Increase in choroidal thickness after blue light stimulation of the blind spot in young adults.

Hosein Hoseini-Yazdi, Scott A Read, Michael J Collins, Hamed Bahmani, Jens Ellrich, Tim Schilling
{"title":"Increase in choroidal thickness after blue light stimulation of the blind spot in young adults.","authors":"Hosein Hoseini-Yazdi, Scott A Read, Michael J Collins, Hamed Bahmani, Jens Ellrich, Tim Schilling","doi":"10.1186/s42234-024-00146-5","DOIUrl":null,"url":null,"abstract":"<p><strong>Background: </strong>Blue light activates melanopsin, a photopigment that is expressed in intrinsically photosensitive retinal ganglion cells (ipRGCs). The axons of ipRGCs converge on the optic disc, which corresponds to the physiological blind spot in the visual field. Thus, a blue light stimulus aligned with the blind spot captures the ipRGCs axons at the optic disc. This study examined the potential changes in choroidal thickness and axial length associated with blue light stimulation of melanopsin-expressing ipRGCs at the blind spot. It was hypothesized that blue light stimulation at the blind spot in adults increases choroidal thickness.</p><p><strong>Methods: </strong>The blind spots of both eyes of 10 emmetropes and 10 myopes, with a mean age of 28 ± 6 years (SD), were stimulated locally for 1-minute with blue flickering light with a 460 nm peak wavelength. Measurements of choroidal thickness and axial length were collected from the left eye before stimulation and over a 60-minute poststimulation period. At a similar time of day, choroidal thickness and axial length were measured under sham control condition in all participants, while a subset of 3 emmetropes and 3 myopes were measured after 1-minute of red flickering light stimulation of the blind spot with a peak wavelength of 620 nm. Linear mixed model analyses were performed to examine the light-induced changes in choroidal thickness and axial length over time and between refractive groups.</p><p><strong>Results: </strong>Compared with sham control (2 ± 1 μm, n = 20) and red light (-1 ± 2 μm, n = 6) stimulation, subfoveal choroidal thickness increased within 60 min after blue light stimulation of the blind spot (7 ± 1 μm, n = 20; main effect of light, p < 0.001). Significant choroidal thickening after blue light stimulation occurred in emmetropes (10 ± 2 μm, p < 0.001) but not in myopes (4 ± 2 μm, p > 0.05). Choroidal thickening after blue light stimulation was greater in the fovea, diminishing in the parafoveal and perifoveal regions. There was no significant main effect of light, or light by refractive error interaction on the axial length after blind spot stimulation.</p><p><strong>Conclusions: </strong>These findings demonstrate that stimulating melanopsin-expressing axons of ipRGCs at the blind spot with blue light increases choroidal thickness in young adults. This has potential implications for regulating eye growth.</p>","PeriodicalId":72363,"journal":{"name":"Bioelectronic medicine","volume":"10 1","pages":"13"},"PeriodicalIF":0.0000,"publicationDate":"2024-06-03","publicationTypes":"Journal Article","fieldsOfStudy":null,"isOpenAccess":false,"openAccessPdf":"https://www.ncbi.nlm.nih.gov/pmc/articles/PMC11145801/pdf/","citationCount":"0","resultStr":null,"platform":"Semanticscholar","paperid":null,"PeriodicalName":"Bioelectronic medicine","FirstCategoryId":"1085","ListUrlMain":"https://doi.org/10.1186/s42234-024-00146-5","RegionNum":0,"RegionCategory":null,"ArticlePicture":[],"TitleCN":null,"AbstractTextCN":null,"PMCID":null,"EPubDate":"","PubModel":"","JCR":"","JCRName":"","Score":null,"Total":0}
引用次数: 0

Abstract

Background: Blue light activates melanopsin, a photopigment that is expressed in intrinsically photosensitive retinal ganglion cells (ipRGCs). The axons of ipRGCs converge on the optic disc, which corresponds to the physiological blind spot in the visual field. Thus, a blue light stimulus aligned with the blind spot captures the ipRGCs axons at the optic disc. This study examined the potential changes in choroidal thickness and axial length associated with blue light stimulation of melanopsin-expressing ipRGCs at the blind spot. It was hypothesized that blue light stimulation at the blind spot in adults increases choroidal thickness.

Methods: The blind spots of both eyes of 10 emmetropes and 10 myopes, with a mean age of 28 ± 6 years (SD), were stimulated locally for 1-minute with blue flickering light with a 460 nm peak wavelength. Measurements of choroidal thickness and axial length were collected from the left eye before stimulation and over a 60-minute poststimulation period. At a similar time of day, choroidal thickness and axial length were measured under sham control condition in all participants, while a subset of 3 emmetropes and 3 myopes were measured after 1-minute of red flickering light stimulation of the blind spot with a peak wavelength of 620 nm. Linear mixed model analyses were performed to examine the light-induced changes in choroidal thickness and axial length over time and between refractive groups.

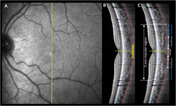
Results: Compared with sham control (2 ± 1 μm, n = 20) and red light (-1 ± 2 μm, n = 6) stimulation, subfoveal choroidal thickness increased within 60 min after blue light stimulation of the blind spot (7 ± 1 μm, n = 20; main effect of light, p < 0.001). Significant choroidal thickening after blue light stimulation occurred in emmetropes (10 ± 2 μm, p < 0.001) but not in myopes (4 ± 2 μm, p > 0.05). Choroidal thickening after blue light stimulation was greater in the fovea, diminishing in the parafoveal and perifoveal regions. There was no significant main effect of light, or light by refractive error interaction on the axial length after blind spot stimulation.

Conclusions: These findings demonstrate that stimulating melanopsin-expressing axons of ipRGCs at the blind spot with blue light increases choroidal thickness in young adults. This has potential implications for regulating eye growth.

Abstract Image

Abstract Image

Abstract Image

青壮年盲点蓝光刺激后脉络膜厚度增加。
背景:蓝光可激活黑视蛋白,黑视蛋白是一种光敏性视网膜神经节细胞(ipRGCs)中表达的光敏色素。ipRGCs的轴突汇聚在视盘上,而视盘与视野中的生理盲点相对应。因此,对准盲点的蓝光刺激会捕捉到视盘上的 ipRGCs 轴突。本研究考察了蓝光刺激盲点处表达黑色素的ipRGCs时脉络膜厚度和轴长的潜在变化。研究假设,刺激成人盲点处的蓝光会增加脉络膜厚度:方法:用峰值波长为 460 nm 的蓝色闪烁光对 10 名屈光不正者和 10 名近视者的双眼盲点进行局部刺激 1 分钟,他们的平均年龄为 28 ± 6 岁(标清)。在刺激前和刺激后的 60 分钟内,测量左眼的脉络膜厚度和轴长。在一天中相似的时间,所有参与者在假性对照条件下测量脉络膜厚度和轴长,而 3 名散光眼和 3 名近视眼则在峰值波长为 620 纳米的红色闪烁光刺激盲点 1 分钟后进行测量。通过线性混合模型分析,研究了光引起的脉络膜厚度和轴长随时间和屈光度组间的变化:结果:与假对照(2 ± 1 μm,n = 20)和红光(-1 ± 2 μm,n = 6)刺激相比,蓝光刺激盲点后 60 分钟内,眼底脉络膜厚度增加(7 ± 1 μm,n = 20;光的主效应,P 0.05)。蓝光刺激后的脉络膜增厚在眼窝处更大,在眼底旁和眼周区域则逐渐减小。在盲点刺激后,光的主效应或光与屈光不正的交互作用对轴向长度没有明显影响:这些研究结果表明,用蓝光刺激盲点处表达黑色素的ipRGCs轴突会增加年轻人的脉络膜厚度。这对调节眼球生长具有潜在的意义。
本文章由计算机程序翻译,如有差异,请以英文原文为准。
求助全文
约1分钟内获得全文 求助全文
来源期刊
CiteScore
6.90
自引率
0.00%
发文量
0
审稿时长
8 weeks
×
引用
GB/T 7714-2015
复制
MLA
复制
APA
复制
导出至
BibTeX EndNote RefMan NoteFirst NoteExpress
×
提示
您的信息不完整,为了账户安全,请先补充。
现在去补充
×
提示
您因"违规操作"
具体请查看互助需知
我知道了
×
提示
确定
请完成安全验证×
copy
已复制链接
快去分享给好友吧!
我知道了
右上角分享
点击右上角分享
0
联系我们:info@booksci.cn Book学术提供免费学术资源搜索服务,方便国内外学者检索中英文文献。致力于提供最便捷和优质的服务体验。 Copyright © 2023 布克学术 All rights reserved.
京ICP备2023020795号-1
ghs 京公网安备 11010802042870号
Book学术文献互助
Book学术文献互助群
群 号:604180095
Book学术官方微信