Changes in Rat Mammary Tissue Architecture Following Pregnancy/Lactation Exposure to Glyphosate Alone or with 2,4-D and Dicamba.

Current health sciences journal Pub Date : 2024-01-01 Epub Date: 2024-03-31 DOI:10.12865/CHSJ.50.01.13
Andrei Eugen Cirstea, Anca Oana Docea, Liliana Cercelaru, Andrei Ioan Drocas, Robin Mesnage, Cristina Marginean, Cristian Marinas, Magdalena Diaconu, Kirill S Golokhvast, Radu Mitrut, Michael N Antoniou, Aristidis Tsatsakis, Daniela Calina
{"title":"Changes in Rat Mammary Tissue Architecture Following Pregnancy/Lactation Exposure to Glyphosate Alone or with 2,4-D and Dicamba.","authors":"Andrei Eugen Cirstea, Anca Oana Docea, Liliana Cercelaru, Andrei Ioan Drocas, Robin Mesnage, Cristina Marginean, Cristian Marinas, Magdalena Diaconu, Kirill S Golokhvast, Radu Mitrut, Michael N Antoniou, Aristidis Tsatsakis, Daniela Calina","doi":"10.12865/CHSJ.50.01.13","DOIUrl":null,"url":null,"abstract":"<p><p>The current study aimed to assess the possible endocrine disruptor effects on rat mammary tissue and reproductive organs during pregnancy and lactation when exposed to low doses of glyphosate and its combination with 2,4-dichlorophenoxyacetic acid (2,4-D) and dicamba. The study involved the exposure of pregnant Wistar rats to various regulatory-relevant doses of glyphosate, ranging from gestational day 6 until fine of the lactation period. Glyphosate doses corresponded to the European Union's glyphosate-acceptable daily intake (ADI; 0.5mg/kg bw/day) and no observed adverse effect level (NOAEL; 50mg/kg bw/day). The dose of the mixture of glyphosate, dicamba, and 2,4-D was at the European Union ADI for each herbicide namely 0.5, 0.002, and 0.3mg/kg bw/day, respectively. In the animals exposed to glyphosate NOAEL serum estradiol levels were increased compared to untreated animals, along with an upregulation of TNF-?, MMP-2, and MMP-9 as measured in mammary gland homogenates compared to non-treated animals. Moreover, in this group, a focally acute inflammatory infiltrate was observed in the mammary gland. Our study showed that short-term exposure to glyphosate at doses that are set as safe by regulators and thus without risk corroborated with a particular physiological state as gestation and lactation, can give rise to inflammatory changes in breast tissue in rats. These findings support the need for further evaluation of glyphosate and mixtures of glyphosate with other pesticides for public health protection, especially for those categories vulnerable to the potential endocrine disruptor properties of these pesticides such as pregnant women, newborns, and children.</p>","PeriodicalId":93963,"journal":{"name":"Current health sciences journal","volume":"50 1","pages":"94-105"},"PeriodicalIF":0.0000,"publicationDate":"2024-01-01","publicationTypes":"Journal Article","fieldsOfStudy":null,"isOpenAccess":false,"openAccessPdf":"https://www.ncbi.nlm.nih.gov/pmc/articles/PMC11151954/pdf/","citationCount":"0","resultStr":null,"platform":"Semanticscholar","paperid":null,"PeriodicalName":"Current health sciences journal","FirstCategoryId":"1085","ListUrlMain":"https://doi.org/10.12865/CHSJ.50.01.13","RegionNum":0,"RegionCategory":null,"ArticlePicture":[],"TitleCN":null,"AbstractTextCN":null,"PMCID":null,"EPubDate":"2024/3/31 0:00:00","PubModel":"Epub","JCR":"","JCRName":"","Score":null,"Total":0}
引用次数: 0

Abstract

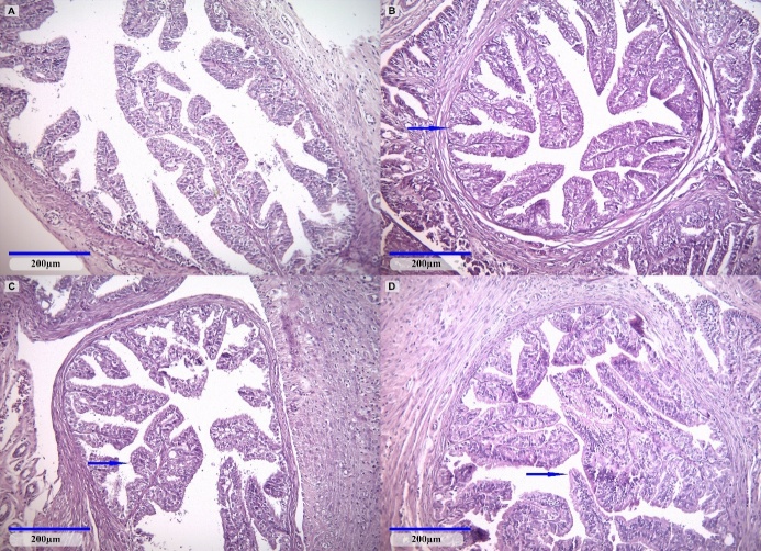
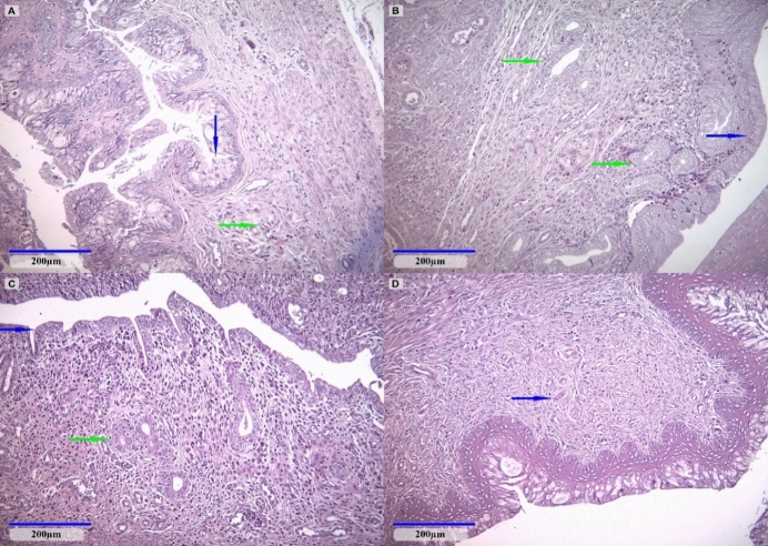
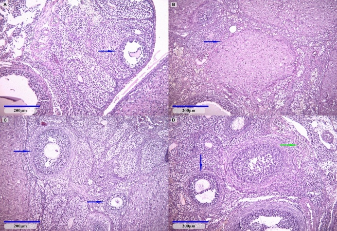
The current study aimed to assess the possible endocrine disruptor effects on rat mammary tissue and reproductive organs during pregnancy and lactation when exposed to low doses of glyphosate and its combination with 2,4-dichlorophenoxyacetic acid (2,4-D) and dicamba. The study involved the exposure of pregnant Wistar rats to various regulatory-relevant doses of glyphosate, ranging from gestational day 6 until fine of the lactation period. Glyphosate doses corresponded to the European Union's glyphosate-acceptable daily intake (ADI; 0.5mg/kg bw/day) and no observed adverse effect level (NOAEL; 50mg/kg bw/day). The dose of the mixture of glyphosate, dicamba, and 2,4-D was at the European Union ADI for each herbicide namely 0.5, 0.002, and 0.3mg/kg bw/day, respectively. In the animals exposed to glyphosate NOAEL serum estradiol levels were increased compared to untreated animals, along with an upregulation of TNF-?, MMP-2, and MMP-9 as measured in mammary gland homogenates compared to non-treated animals. Moreover, in this group, a focally acute inflammatory infiltrate was observed in the mammary gland. Our study showed that short-term exposure to glyphosate at doses that are set as safe by regulators and thus without risk corroborated with a particular physiological state as gestation and lactation, can give rise to inflammatory changes in breast tissue in rats. These findings support the need for further evaluation of glyphosate and mixtures of glyphosate with other pesticides for public health protection, especially for those categories vulnerable to the potential endocrine disruptor properties of these pesticides such as pregnant women, newborns, and children.

Abstract Image

Abstract Image

Abstract Image

大鼠妊娠期/哺乳期单独或与 2,4-D 和麦草畏一起接触草甘膦后乳腺组织结构的变化
本研究旨在评估大鼠在妊娠期和哺乳期接触低剂量草甘膦及其与 2,4-D 和麦草畏的混合物时,内分泌干扰物可能对其乳腺组织和生殖器官产生的影响。这项研究让怀孕的 Wistar 大鼠从妊娠第 6 天开始接触不同剂量的草甘膦,直至哺乳期结束。草甘膦剂量符合欧盟的草甘膦每日允许摄入量(ADI;0.5 毫克/千克体重/天)和无观测不良效应水平(NOAEL;50 毫克/千克体重/天)。草甘膦、麦草畏和 2,4-D 混合物的剂量分别为 0.5、0.002 和 0.3 毫克/千克体重/天,均达到欧盟规定的每种除草剂的每日允许摄入量。与未施用草甘膦的动物相比,施用草甘膦无观测不良效应水平的动物血清雌二醇水平升高,乳腺匀浆中的 TNF-、MMP-2 和 MMP-9 上调。此外,在该组动物的乳腺中还观察到局部急性炎症浸润。我们的研究表明,大鼠短期接触草甘膦,如果剂量被监管机构定为安全剂量,并且在妊娠期和哺乳期等特定生理状态下没有风险,就会引起乳腺组织的炎症变化。这些研究结果表明,有必要对草甘膦以及草甘膦与其他农药的混合物进行进一步评估,以保护公众健康,尤其是那些容易受到这些农药潜在内分泌干扰特性影响的人群,如孕妇、新生儿和儿童。
本文章由计算机程序翻译,如有差异,请以英文原文为准。
求助全文
约1分钟内获得全文 求助全文
来源期刊
自引率
0.00%
发文量
0
×
引用
GB/T 7714-2015
复制
MLA
复制
APA
复制
导出至
BibTeX EndNote RefMan NoteFirst NoteExpress
×
提示
您的信息不完整,为了账户安全,请先补充。
现在去补充
×
提示
您因"违规操作"
具体请查看互助需知
我知道了
×
提示
确定
请完成安全验证×
copy
已复制链接
快去分享给好友吧!
我知道了
右上角分享
点击右上角分享
0
联系我们:info@booksci.cn Book学术提供免费学术资源搜索服务,方便国内外学者检索中英文文献。致力于提供最便捷和优质的服务体验。 Copyright © 2023 布克学术 All rights reserved.
京ICP备2023020795号-1
ghs 京公网安备 11010802042870号
Book学术文献互助
Book学术文献互助群
群 号:604180095
Book学术官方微信