Comparative Study of Ki-67 Labeling Index Quantification by Eye-rolling, Manual Count, and Digital Image Analysis; An Approach with Caution.

Q3 Medicine
Iranian Journal of Pathology Pub Date : 2024-01-01 Epub Date: 2024-03-29 DOI:10.30699/IJP.2024.2008346.3150
Aminder Singh, Vikram Narang, Ankita Soni, Kajal Angural, Saveena Jindal, Bhavna Garg, Harpreet Kaur
{"title":"Comparative Study of Ki-67 Labeling Index Quantification by Eye-rolling, Manual Count, and Digital Image Analysis; An Approach with Caution.","authors":"Aminder Singh, Vikram Narang, Ankita Soni, Kajal Angural, Saveena Jindal, Bhavna Garg, Harpreet Kaur","doi":"10.30699/IJP.2024.2008346.3150","DOIUrl":null,"url":null,"abstract":"<p><strong>Background and objective: </strong>An accurate Ki-67 labeling index assessment is critical for managing a few tumors, like breast carcinomas and neuroendocrine tumors. We aimed to determine the degree of agreement between digital image analysis (DIA) and eye-rolling assessment (EE) and DIA and manual count (MC) for Ki-67 LI scoring.</p><p><strong>Methods: </strong>A total of 120 cases (both tru-cut biopsies and resected specimens) were selected during the study period from the institutional database, wherein the Ki-67 labeling index was performed. The selected cases were divided into two groups, i.e., breast neoplasms and other neoplasms. The correlation between DIA and EE and DIA and MC for Ki-67 LI scoring was calculated in both groups.</p><p><strong>Results: </strong>A total of 113 cases were analyzed for Ki-67 LI by three different methods (EE, MC, and DIA); 7 cases were rejected due to poor image quality. Ki-67 LI scoring by DIA and EE was highly correlated in both study groups with a Spearman's rank correlation coefficient of 0.809 (<i>P</i>=0.01) and 0.904 (<i>P</i>=0.01), respectively. Correlation between DIA and MC methods was also found to be almost perfect in both study groups with a Spearman's rank correlation coefficient of 0.974 (<i>P</i>=0.01) and 0.955 (<i>P</i>=0.01), respectively.</p><p><strong>Conclusion: </strong>ImmunoRatio is a free web-based digital image analysis application that can be used for Ki-67 LI assessment with considerable reliability and reproducibility. Yet, it carries a few limitations and demands a careful approach and final confirmation by an expert.</p>","PeriodicalId":38900,"journal":{"name":"Iranian Journal of Pathology","volume":"19 1","pages":"75-80"},"PeriodicalIF":0.0000,"publicationDate":"2024-01-01","publicationTypes":"Journal Article","fieldsOfStudy":null,"isOpenAccess":false,"openAccessPdf":"https://www.ncbi.nlm.nih.gov/pmc/articles/PMC11164310/pdf/","citationCount":"0","resultStr":null,"platform":"Semanticscholar","paperid":null,"PeriodicalName":"Iranian Journal of Pathology","FirstCategoryId":"1085","ListUrlMain":"https://doi.org/10.30699/IJP.2024.2008346.3150","RegionNum":0,"RegionCategory":null,"ArticlePicture":[],"TitleCN":null,"AbstractTextCN":null,"PMCID":null,"EPubDate":"2024/3/29 0:00:00","PubModel":"Epub","JCR":"Q3","JCRName":"Medicine","Score":null,"Total":0}
引用次数: 0

Abstract

Background and objective: An accurate Ki-67 labeling index assessment is critical for managing a few tumors, like breast carcinomas and neuroendocrine tumors. We aimed to determine the degree of agreement between digital image analysis (DIA) and eye-rolling assessment (EE) and DIA and manual count (MC) for Ki-67 LI scoring.

Methods: A total of 120 cases (both tru-cut biopsies and resected specimens) were selected during the study period from the institutional database, wherein the Ki-67 labeling index was performed. The selected cases were divided into two groups, i.e., breast neoplasms and other neoplasms. The correlation between DIA and EE and DIA and MC for Ki-67 LI scoring was calculated in both groups.

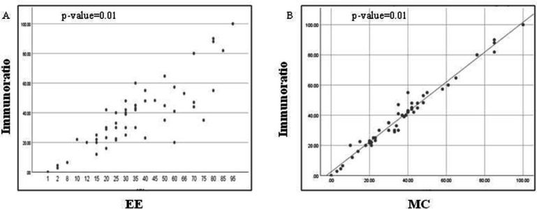
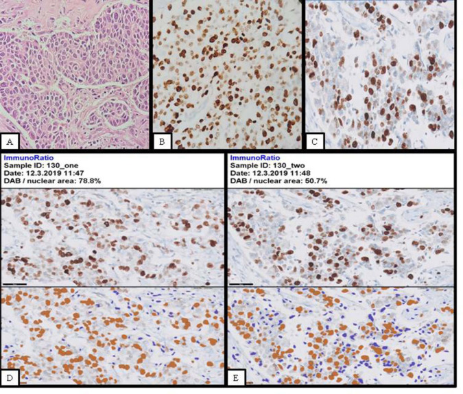
Results: A total of 113 cases were analyzed for Ki-67 LI by three different methods (EE, MC, and DIA); 7 cases were rejected due to poor image quality. Ki-67 LI scoring by DIA and EE was highly correlated in both study groups with a Spearman's rank correlation coefficient of 0.809 (P=0.01) and 0.904 (P=0.01), respectively. Correlation between DIA and MC methods was also found to be almost perfect in both study groups with a Spearman's rank correlation coefficient of 0.974 (P=0.01) and 0.955 (P=0.01), respectively.

Conclusion: ImmunoRatio is a free web-based digital image analysis application that can be used for Ki-67 LI assessment with considerable reliability and reproducibility. Yet, it carries a few limitations and demands a careful approach and final confirmation by an expert.

Abstract Image

Abstract Image

Abstract Image

通过眼球滚动、人工计数和数字图像分析对 Ki-67 标记指数定量的比较研究;一种谨慎的方法。
背景和目的:准确的Ki-67标记指数评估对乳腺癌和神经内分泌肿瘤等少数肿瘤的治疗至关重要。我们旨在确定数字图像分析(DIA)和眼球滚动评估(EE)与数字图像分析和人工计数(MC)在 Ki-67 LI 评分方面的一致程度:在研究期间,从机构数据库中选取了120个病例(包括真切活检和切除标本),对其进行Ki-67标记指数测定。所选病例分为两组,即乳腺肿瘤和其他肿瘤。计算了两组 Ki-67 LI 评分的 DIA 和 EE 以及 DIA 和 MC 之间的相关性:通过三种不同的方法(EE、MC和DIA)对113个病例的Ki-67 LI进行了分析,其中7个病例因图像质量不佳而被剔除。在两个研究组中,DIA和EE的Ki-67 LI评分高度相关,斯皮尔曼等级相关系数分别为0.809(P=0.01)和0.904(P=0.01)。在两个研究组中,DIA 和 MC 方法之间的相关性也几乎完美,斯皮尔曼等级相关系数分别为 0.974(P=0.01)和 0.955(P=0.01):ImmunoRatio是一款免费的网络数字图像分析应用程序,可用于Ki-67 LI评估,具有相当高的可靠性和可重复性。然而,它也有一些局限性,需要专家的谨慎处理和最终确认。
本文章由计算机程序翻译,如有差异,请以英文原文为准。
求助全文
约1分钟内获得全文 求助全文
来源期刊
Iranian Journal of Pathology
Iranian Journal of Pathology Medicine-Pathology and Forensic Medicine
CiteScore
2.00
自引率
0.00%
发文量
99
审稿时长
20 weeks
×
引用
GB/T 7714-2015
复制
MLA
复制
APA
复制
导出至
BibTeX EndNote RefMan NoteFirst NoteExpress
×
提示
您的信息不完整,为了账户安全,请先补充。
现在去补充
×
提示
您因"违规操作"
具体请查看互助需知
我知道了
×
提示
确定
请完成安全验证×
copy
已复制链接
快去分享给好友吧!
我知道了
右上角分享
点击右上角分享
0
联系我们:info@booksci.cn Book学术提供免费学术资源搜索服务,方便国内外学者检索中英文文献。致力于提供最便捷和优质的服务体验。 Copyright © 2023 布克学术 All rights reserved.
京ICP备2023020795号-1
ghs 京公网安备 11010802042870号
Book学术文献互助
Book学术文献互助群
群 号:604180095
Book学术官方微信