Intracerebral Hemorrhage Manifesting as Optic Aphasia: A Case Report.

Beyoglu Eye Journal Pub Date : 2024-06-01 eCollection Date: 2024-01-01 DOI:10.14744/bej.2024.43765
Christopher Andrean Putra Johansyah, Leliana Bambang
{"title":"Intracerebral Hemorrhage Manifesting as Optic Aphasia: A Case Report.","authors":"Christopher Andrean Putra Johansyah, Leliana Bambang","doi":"10.14744/bej.2024.43765","DOIUrl":null,"url":null,"abstract":"<p><p>Optic aphasia is a rare neurological disorder that affects the visual-semantic ability of patients with normal vision and is caused by a lesion in the left occipital lobe. The signs and symptoms of optic aphasia are similar to those of associative visual agnosia, where patients have difficulty recognizing objects both in shape and function, resulting in challenges performing daily tasks. The transformation to optic aphasia or associative visual agnosia is closely related to the degree of damage to the corpus callosum, with some studies hypothetically suggesting that complete damage to the corpus callosum leads to optic aphasia, whereas incomplete damage causes associative visual agnosia. We present a case of a 60-year-old man with a history of intracerebral hemorrhage in the left occipitotemporoparietal lobe. The patient complained of intermittent episodes of painless, blurry vision. Upon examination, we observed that the patient was unable to read the Snellen chart, although he could draw the letter. Furthermore, we discovered that the patient had difficulty naming objects and instruments, even though he was able to express their shape and function through gestures and mimicry. The signs and symptoms of the patient, along with the result of the multi-slice non-contrast CT scan, suggest that he had optic aphasia rather than associative visual agnosia. A comprehensive neuropsychological and aphasia examination needs to be performed to further assess the condition of our patient and establish the diagnosis.</p>","PeriodicalId":8740,"journal":{"name":"Beyoglu Eye Journal","volume":"9 2","pages":"109-113"},"PeriodicalIF":0.0000,"publicationDate":"2024-06-01","publicationTypes":"Journal Article","fieldsOfStudy":null,"isOpenAccess":false,"openAccessPdf":"https://www.ncbi.nlm.nih.gov/pmc/articles/PMC11156471/pdf/","citationCount":"0","resultStr":null,"platform":"Semanticscholar","paperid":null,"PeriodicalName":"Beyoglu Eye Journal","FirstCategoryId":"1085","ListUrlMain":"https://doi.org/10.14744/bej.2024.43765","RegionNum":0,"RegionCategory":null,"ArticlePicture":[],"TitleCN":null,"AbstractTextCN":null,"PMCID":null,"EPubDate":"2024/1/1 0:00:00","PubModel":"eCollection","JCR":"","JCRName":"","Score":null,"Total":0}
引用次数: 0

Abstract

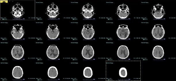
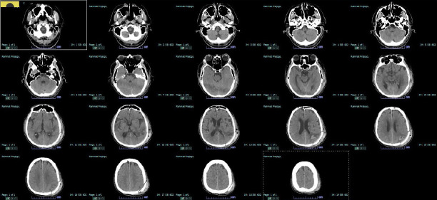
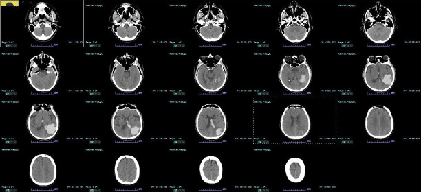
Optic aphasia is a rare neurological disorder that affects the visual-semantic ability of patients with normal vision and is caused by a lesion in the left occipital lobe. The signs and symptoms of optic aphasia are similar to those of associative visual agnosia, where patients have difficulty recognizing objects both in shape and function, resulting in challenges performing daily tasks. The transformation to optic aphasia or associative visual agnosia is closely related to the degree of damage to the corpus callosum, with some studies hypothetically suggesting that complete damage to the corpus callosum leads to optic aphasia, whereas incomplete damage causes associative visual agnosia. We present a case of a 60-year-old man with a history of intracerebral hemorrhage in the left occipitotemporoparietal lobe. The patient complained of intermittent episodes of painless, blurry vision. Upon examination, we observed that the patient was unable to read the Snellen chart, although he could draw the letter. Furthermore, we discovered that the patient had difficulty naming objects and instruments, even though he was able to express their shape and function through gestures and mimicry. The signs and symptoms of the patient, along with the result of the multi-slice non-contrast CT scan, suggest that he had optic aphasia rather than associative visual agnosia. A comprehensive neuropsychological and aphasia examination needs to be performed to further assess the condition of our patient and establish the diagnosis.

Abstract Image

Abstract Image

Abstract Image

表现为视失语症的脑内出血:病例报告。
视神经失语症是一种罕见的神经系统疾病,影响视力正常患者的视觉语义能力,是由左枕叶病变引起的。视神经失语症的症状和体征与联想性视觉缺失症相似,患者难以辨认物体的形状和功能,导致在执行日常任务时遇到困难。视神经失语症或联想性视觉缺失症的转变与胼胝体的损伤程度密切相关,一些研究假设胼胝体完全损伤会导致视神经失语症,而不完全损伤则会导致联想性视觉缺失症。我们报告了一例 60 岁男性患者的病例,他有左枕颞顶叶脑出血病史。患者主诉间歇性发作无痛性视力模糊。经检查,我们发现患者虽然能画出字母,但无法阅读斯奈伦视力表。此外,我们还发现,尽管患者能够通过手势和模仿来表达物体和器械的形状和功能,但却很难说出它们的名称。患者的体征和症状,以及多层非对比 CT 扫描的结果表明,他患有视神经失语症,而不是联想性视觉缺失症。需要进行全面的神经心理学和失语症检查,以进一步评估患者的病情并确定诊断。
本文章由计算机程序翻译,如有差异,请以英文原文为准。
求助全文
约1分钟内获得全文 求助全文
来源期刊
自引率
0.00%
发文量
42
审稿时长
16 weeks
×
引用
GB/T 7714-2015
复制
MLA
复制
APA
复制
导出至
BibTeX EndNote RefMan NoteFirst NoteExpress
×
提示
您的信息不完整,为了账户安全,请先补充。
现在去补充
×
提示
您因"违规操作"
具体请查看互助需知
我知道了
×
提示
确定
请完成安全验证×
copy
已复制链接
快去分享给好友吧!
我知道了
右上角分享
点击右上角分享
0
联系我们:info@booksci.cn Book学术提供免费学术资源搜索服务,方便国内外学者检索中英文文献。致力于提供最便捷和优质的服务体验。 Copyright © 2023 布克学术 All rights reserved.
京ICP备2023020795号-1
ghs 京公网安备 11010802042870号
Book学术文献互助
Book学术文献互助群
群 号:604180095
Book学术官方微信