已知临床病理参数的关系:本研究是一项为期两年的前瞻性研究,纳入了 34 例被诊断为结直肠腺癌的结肠切除标本。评估了肿瘤细胞和肿瘤浸润免疫细胞(TIICs)中 PD-L1 的表达,并将其与各种临床病理参数进行了相关分析:结果:PD-L1在CRC肿瘤细胞和肿瘤微环境中的免疫组化表达显示阳性的病例各占17.65%。肿瘤细胞上的 PD-L1 表达与淋巴管侵犯(LVI)和神经周围侵犯(PNI)相关,P 值分别为 0.012 和 0.005,而 TIICs 上的 PD-L1 表达与肿瘤出芽相关,P 值为 0.022:结论:PD-L1在肿瘤细胞和免疫细胞上的IHC表达可能与一些已知的不良预后因素有关。由于抗 PD1/PD-L1 可用于靶向治疗,因此对 CRC 中的 PD-L1 进行评估并确定其作为预后因素的作用可能是有益且经济可行的。
本文章由计算机程序翻译,如有差异,请以英文原文为准。
求助全文
约1分钟内获得全文 求助全文
来源期刊
Iranian Journal of Pathology
Iranian Journal of Pathology Medicine-Pathology and Forensic Medicine
CiteScore
2.00
自引率
0.00%
发文量
99
审稿时长
20 weeks
×
引用
GB/T 7714-2015
复制
MLA
复制
APA
复制
导出至
BibTeX EndNote RefMan NoteFirst NoteExpress
×
提示
您的信息不完整,为了账户安全,请先补充。
现在去补充
×
提示
您因"违规操作"
具体请查看互助需知
我知道了
×
提示
确定
请完成安全验证×
copy
已复制链接
快去分享给好友吧!
我知道了
右上角分享
点击右上角分享
0
联系我们:info@booksci.cn Book学术提供免费学术资源搜索服务,方便国内外学者检索中英文文献。致力于提供最便捷和优质的服务体验。 Copyright © 2023 布克学术 All rights reserved.
京ICP备2023020795号-1
ghs 京公网安备 11010802042870号
Book学术文献互助
Book学术文献互助群
群 号:604180095
Book学术官方微信