Feline gastrointestinal eosinophilic sclerosing fibroplasia in two cats: Serial ultrasonographic and computed tomography findings.

IF 0.8 4区 农林科学 Q3 VETERINARY SCIENCES
Veterinarni Medicina Pub Date : 2024-05-27 eCollection Date: 2024-05-01 DOI:10.17221/2/2024-VETMED
Daji Noh, Hyeeun Jo, Hyunguk Shin, Sang-Kwon Lee, Sooyoung Choi, Kija Lee
{"title":"Feline gastrointestinal eosinophilic sclerosing fibroplasia in two cats: Serial ultrasonographic and computed tomography findings.","authors":"Daji Noh, Hyeeun Jo, Hyunguk Shin, Sang-Kwon Lee, Sooyoung Choi, Kija Lee","doi":"10.17221/2/2024-VETMED","DOIUrl":null,"url":null,"abstract":"<p><p>A 6-month-old Ragdoll and 9-year-old Russian Blue cat presented with vomiting. Ultrasonography and computed tomography showed a pyloric antrum mass with wall layering loss and regional lymphadenopathy in the Ragdoll kitten. The Russian Blue cat only presented with muscularis layer thickening throughout the jejunum; however, despite medications, it later progressed to a mass with wall layering loss on the serial ultrasound. Both cats underwent surgery, and feline gastrointestinal eosinophilic sclerosing fibroplasia (FGESF) was histologically confirmed. FGESF should be considered for gastrointestinal masses demonstrating wall layering loss and lymphadenopathy, even in kittens, and intestinal muscularis layer thickening that is refractory to medications.</p>","PeriodicalId":23532,"journal":{"name":"Veterinarni Medicina","volume":"69 5","pages":"177-183"},"PeriodicalIF":0.8000,"publicationDate":"2024-05-27","publicationTypes":"Journal Article","fieldsOfStudy":null,"isOpenAccess":false,"openAccessPdf":"https://www.ncbi.nlm.nih.gov/pmc/articles/PMC11148708/pdf/","citationCount":"0","resultStr":null,"platform":"Semanticscholar","paperid":null,"PeriodicalName":"Veterinarni Medicina","FirstCategoryId":"97","ListUrlMain":"https://doi.org/10.17221/2/2024-VETMED","RegionNum":4,"RegionCategory":"农林科学","ArticlePicture":[],"TitleCN":null,"AbstractTextCN":null,"PMCID":null,"EPubDate":"2024/5/1 0:00:00","PubModel":"eCollection","JCR":"Q3","JCRName":"VETERINARY SCIENCES","Score":null,"Total":0}
引用次数: 0

Abstract

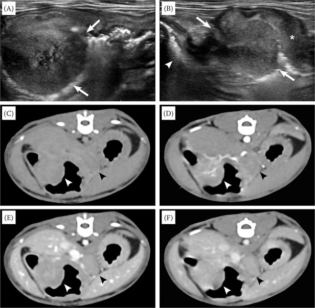
A 6-month-old Ragdoll and 9-year-old Russian Blue cat presented with vomiting. Ultrasonography and computed tomography showed a pyloric antrum mass with wall layering loss and regional lymphadenopathy in the Ragdoll kitten. The Russian Blue cat only presented with muscularis layer thickening throughout the jejunum; however, despite medications, it later progressed to a mass with wall layering loss on the serial ultrasound. Both cats underwent surgery, and feline gastrointestinal eosinophilic sclerosing fibroplasia (FGESF) was histologically confirmed. FGESF should be considered for gastrointestinal masses demonstrating wall layering loss and lymphadenopathy, even in kittens, and intestinal muscularis layer thickening that is refractory to medications.

Abstract Image

Abstract Image

Abstract Image

两只猫的猫胃肠道嗜酸性硬化纤维增生症:连续超声波和计算机断层扫描结果。
一只 6 个月大的布偶猫和一只 9 岁大的俄罗斯蓝猫出现呕吐症状。超声波和计算机断层扫描显示,布偶猫的幽门窦肿块伴有壁层脱落和区域淋巴结病。俄罗斯蓝猫仅表现为整个空肠肌肉层增厚;然而,尽管服用了药物,它后来在连续超声波检查中发展为肿块,并伴有肠壁分层缺损。两只猫都接受了手术,并经组织学证实患有猫胃肠道嗜酸性硬化纤维增生症(FGESF)。即使是幼猫,如果胃肠道肿块显示肠壁分层脱落和淋巴结肿大,且肠道肌肉层增厚,药物治疗无效,也应考虑 FGESF。
本文章由计算机程序翻译,如有差异,请以英文原文为准。
求助全文
约1分钟内获得全文 求助全文
来源期刊
Veterinarni Medicina
Veterinarni Medicina Veterinary Sciences-兽医学
CiteScore
1.30
自引率
0.00%
发文量
62
审稿时长
18-36 weeks
期刊介绍: The journal Veterinarni Medicina publishes in English original papers, short communications, critical reviews and case reports from all fields of veterinary and biomedical sciences.
×
引用
GB/T 7714-2015
复制
MLA
复制
APA
复制
导出至
BibTeX EndNote RefMan NoteFirst NoteExpress
×
提示
您的信息不完整,为了账户安全,请先补充。
现在去补充
×
提示
您因"违规操作"
具体请查看互助需知
我知道了
×
提示
确定
请完成安全验证×
copy
已复制链接
快去分享给好友吧!
我知道了
右上角分享
点击右上角分享
0
联系我们:info@booksci.cn Book学术提供免费学术资源搜索服务,方便国内外学者检索中英文文献。致力于提供最便捷和优质的服务体验。 Copyright © 2023 布克学术 All rights reserved.
京ICP备2023020795号-1
ghs 京公网安备 11010802042870号
Book学术文献互助
Book学术文献互助群
群 号:604180095
Book学术官方微信