A Novel Complication in COVID-19 Patients: Case Report of Rectus Sheath Hematoma.

IF 0.6 Q3 MEDICINE, GENERAL & INTERNAL
Clinical Medicine Insights. Case Reports Pub Date : 2024-06-04 eCollection Date: 2024-01-01 DOI:10.1177/11795476241258888
Somaye Rezaian, Mohamad Rezaian, Ali Hosseinpour
{"title":"A Novel Complication in COVID-19 Patients: Case Report of Rectus Sheath Hematoma.","authors":"Somaye Rezaian, Mohamad Rezaian, Ali Hosseinpour","doi":"10.1177/11795476241258888","DOIUrl":null,"url":null,"abstract":"<p><p>The COVID-19 pandemic has had an enormous impact on the healthcare systems. Along with its common complications, novel complications such as Rectus Sheath Hematoma (RSH) have been reported. We present 2 cases of RSH. (A) A 63-year-old woman with a known case of COVID-19 with severe cough presented sudden tachycardia and hypogastric pain; on physical examination, a huge lower abdominal tender mass was noticed. All the differential diagnoses were ruled out. (B) A 57-year-old woman with COVID-19 started complaining of tachycardia, pain, and a mass in the lower abdomen. On the physical examination, a lower abdominal tender mass was noticed. Both of the patients underwent an abdomen CT scan which confirmed a huge RSH. Conservative treatment and cessation of anticoagulant medications were continued. Both of them recovered and no evidence of further expansion was seen after 4 weeks of follow-up.</p>","PeriodicalId":10357,"journal":{"name":"Clinical Medicine Insights. Case Reports","volume":"17 ","pages":"11795476241258888"},"PeriodicalIF":0.6000,"publicationDate":"2024-06-04","publicationTypes":"Journal Article","fieldsOfStudy":null,"isOpenAccess":false,"openAccessPdf":"https://www.ncbi.nlm.nih.gov/pmc/articles/PMC11149433/pdf/","citationCount":"0","resultStr":null,"platform":"Semanticscholar","paperid":null,"PeriodicalName":"Clinical Medicine Insights. Case Reports","FirstCategoryId":"1085","ListUrlMain":"https://doi.org/10.1177/11795476241258888","RegionNum":0,"RegionCategory":null,"ArticlePicture":[],"TitleCN":null,"AbstractTextCN":null,"PMCID":null,"EPubDate":"2024/1/1 0:00:00","PubModel":"eCollection","JCR":"Q3","JCRName":"MEDICINE, GENERAL & INTERNAL","Score":null,"Total":0}
引用次数: 0

Abstract

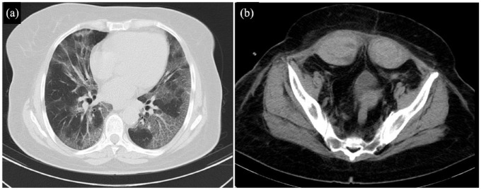
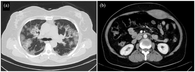
The COVID-19 pandemic has had an enormous impact on the healthcare systems. Along with its common complications, novel complications such as Rectus Sheath Hematoma (RSH) have been reported. We present 2 cases of RSH. (A) A 63-year-old woman with a known case of COVID-19 with severe cough presented sudden tachycardia and hypogastric pain; on physical examination, a huge lower abdominal tender mass was noticed. All the differential diagnoses were ruled out. (B) A 57-year-old woman with COVID-19 started complaining of tachycardia, pain, and a mass in the lower abdomen. On the physical examination, a lower abdominal tender mass was noticed. Both of the patients underwent an abdomen CT scan which confirmed a huge RSH. Conservative treatment and cessation of anticoagulant medications were continued. Both of them recovered and no evidence of further expansion was seen after 4 weeks of follow-up.

Abstract Image

Abstract Image

COVID-19 患者的新并发症:直肠鞘血肿病例报告
COVID-19 大流行对医疗系统产生了巨大影响。除常见并发症外,直肠鞘血肿(RSH)等新型并发症也有报道。我们介绍 2 例 RSH 病例。(一)一名 63 岁女性,已知患有 COVID-19 并伴有剧烈咳嗽,突然出现心动过速和胃下部疼痛;体检时发现下腹部巨大压痛性肿块。所有鉴别诊断均被排除。(B)一名患有 COVID-19 的 57 岁女性患者开始诉说心动过速、疼痛和下腹部肿块。体格检查时发现下腹部有触痛性肿块。两名患者均接受了腹部 CT 扫描,结果证实了巨大的 RSH。患者继续接受保守治疗并停用抗凝药物。随访 4 周后,两人均痊愈,未见进一步扩大的迹象。
本文章由计算机程序翻译,如有差异,请以英文原文为准。
求助全文
约1分钟内获得全文 求助全文
来源期刊
Clinical Medicine Insights. Case Reports
Clinical Medicine Insights. Case Reports MEDICINE, GENERAL & INTERNAL-
CiteScore
1.10
自引率
0.00%
发文量
57
审稿时长
8 weeks
×
引用
GB/T 7714-2015
复制
MLA
复制
APA
复制
导出至
BibTeX EndNote RefMan NoteFirst NoteExpress
×
提示
您的信息不完整,为了账户安全,请先补充。
现在去补充
×
提示
您因"违规操作"
具体请查看互助需知
我知道了
×
提示
确定
请完成安全验证×
copy
已复制链接
快去分享给好友吧!
我知道了
右上角分享
点击右上角分享
0
联系我们:info@booksci.cn Book学术提供免费学术资源搜索服务,方便国内外学者检索中英文文献。致力于提供最便捷和优质的服务体验。 Copyright © 2023 布克学术 All rights reserved.
京ICP备2023020795号-1
ghs 京公网安备 11010802042870号
Book学术文献互助
Book学术文献互助群
群 号:604180095
Book学术官方微信