Pulp stones: any relevance with the levels of serum calcium, parathyroid hormone, vitamin D and uric acid.

IF 1.5
Restorative Dentistry & Endodontics Pub Date : 2024-03-26 eCollection Date: 2024-05-01 DOI:10.5395/rde.2024.49.e17
Ceyda Gürhan, Ercan Saruhan
{"title":"Pulp stones: any relevance with the levels of serum calcium, parathyroid hormone, vitamin D and uric acid.","authors":"Ceyda Gürhan, Ercan Saruhan","doi":"10.5395/rde.2024.49.e17","DOIUrl":null,"url":null,"abstract":"<p><strong>Objectives: </strong>This study evaluated the effect of serum calcium, parathyroid hormone (PTH), vitamin D, and uric acid levels on pulp stone formation.</p><p><strong>Materials and methods: </strong>Patients who were admitted to the Muğla Sıtkı Koçman University, Faculty of Dentistry, Department of Oral and Maxillofacial Radiology for dental complaints were registered. Among these patients, individuals who had routine biochemical tests at the same period in the Outpatient Clinics of Muğla Sıtkı Koçman University Training and Research Hospital were included in the study. The patients with at least 1 pulp stone on panoramic radiographs recorded as the \"pulp stone group\" while patients without any pulp stones were the \"control group\". Demographic data and serum levels of calcium, PTH, vitamin D, and uric acid were retrospectively evaluated in both groups. Student <i>t</i>-test or Mann-Whitney <i>U</i> test was used to evaluate the differences between the groups.</p><p><strong>Results: </strong>Among 151 patients, dental pulp stone was detected in 53.6% of patients, and 82.7% of these patients were female. Female sex and pulp stone formation were significantly associated (<i>p</i> = 0.001). The mean age of the pulp stone group was 43.9, while it was 39.9 in the control group, without any significant correlation between age and pulp stone (<i>p</i> > 0.05). Similarly, there were no significant differences in serum levels of PTH, vitamin D, uric acid and calcium between groups (<i>p</i> > 0.05).</p><p><strong>Conclusions: </strong>According to the present study, the effect of dental factors rather than systemic factors should be considered primarily in pulp stone formation.</p>","PeriodicalId":21102,"journal":{"name":"Restorative Dentistry & Endodontics","volume":"49 2","pages":"e17"},"PeriodicalIF":1.5000,"publicationDate":"2024-03-26","publicationTypes":"Journal Article","fieldsOfStudy":null,"isOpenAccess":false,"openAccessPdf":"https://www.ncbi.nlm.nih.gov/pmc/articles/PMC11148410/pdf/","citationCount":"0","resultStr":null,"platform":"Semanticscholar","paperid":null,"PeriodicalName":"Restorative Dentistry & Endodontics","FirstCategoryId":"1085","ListUrlMain":"https://doi.org/10.5395/rde.2024.49.e17","RegionNum":0,"RegionCategory":null,"ArticlePicture":[],"TitleCN":null,"AbstractTextCN":null,"PMCID":null,"EPubDate":"2024/5/1 0:00:00","PubModel":"eCollection","JCR":"","JCRName":"","Score":null,"Total":0}
引用次数: 0

Abstract

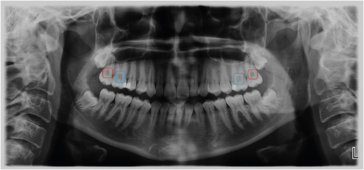
Objectives: This study evaluated the effect of serum calcium, parathyroid hormone (PTH), vitamin D, and uric acid levels on pulp stone formation.

Materials and methods: Patients who were admitted to the Muğla Sıtkı Koçman University, Faculty of Dentistry, Department of Oral and Maxillofacial Radiology for dental complaints were registered. Among these patients, individuals who had routine biochemical tests at the same period in the Outpatient Clinics of Muğla Sıtkı Koçman University Training and Research Hospital were included in the study. The patients with at least 1 pulp stone on panoramic radiographs recorded as the "pulp stone group" while patients without any pulp stones were the "control group". Demographic data and serum levels of calcium, PTH, vitamin D, and uric acid were retrospectively evaluated in both groups. Student t-test or Mann-Whitney U test was used to evaluate the differences between the groups.

Results: Among 151 patients, dental pulp stone was detected in 53.6% of patients, and 82.7% of these patients were female. Female sex and pulp stone formation were significantly associated (p = 0.001). The mean age of the pulp stone group was 43.9, while it was 39.9 in the control group, without any significant correlation between age and pulp stone (p > 0.05). Similarly, there were no significant differences in serum levels of PTH, vitamin D, uric acid and calcium between groups (p > 0.05).

Conclusions: According to the present study, the effect of dental factors rather than systemic factors should be considered primarily in pulp stone formation.

Abstract Image

Abstract Image

Abstract Image

牙髓结石:与血清钙、甲状旁腺激素、维生素 D 和尿酸水平是否相关。
研究目的本研究评估了血清钙、甲状旁腺激素(PTH)、维生素D和尿酸水平对牙髓结石形成的影响:对因牙科疾病在穆拉-谢特克-科奇曼大学牙科学院口腔颌面放射学系住院的患者进行登记。在这些患者中,同期在穆格拉-希特克-科奇曼大学培训与研究医院门诊部进行常规生化检测的患者也被纳入研究范围。全景X光片上至少有一颗牙髓结石的患者为 "牙髓结石组",没有任何牙髓结石的患者为 "对照组"。对两组患者的人口统计学数据和血清钙、PTH、维生素D和尿酸水平进行回顾性评估。采用学生 t 检验或 Mann-Whitney U 检验来评价两组间的差异:结果:在 151 名患者中,53.6% 的患者发现牙髓结石,其中 82.7% 为女性。女性性别与牙髓结石的形成有明显相关性(P = 0.001)。牙髓结石组的平均年龄为 43.9 岁,而对照组为 39.9 岁,年龄与牙髓结石之间无明显相关性(P > 0.05)。同样,各组间血清中的 PTH、维生素 D、尿酸和钙水平也无明显差异(P > 0.05):根据本研究,牙髓结石的形成应主要考虑牙科因素而非全身因素的影响。
本文章由计算机程序翻译,如有差异,请以英文原文为准。
求助全文
约1分钟内获得全文 求助全文
来源期刊
CiteScore
0.20
自引率
0.00%
发文量
35
审稿时长
12 weeks
×
引用
GB/T 7714-2015
复制
MLA
复制
APA
复制
导出至
BibTeX EndNote RefMan NoteFirst NoteExpress
×
提示
您的信息不完整,为了账户安全,请先补充。
现在去补充
×
提示
您因"违规操作"
具体请查看互助需知
我知道了
×
提示
确定
请完成安全验证×
copy
已复制链接
快去分享给好友吧!
我知道了
右上角分享
点击右上角分享
0
联系我们:info@booksci.cn Book学术提供免费学术资源搜索服务,方便国内外学者检索中英文文献。致力于提供最便捷和优质的服务体验。 Copyright © 2023 布克学术 All rights reserved.
京ICP备2023020795号-1
ghs 京公网安备 11010802042870号
Book学术文献互助
Book学术文献互助群
群 号:604180095
Book学术官方微信