Periocular fibrosarcoma with lipogranulomatous conjunctivitis in a cat.

IF 1.3 4区 农林科学 Q2 VETERINARY SCIENCES
Veterinary ophthalmology Pub Date : 2025-05-01 Epub Date: 2024-06-11 DOI:10.1111/vop.13249
T M Foster, G M Newbold, E J Miller, Y J Jeong, C Premanandan, B D Husbands
{"title":"Periocular fibrosarcoma with lipogranulomatous conjunctivitis in a cat.","authors":"T M Foster, G M Newbold, E J Miller, Y J Jeong, C Premanandan, B D Husbands","doi":"10.1111/vop.13249","DOIUrl":null,"url":null,"abstract":"<p><p>A 9-year-old, female spayed domestic short-haired cat was presented with a 4-year history of bilateral lipogranulomatous conjunctivitis (LGC), which was confirmed via histopathology. Thirteen months following the initial biopsy, the cat was presented with a rapidly progressive mass lesion of the palpebral conjunctiva of the right eye. A surgical debulking, followed 1 month later by exenteration after marked regrowth of the mass confirmed fibrosarcoma. This case report is the first to describe a cat with chronic bilateral LGC that later developed a unilateral fibrosarcoma within the eyelid tissue of the right eye. Fibrosarcoma should be considered a differential in any cat with chronic LGC that develops a rapidly progressive mass in the eyelid.</p>","PeriodicalId":23836,"journal":{"name":"Veterinary ophthalmology","volume":" ","pages":"646-650"},"PeriodicalIF":1.3000,"publicationDate":"2025-05-01","publicationTypes":"Journal Article","fieldsOfStudy":null,"isOpenAccess":false,"openAccessPdf":"https://www.ncbi.nlm.nih.gov/pmc/articles/PMC12095981/pdf/","citationCount":"0","resultStr":null,"platform":"Semanticscholar","paperid":null,"PeriodicalName":"Veterinary ophthalmology","FirstCategoryId":"97","ListUrlMain":"https://doi.org/10.1111/vop.13249","RegionNum":4,"RegionCategory":"农林科学","ArticlePicture":[],"TitleCN":null,"AbstractTextCN":null,"PMCID":null,"EPubDate":"2024/6/11 0:00:00","PubModel":"Epub","JCR":"Q2","JCRName":"VETERINARY SCIENCES","Score":null,"Total":0}
引用次数: 0

Abstract

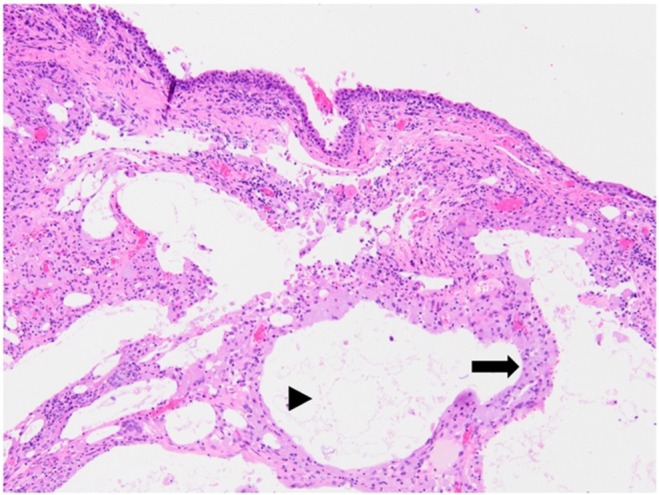
A 9-year-old, female spayed domestic short-haired cat was presented with a 4-year history of bilateral lipogranulomatous conjunctivitis (LGC), which was confirmed via histopathology. Thirteen months following the initial biopsy, the cat was presented with a rapidly progressive mass lesion of the palpebral conjunctiva of the right eye. A surgical debulking, followed 1 month later by exenteration after marked regrowth of the mass confirmed fibrosarcoma. This case report is the first to describe a cat with chronic bilateral LGC that later developed a unilateral fibrosarcoma within the eyelid tissue of the right eye. Fibrosarcoma should be considered a differential in any cat with chronic LGC that develops a rapidly progressive mass in the eyelid.

Abstract Image

Abstract Image

Abstract Image

一只猫的眼周纤维肉瘤伴脂肪粒性结膜炎。
这是一只 9 岁的雌性绝育短毛猫,4 年前曾患双侧脂肪肉芽肿性结膜炎(LGC),后经组织病理学证实。首次活检后 13 个月,该猫右眼睑结膜出现了迅速进展的肿块病变。手术切除肿块,一个月后,肿块明显增大,经外院确诊为纤维肉瘤。本病例报告首次描述了一只患有慢性双侧 LGC 的猫,后来在右眼眼睑组织内长出了单侧纤维肉瘤。对于眼睑出现快速进展性肿块的慢性 LGC 猫,应将纤维肉瘤作为鉴别病例之一。
本文章由计算机程序翻译,如有差异,请以英文原文为准。
求助全文
约1分钟内获得全文 求助全文
来源期刊
Veterinary ophthalmology
Veterinary ophthalmology 农林科学-兽医学
CiteScore
2.70
自引率
37.50%
发文量
82
审稿时长
12-24 weeks
期刊介绍: Veterinary Ophthalmology is a peer-reviewed, international journal that welcomes submission of manuscripts directed towards academic researchers of veterinary ophthalmology, specialists and general practitioners with a strong ophthalmology interest. Articles include those relating to all aspects of: Clinical and investigational veterinary and comparative ophthalmology; Prospective and retrospective studies or reviews of naturally occurring ocular disease in veterinary species; Experimental models of both animal and human ocular disease in veterinary species; Anatomic studies of the animal eye; Physiological studies of the animal eye; Pharmacological studies of the animal eye.
×
引用
GB/T 7714-2015
复制
MLA
复制
APA
复制
导出至
BibTeX EndNote RefMan NoteFirst NoteExpress
×
提示
您的信息不完整,为了账户安全,请先补充。
现在去补充
×
提示
您因"违规操作"
具体请查看互助需知
我知道了
×
提示
确定
请完成安全验证×
copy
已复制链接
快去分享给好友吧!
我知道了
右上角分享
点击右上角分享
0
联系我们:info@booksci.cn Book学术提供免费学术资源搜索服务,方便国内外学者检索中英文文献。致力于提供最便捷和优质的服务体验。 Copyright © 2023 布克学术 All rights reserved.
京ICP备2023020795号-1
ghs 京公网安备 11010802042870号
Book学术文献互助
Book学术文献互助群
群 号:604180095
Book学术官方微信