Eruptive Melanocytic Nevi in the Setting of Encorafenib, Cetuximab, and Binimetinib Combination Therapy: A Case Report.

IF 0.8 Q4 DERMATOLOGY
Case Reports in Dermatology Pub Date : 2024-05-28 eCollection Date: 2024-01-01 DOI:10.1159/000539058
Karen Lam, Gregory A Gates, Daniel Q Bach, Kyle Cheng
{"title":"Eruptive Melanocytic Nevi in the Setting of Encorafenib, Cetuximab, and Binimetinib Combination Therapy: A Case Report.","authors":"Karen Lam, Gregory A Gates, Daniel Q Bach, Kyle Cheng","doi":"10.1159/000539058","DOIUrl":null,"url":null,"abstract":"<p><strong>Introduction: </strong>The development of new and changing melanocytic lesions has been increasingly reported as an adverse dermatologic toxicity of BRAF inhibitor therapy. Melanocytic lesions and melanomas induced by BRAF inhibitor therapy that lack <i>BRAF</i> V600E expression have been less commonly described. One mechanism that has been proposed for the development of BRAF inhibitor-induced melanocytic lesions, including those lacking <i>BRAF</i> V600E expression, is the paradoxical activation of the MAPK signaling pathway in <i>BRAF</i> wild-type (<i>BRAF</i><sup>WT</sup>) cells.</p><p><strong>Case presentation: </strong>Herein, we report a rare case of a 39-year-old woman who developed numerous <i>BRAF</i> V600E-negative eruptive melanocytic nevi following encorafenib, cetuximab, and binimetinib combination therapy, the current standard of care for the treatment of <i>BRAF</i>-mutant metastatic colorectal cancer.</p><p><strong>Conclusion: </strong>Patients treated with BRAF inhibitors, with or without related combination therapies, who develop <i>BRAF</i><sup>WT</sup> melanocytic lesions are at risk for developing both dysplastic nevi and melanoma, thereby warranting baseline dermatoscopic evaluation prior to the initiation of therapy as well as regular follow-up during and after treatment.</p>","PeriodicalId":9619,"journal":{"name":"Case Reports in Dermatology","volume":"16 1","pages":"133-139"},"PeriodicalIF":0.8000,"publicationDate":"2024-05-28","publicationTypes":"Journal Article","fieldsOfStudy":null,"isOpenAccess":false,"openAccessPdf":"https://www.ncbi.nlm.nih.gov/pmc/articles/PMC11147515/pdf/","citationCount":"0","resultStr":null,"platform":"Semanticscholar","paperid":null,"PeriodicalName":"Case Reports in Dermatology","FirstCategoryId":"1085","ListUrlMain":"https://doi.org/10.1159/000539058","RegionNum":0,"RegionCategory":null,"ArticlePicture":[],"TitleCN":null,"AbstractTextCN":null,"PMCID":null,"EPubDate":"2024/1/1 0:00:00","PubModel":"eCollection","JCR":"Q4","JCRName":"DERMATOLOGY","Score":null,"Total":0}
引用次数: 0

Abstract

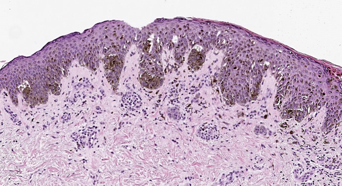
Introduction: The development of new and changing melanocytic lesions has been increasingly reported as an adverse dermatologic toxicity of BRAF inhibitor therapy. Melanocytic lesions and melanomas induced by BRAF inhibitor therapy that lack BRAF V600E expression have been less commonly described. One mechanism that has been proposed for the development of BRAF inhibitor-induced melanocytic lesions, including those lacking BRAF V600E expression, is the paradoxical activation of the MAPK signaling pathway in BRAF wild-type (BRAFWT) cells.

Case presentation: Herein, we report a rare case of a 39-year-old woman who developed numerous BRAF V600E-negative eruptive melanocytic nevi following encorafenib, cetuximab, and binimetinib combination therapy, the current standard of care for the treatment of BRAF-mutant metastatic colorectal cancer.

Conclusion: Patients treated with BRAF inhibitors, with or without related combination therapies, who develop BRAFWT melanocytic lesions are at risk for developing both dysplastic nevi and melanoma, thereby warranting baseline dermatoscopic evaluation prior to the initiation of therapy as well as regular follow-up during and after treatment.

Abstract Image

Abstract Image

Abstract Image

安可非尼、西妥昔单抗和比尼美替尼联合疗法中的爆发性黑素细胞痣:病例报告。
简介:作为 BRAF 抑制剂治疗的一种皮肤病毒性不良反应,出现新的和不断变化的黑素细胞病变的报道越来越多。由 BRAF 抑制剂治疗诱发的黑色素细胞病变和黑色素瘤缺乏 BRAF V600E 表达的描述则较少见。有人提出,BRAF 抑制剂诱导的黑色素细胞病变(包括缺乏 BRAF V600E 表达的病变)的发生机制之一是 BRAF 野生型(BRAFWT)细胞中 MAPK 信号通路的矛盾激活:在此,我们报告了一例罕见病例:一名 39 岁女性在接受安戈非尼、西妥昔单抗和替米替尼联合疗法(目前治疗 BRAF 突变转移性结直肠癌的标准疗法)治疗后,出现大量 BRAF V600E 阴性爆发性黑素细胞痣:结论:接受BRAF抑制剂治疗的患者,无论是否接受相关的联合疗法,如果出现BRAFWT黑色素细胞病变,都有可能发展为发育不良痣和黑色素瘤,因此需要在开始治疗前进行基线皮肤镜评估,并在治疗期间和治疗后进行定期随访。
本文章由计算机程序翻译,如有差异,请以英文原文为准。
求助全文
约1分钟内获得全文 求助全文
来源期刊
CiteScore
1.60
自引率
0.00%
发文量
57
审稿时长
9 weeks
×
引用
GB/T 7714-2015
复制
MLA
复制
APA
复制
导出至
BibTeX EndNote RefMan NoteFirst NoteExpress
×
提示
您的信息不完整,为了账户安全,请先补充。
现在去补充
×
提示
您因"违规操作"
具体请查看互助需知
我知道了
×
提示
确定
请完成安全验证×
copy
已复制链接
快去分享给好友吧!
我知道了
右上角分享
点击右上角分享
0
联系我们:info@booksci.cn Book学术提供免费学术资源搜索服务,方便国内外学者检索中英文文献。致力于提供最便捷和优质的服务体验。 Copyright © 2023 布克学术 All rights reserved.
京ICP备2023020795号-1
ghs 京公网安备 11010802042870号
Book学术文献互助
Book学术文献互助群
群 号:604180095
Book学术官方微信