Targeting Oncostatin M Receptor to Attenuate Carotid Artery Plaque Vulnerability in Hypercholesterolemic Microswine.

Cardiology and cardiovascular medicine Pub Date : 2024-01-01 Epub Date: 2024-05-08 DOI:10.26502/fccm.92920380
Jerry Trinh, Jennifer Shin, Vikrant Rai, Devendra K Agrawal
{"title":"Targeting Oncostatin M Receptor to Attenuate Carotid Artery Plaque Vulnerability in Hypercholesterolemic Microswine.","authors":"Jerry Trinh, Jennifer Shin, Vikrant Rai, Devendra K Agrawal","doi":"10.26502/fccm.92920380","DOIUrl":null,"url":null,"abstract":"<p><p>Atherosclerosis is a chronic inflammatory disease that leads to acute embolism via the formation of atherosclerotic plaques. Plaque formation is first induced by fatty deposition along the arterial intima. Inflammation, bacterial infection, and the released endotoxins can lead to dysfunction and phenotypic changes of vascular smooth muscle cells (VSMCs), advancing the plaque from stable to unstable form and prone to rupture. Stable plaques are characterized by increased VSMCs and less inflammation while vulnerable plaques develop due to chronic inflammation and less VSMCs. Oncostatin M (OSM), an inflammatory cytokine, plays a role in endothelial cells and VSMC proliferation. This effect of OSM could be modulated by p27<sup>KIP1</sup>, a cyclin-dependent kinase (CDK) inhibitor. However, the role of OSM in plaque vulnerability has not been investigated. To better understand the role of OSM and its downstream signaling including p27<sup>KIP1</sup> in plaque vulnerability, we characterized the previously collected carotid arteries from hyperlipidemic Yucatan microswine using hematoxylin and eosin stain, Movat Pentachrome stain, and gene and protein expression of OSM and p27<sup>KIP1</sup> using immunostaining and real-time polymerase chain reaction. OSM and p27<sup>KIP1</sup> expression in carotid arteries with angioplasty and treatment with either scrambled peptide or LR12, an inhibitor of triggering receptor expressed on myeloid cell (TREM)-1, were compared between the experimental groups and with contralateral carotid artery. The results of this study elucidated the presence of OSM and p27<sup>KIP1</sup> in carotid arteries with plaque and their association with arterial plaque and vulnerability. The findings suggest that targeting OSM and p27<sup>KIP1</sup> axis regulating VSMC proliferation may have therapeutic significance to stabilize plaque.</p>","PeriodicalId":72523,"journal":{"name":"Cardiology and cardiovascular medicine","volume":"8 3","pages":"206-214"},"PeriodicalIF":0.0000,"publicationDate":"2024-01-01","publicationTypes":"Journal Article","fieldsOfStudy":null,"isOpenAccess":false,"openAccessPdf":"https://www.ncbi.nlm.nih.gov/pmc/articles/PMC11138392/pdf/","citationCount":"0","resultStr":null,"platform":"Semanticscholar","paperid":null,"PeriodicalName":"Cardiology and cardiovascular medicine","FirstCategoryId":"1085","ListUrlMain":"https://doi.org/10.26502/fccm.92920380","RegionNum":0,"RegionCategory":null,"ArticlePicture":[],"TitleCN":null,"AbstractTextCN":null,"PMCID":null,"EPubDate":"2024/5/8 0:00:00","PubModel":"Epub","JCR":"","JCRName":"","Score":null,"Total":0}
引用次数: 0

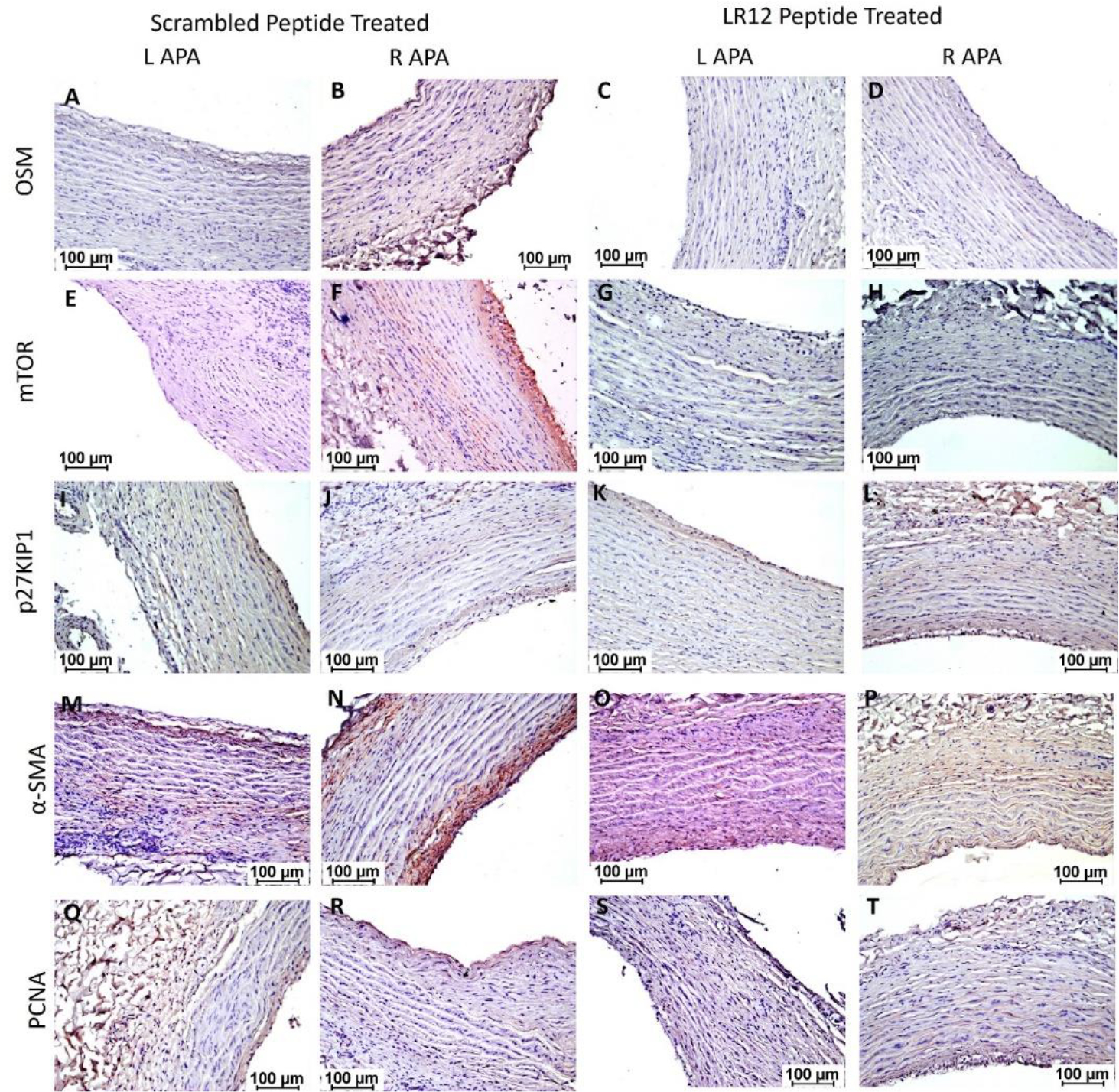
Abstract

Atherosclerosis is a chronic inflammatory disease that leads to acute embolism via the formation of atherosclerotic plaques. Plaque formation is first induced by fatty deposition along the arterial intima. Inflammation, bacterial infection, and the released endotoxins can lead to dysfunction and phenotypic changes of vascular smooth muscle cells (VSMCs), advancing the plaque from stable to unstable form and prone to rupture. Stable plaques are characterized by increased VSMCs and less inflammation while vulnerable plaques develop due to chronic inflammation and less VSMCs. Oncostatin M (OSM), an inflammatory cytokine, plays a role in endothelial cells and VSMC proliferation. This effect of OSM could be modulated by p27KIP1, a cyclin-dependent kinase (CDK) inhibitor. However, the role of OSM in plaque vulnerability has not been investigated. To better understand the role of OSM and its downstream signaling including p27KIP1 in plaque vulnerability, we characterized the previously collected carotid arteries from hyperlipidemic Yucatan microswine using hematoxylin and eosin stain, Movat Pentachrome stain, and gene and protein expression of OSM and p27KIP1 using immunostaining and real-time polymerase chain reaction. OSM and p27KIP1 expression in carotid arteries with angioplasty and treatment with either scrambled peptide or LR12, an inhibitor of triggering receptor expressed on myeloid cell (TREM)-1, were compared between the experimental groups and with contralateral carotid artery. The results of this study elucidated the presence of OSM and p27KIP1 in carotid arteries with plaque and their association with arterial plaque and vulnerability. The findings suggest that targeting OSM and p27KIP1 axis regulating VSMC proliferation may have therapeutic significance to stabilize plaque.

Abstract Image

Abstract Image

Abstract Image

靶向 Oncostatin M 受体减轻高胆固醇血症小鼠颈动脉斑块的脆弱性
动脉粥样硬化是一种慢性炎症性疾病,通过形成动脉粥样硬化斑块导致急性栓塞。斑块的形成首先是由动脉内膜的脂肪沉积引起的。炎症、细菌感染和释放的内毒素会导致血管平滑肌细胞(VSMC)功能失调和表型改变,使斑块从稳定形态变为不稳定形态,容易破裂。稳定斑块的特点是血管平滑肌细胞增加、炎症减少,而易损斑块则是由于慢性炎症和血管平滑肌细胞减少而形成的。炎性细胞因子 Oncostatin M(OSM)在内皮细胞和血管内皮细胞增殖中发挥作用。OSM的这一作用可由细胞周期蛋白依赖性激酶(CDK)抑制剂p27KIP1调节。然而,OSM 在斑块脆弱性中的作用尚未得到研究。为了更好地了解 OSM 及其下游信号转导(包括 p27KIP1)在斑块易损性中的作用,我们使用苏木精和伊红染色法、Movat 五色染色法以及免疫染色法和实时聚合酶链反应法鉴定了之前收集的高脂血症尤卡坦小鼠颈动脉。通过血管成形术和使用乱码肽或 LR12(一种髓系细胞(TREM)-1 上表达的触发受体的抑制剂)治疗,比较了实验组和对侧颈动脉中 OSM 和 p27KIP1 的表达情况。该研究结果阐明了有斑块的颈动脉中存在 OSM 和 p27KIP1,以及它们与动脉斑块和脆弱性的关联。研究结果表明,针对 OSM 和 p27KIP1 轴调节血管内皮细胞增殖可能对稳定斑块具有治疗意义。
本文章由计算机程序翻译,如有差异,请以英文原文为准。
求助全文
约1分钟内获得全文 求助全文
来源期刊
自引率
0.00%
发文量
0
×
引用
GB/T 7714-2015
复制
MLA
复制
APA
复制
导出至
BibTeX EndNote RefMan NoteFirst NoteExpress
×
提示
您的信息不完整,为了账户安全,请先补充。
现在去补充
×
提示
您因"违规操作"
具体请查看互助需知
我知道了
×
提示
确定
请完成安全验证×
copy
已复制链接
快去分享给好友吧!
我知道了
右上角分享
点击右上角分享
0
联系我们:info@booksci.cn Book学术提供免费学术资源搜索服务,方便国内外学者检索中英文文献。致力于提供最便捷和优质的服务体验。 Copyright © 2023 布克学术 All rights reserved.
京ICP备2023020795号-1
ghs 京公网安备 11010802042870号
Book学术文献互助
Book学术文献互助群
群 号:604180095
Book学术官方微信