The lncRNA Gm8097 is associated with hypospermatogenesis.

IF 1.6 Q3 OBSTETRICS & GYNECOLOGY
Bin Lei, Luwei Ye, Zhuolin Qiu, Shoubo Zhang
{"title":"The lncRNA Gm8097 is associated with hypospermatogenesis.","authors":"Bin Lei, Luwei Ye, Zhuolin Qiu, Shoubo Zhang","doi":"10.5653/cerm.2024.06835","DOIUrl":null,"url":null,"abstract":"<p><strong>Objective: </strong>To investigate whether long non-coding RNA (lncRNA) Gm8097 (LncGm8097) is associated with male infertility.</p><p><strong>Methods: </strong>The expression and bilogical role of LncGm8097 were investigated.</p><p><strong>Results: </strong>LncGm8097 expression was down-regulated in the testis tissues with moderate and severe hypospermatogenesis compared with those with normal spermatogenesis and mild hypospermatogenesis (p<0.05). LncGm8097 down-regulation significantly promoted apoptosis and inhibited proliferation in GC1 and GC2 cells. In addition, LncGm8097 was significantly down-regulated in mouse model of hypospermatogenesis and correlated with cell apoptosis and proliferation. LncGm8097 was located immediately upstream of PRPS2, and correlated with Bcl-2/P53/caspase 6/caspase 9 signal pathway.</p><p><strong>Conclusion: </strong>LncGm8097 down-regulation correlates with hypospermatogenesis, which may offer new insights into the pathogenesis of male infertility.</p>","PeriodicalId":46409,"journal":{"name":"Clinical and Experimental Reproductive Medicine-CERM","volume":" ","pages":"314-323"},"PeriodicalIF":1.6000,"publicationDate":"2024-12-01","publicationTypes":"Journal Article","fieldsOfStudy":null,"isOpenAccess":false,"openAccessPdf":"https://www.ncbi.nlm.nih.gov/pmc/articles/PMC11617910/pdf/","citationCount":"0","resultStr":null,"platform":"Semanticscholar","paperid":null,"PeriodicalName":"Clinical and Experimental Reproductive Medicine-CERM","FirstCategoryId":"1085","ListUrlMain":"https://doi.org/10.5653/cerm.2024.06835","RegionNum":0,"RegionCategory":null,"ArticlePicture":[],"TitleCN":null,"AbstractTextCN":null,"PMCID":null,"EPubDate":"2024/6/10 0:00:00","PubModel":"Epub","JCR":"Q3","JCRName":"OBSTETRICS & GYNECOLOGY","Score":null,"Total":0}
引用次数: 0

Abstract

Objective: To investigate whether long non-coding RNA (lncRNA) Gm8097 (LncGm8097) is associated with male infertility.

Methods: The expression and bilogical role of LncGm8097 were investigated.

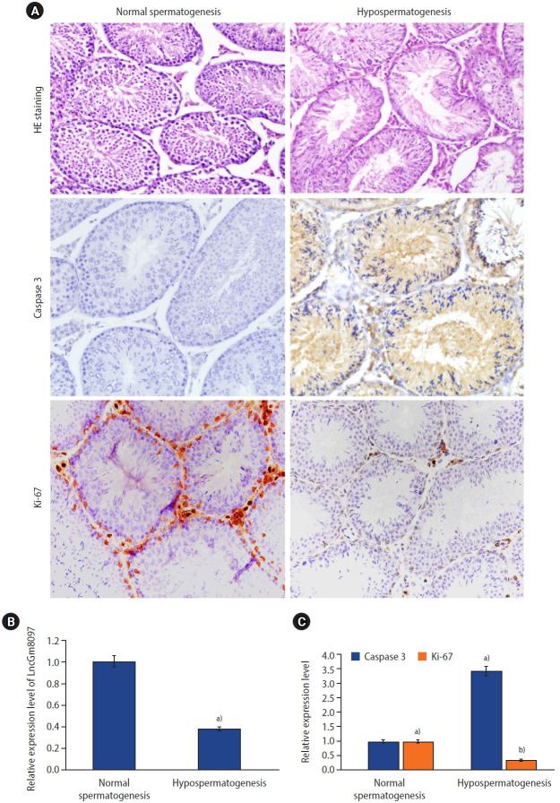
Results: LncGm8097 expression was down-regulated in the testis tissues with moderate and severe hypospermatogenesis compared with those with normal spermatogenesis and mild hypospermatogenesis (p<0.05). LncGm8097 down-regulation significantly promoted apoptosis and inhibited proliferation in GC1 and GC2 cells. In addition, LncGm8097 was significantly down-regulated in mouse model of hypospermatogenesis and correlated with cell apoptosis and proliferation. LncGm8097 was located immediately upstream of PRPS2, and correlated with Bcl-2/P53/caspase 6/caspase 9 signal pathway.

Conclusion: LncGm8097 down-regulation correlates with hypospermatogenesis, which may offer new insights into the pathogenesis of male infertility.

Abstract Image

Abstract Image

Abstract Image

lncRNA Gm8097 与精子发生功能低下有关。
目的研究长非编码RNA(lncRNA)Gm8097(LncGm8097)是否与男性不育有关:方法:研究LncGm8097的表达和生物学作用:结果:LncGm8097在中度和重度精子发生功能低下的睾丸组织中表达下调,而在精子发生正常和轻度精子发生功能低下的睾丸组织中表达上调:LncGm8097的下调与精子发生功能减退相关,这可能为男性不育症的发病机制提供了新的见解。
本文章由计算机程序翻译,如有差异,请以英文原文为准。
求助全文
约1分钟内获得全文 求助全文
来源期刊
CiteScore
3.30
自引率
0.00%
发文量
0
×
引用
GB/T 7714-2015
复制
MLA
复制
APA
复制
导出至
BibTeX EndNote RefMan NoteFirst NoteExpress
×
提示
您的信息不完整,为了账户安全,请先补充。
现在去补充
×
提示
您因"违规操作"
具体请查看互助需知
我知道了
×
提示
确定
请完成安全验证×
copy
已复制链接
快去分享给好友吧!
我知道了
右上角分享
点击右上角分享
0
联系我们:info@booksci.cn Book学术提供免费学术资源搜索服务,方便国内外学者检索中英文文献。致力于提供最便捷和优质的服务体验。 Copyright © 2023 布克学术 All rights reserved.
京ICP备2023020795号-1
ghs 京公网安备 11010802042870号
Book学术文献互助
Book学术文献互助群
群 号:604180095
Book学术官方微信