Imaging finding of multiple myeloma presenting as soft-tissue disease mimicking extrapleural space tumors: A case report.

IF 1 Q4 RADIOLOGY, NUCLEAR MEDICINE & MEDICAL IMAGING
Acta radiologica open Pub Date : 2024-06-03 eCollection Date: 2024-06-01 DOI:10.1177/20584601241246105
Hee Kang
{"title":"Imaging finding of multiple myeloma presenting as soft-tissue disease mimicking extrapleural space tumors: A case report.","authors":"Hee Kang","doi":"10.1177/20584601241246105","DOIUrl":null,"url":null,"abstract":"<p><p>Extramedullary involvement of multiple myeloma is an uncommon and aggressive condition characterized by proliferation of monoclonal plasma cells located outside the bone marrow. This report describes the imaging findings of a patient who presented with continuous soft-tissue disease on the ribs, suspected as extrapleural space tumors on chest CT. The patient was diagnosed with multiple myeloma through surgical biopsy of the tumor and bone marrow.</p>","PeriodicalId":72063,"journal":{"name":"Acta radiologica open","volume":"13 6","pages":"20584601241246105"},"PeriodicalIF":1.0000,"publicationDate":"2024-06-03","publicationTypes":"Journal Article","fieldsOfStudy":null,"isOpenAccess":false,"openAccessPdf":"https://www.ncbi.nlm.nih.gov/pmc/articles/PMC11149450/pdf/","citationCount":"0","resultStr":null,"platform":"Semanticscholar","paperid":null,"PeriodicalName":"Acta radiologica open","FirstCategoryId":"1085","ListUrlMain":"https://doi.org/10.1177/20584601241246105","RegionNum":0,"RegionCategory":null,"ArticlePicture":[],"TitleCN":null,"AbstractTextCN":null,"PMCID":null,"EPubDate":"2024/6/1 0:00:00","PubModel":"eCollection","JCR":"Q4","JCRName":"RADIOLOGY, NUCLEAR MEDICINE & MEDICAL IMAGING","Score":null,"Total":0}
引用次数: 0

Abstract

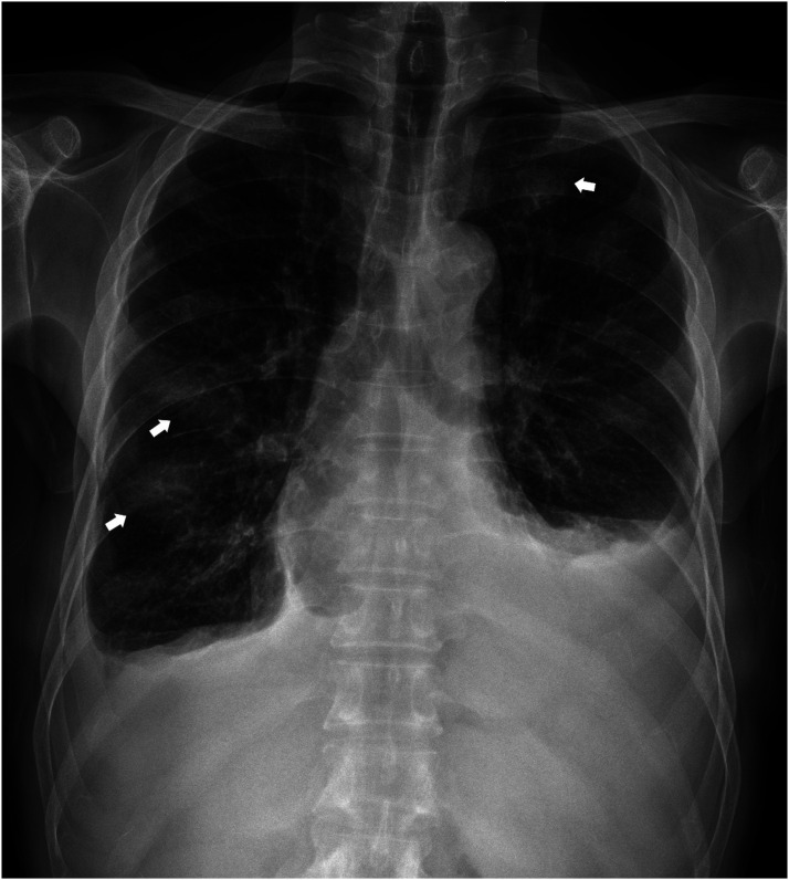
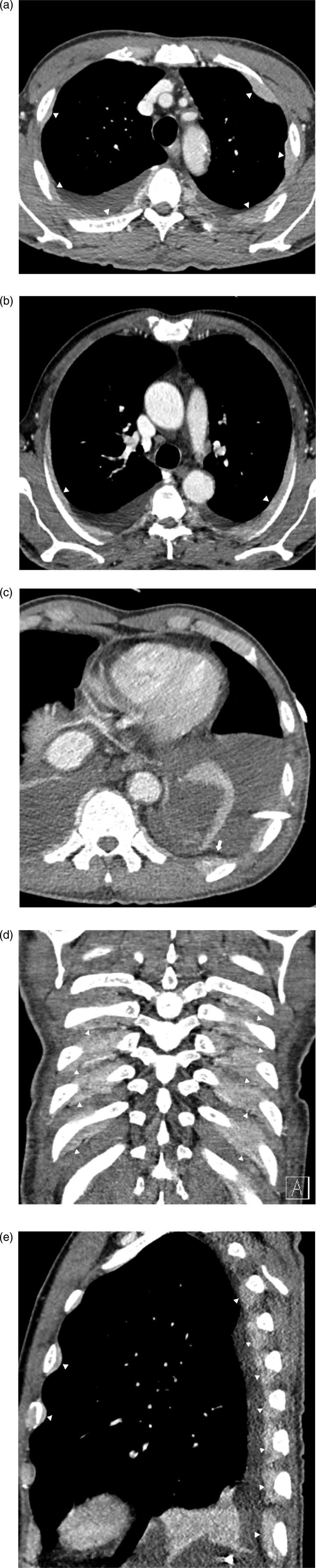
Extramedullary involvement of multiple myeloma is an uncommon and aggressive condition characterized by proliferation of monoclonal plasma cells located outside the bone marrow. This report describes the imaging findings of a patient who presented with continuous soft-tissue disease on the ribs, suspected as extrapleural space tumors on chest CT. The patient was diagnosed with multiple myeloma through surgical biopsy of the tumor and bone marrow.

Abstract Image

Abstract Image

Abstract Image

影像学发现多发性骨髓瘤表现为模仿胸膜外间隙肿瘤的软组织疾病:病例报告。
多发性骨髓瘤髓外受累是一种不常见的侵袭性疾病,其特点是位于骨髓外的单克隆浆细胞增殖。本报告描述了一名患者的影像学检查结果,该患者出现连续性肋骨软组织病变,胸部 CT 怀疑为胸膜外间隙肿瘤。通过对肿瘤和骨髓进行手术活检,患者被确诊为多发性骨髓瘤。
本文章由计算机程序翻译,如有差异,请以英文原文为准。
求助全文
约1分钟内获得全文 求助全文
来源期刊
自引率
0.00%
发文量
0
审稿时长
12 weeks
×
引用
GB/T 7714-2015
复制
MLA
复制
APA
复制
导出至
BibTeX EndNote RefMan NoteFirst NoteExpress
×
提示
您的信息不完整,为了账户安全,请先补充。
现在去补充
×
提示
您因"违规操作"
具体请查看互助需知
我知道了
×
提示
确定
请完成安全验证×
copy
已复制链接
快去分享给好友吧!
我知道了
右上角分享
点击右上角分享
0
联系我们:info@booksci.cn Book学术提供免费学术资源搜索服务,方便国内外学者检索中英文文献。致力于提供最便捷和优质的服务体验。 Copyright © 2023 布克学术 All rights reserved.
京ICP备2023020795号-1
ghs 京公网安备 11010802042870号
Book学术文献互助
Book学术文献互助群
群 号:604180095
Book学术官方微信