Metastatic glioblastoma to the lungs: a case report and literature review.

Q1 Medicine
CNS Oncology Pub Date : 2024-06-06 Epub Date: 2024-06-12 DOI:10.1080/20450907.2024.2351789
Carlen A Yuen, Melike Pekmezci, Silin Bao, Xiao-Tang Kong
{"title":"Metastatic glioblastoma to the lungs: a case report and literature review.","authors":"Carlen A Yuen, Melike Pekmezci, Silin Bao, Xiao-Tang Kong","doi":"10.1080/20450907.2024.2351789","DOIUrl":null,"url":null,"abstract":"<p><p>Glioblastoma is the most common malignant primary brain tumor. Despite its infiltrative nature, extra-cranial glioblastoma metastases are rare. We present a case of a 63-year-old woman with metastatic glioblastoma in the lungs. Sarcomatous histology, a reported risk factor for disseminated disease, was found. Genomic alterations of <i>TP53</i> mutation, <i>TERT</i> mutation, <i>PTEN</i> mutation, and +7/-10 were also uncovered. Early evidence suggests these molecular aberrations are common in metastatic glioblastoma. Treatment with third-line lenvatinib resulted in a mixed response. This case contributes to the growing body of evidence for the role of genomic alterations in predictive risk in metastatic glioblastoma. There remains an unmet need for treatment of metastatic glioblastoma.</p>","PeriodicalId":10469,"journal":{"name":"CNS Oncology","volume":"13 1","pages":"2351789"},"PeriodicalIF":0.0000,"publicationDate":"2024-06-06","publicationTypes":"Journal Article","fieldsOfStudy":null,"isOpenAccess":false,"openAccessPdf":"https://www.ncbi.nlm.nih.gov/pmc/articles/PMC11172249/pdf/","citationCount":"0","resultStr":null,"platform":"Semanticscholar","paperid":null,"PeriodicalName":"CNS Oncology","FirstCategoryId":"1085","ListUrlMain":"https://doi.org/10.1080/20450907.2024.2351789","RegionNum":0,"RegionCategory":null,"ArticlePicture":[],"TitleCN":null,"AbstractTextCN":null,"PMCID":null,"EPubDate":"2024/6/12 0:00:00","PubModel":"Epub","JCR":"Q1","JCRName":"Medicine","Score":null,"Total":0}
引用次数: 0

Abstract

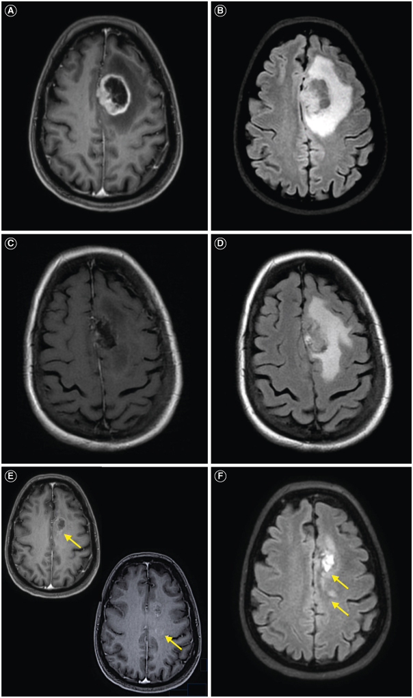
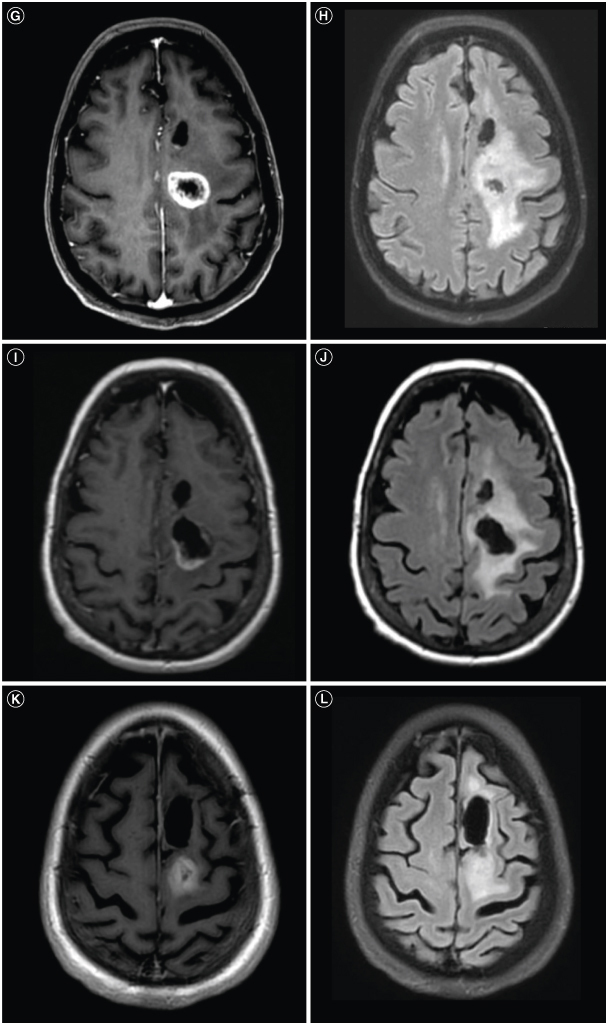
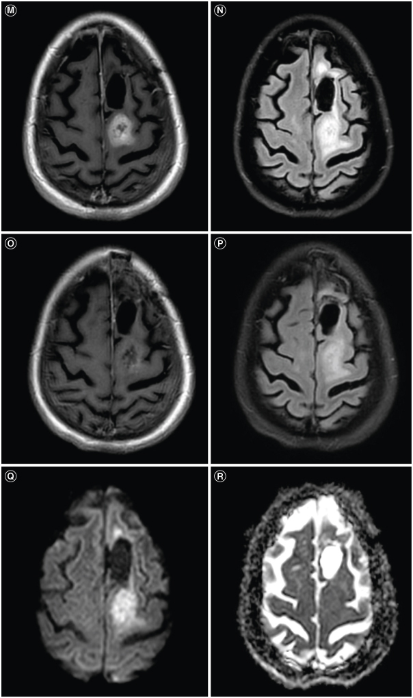
Glioblastoma is the most common malignant primary brain tumor. Despite its infiltrative nature, extra-cranial glioblastoma metastases are rare. We present a case of a 63-year-old woman with metastatic glioblastoma in the lungs. Sarcomatous histology, a reported risk factor for disseminated disease, was found. Genomic alterations of TP53 mutation, TERT mutation, PTEN mutation, and +7/-10 were also uncovered. Early evidence suggests these molecular aberrations are common in metastatic glioblastoma. Treatment with third-line lenvatinib resulted in a mixed response. This case contributes to the growing body of evidence for the role of genomic alterations in predictive risk in metastatic glioblastoma. There remains an unmet need for treatment of metastatic glioblastoma.

Abstract Image

Abstract Image

Abstract Image

转移到肺部的胶质母细胞瘤:病例报告和文献综述。
胶质母细胞瘤是最常见的恶性原发性脑肿瘤。尽管胶质母细胞瘤具有浸润性,但颅外转移却十分罕见。我们报告了一例 63 岁女性肺部转移性胶质母细胞瘤患者的病例。据报道,肉瘤组织学是播散性疾病的危险因素。此外,还发现了 TP53 突变、TERT 突变、PTEN 突变和 +7/-10 等基因组改变。早期证据表明,这些分子畸变在转移性胶质母细胞瘤中很常见。使用来伐替尼进行三线治疗的结果喜忧参半。该病例为越来越多的证据表明基因组改变在预测转移性胶质母细胞瘤风险中的作用做出了贡献。治疗转移性胶质母细胞瘤的需求仍未得到满足。
本文章由计算机程序翻译,如有差异,请以英文原文为准。
求助全文
约1分钟内获得全文 求助全文
来源期刊
CNS Oncology
CNS Oncology Medicine-Neurology (clinical)
CiteScore
3.80
自引率
0.00%
发文量
12
审稿时长
13 weeks
×
引用
GB/T 7714-2015
复制
MLA
复制
APA
复制
导出至
BibTeX EndNote RefMan NoteFirst NoteExpress
×
提示
您的信息不完整,为了账户安全,请先补充。
现在去补充
×
提示
您因"违规操作"
具体请查看互助需知
我知道了
×
提示
确定
请完成安全验证×
copy
已复制链接
快去分享给好友吧!
我知道了
右上角分享
点击右上角分享
0
联系我们:info@booksci.cn Book学术提供免费学术资源搜索服务,方便国内外学者检索中英文文献。致力于提供最便捷和优质的服务体验。 Copyright © 2023 布克学术 All rights reserved.
京ICP备2023020795号-1
ghs 京公网安备 11010802042870号
Book学术文献互助
Book学术文献互助群
群 号:604180095
Book学术官方微信