Rare case of combined vascular malformation of the face: a successful surgical management.

IF 1.7 4区 医学 Q3 SURGERY
S Bhatt, R M Karmacharya, S Vaidya, D Prajapati, R Napit, K Chapagain, N Bhandari, A Tamang
{"title":"Rare case of combined vascular malformation of the face: a successful surgical management.","authors":"S Bhatt, R M Karmacharya, S Vaidya, D Prajapati, R Napit, K Chapagain, N Bhandari, A Tamang","doi":"10.1308/rcsann.2022.0073","DOIUrl":null,"url":null,"abstract":"<p><p>Combined vascular malformation affecting the facial region is an extremely rare clinical entity that is debilitating both functionally and emotionally. Treatment warrants a multidisciplinary approach with the aim of removing the vascular anomalies and ameliorating any functional facial disfigurement. Here, we present a case of a 40-year-old female with combined vascular malformation of the face who was treated successfully with surgical intervention accompanying significant resolution of facial disfigurement.</p>","PeriodicalId":8088,"journal":{"name":"Annals of the Royal College of Surgeons of England","volume":" ","pages":"374-377"},"PeriodicalIF":1.7000,"publicationDate":"2025-05-01","publicationTypes":"Journal Article","fieldsOfStudy":null,"isOpenAccess":false,"openAccessPdf":"https://www.ncbi.nlm.nih.gov/pmc/articles/PMC12043363/pdf/","citationCount":"0","resultStr":null,"platform":"Semanticscholar","paperid":null,"PeriodicalName":"Annals of the Royal College of Surgeons of England","FirstCategoryId":"3","ListUrlMain":"https://doi.org/10.1308/rcsann.2022.0073","RegionNum":4,"RegionCategory":"医学","ArticlePicture":[],"TitleCN":null,"AbstractTextCN":null,"PMCID":null,"EPubDate":"2024/5/30 0:00:00","PubModel":"Epub","JCR":"Q3","JCRName":"SURGERY","Score":null,"Total":0}
引用次数: 0

Abstract

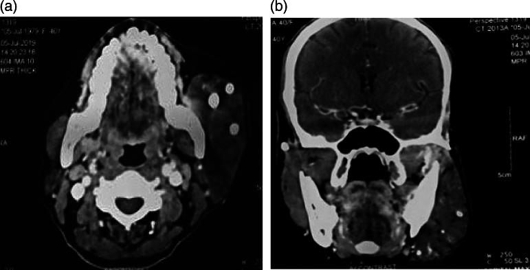
Combined vascular malformation affecting the facial region is an extremely rare clinical entity that is debilitating both functionally and emotionally. Treatment warrants a multidisciplinary approach with the aim of removing the vascular anomalies and ameliorating any functional facial disfigurement. Here, we present a case of a 40-year-old female with combined vascular malformation of the face who was treated successfully with surgical intervention accompanying significant resolution of facial disfigurement.

Abstract Image

Abstract Image

Abstract Image

面部合并血管畸形的罕见病例:成功的手术治疗。
影响面部区域的合并血管畸形是一种极为罕见的临床病症,会对患者的功能和情绪造成影响。治疗需要采用多学科方法,目的是去除血管畸形,改善面部功能性毁容。在此,我们介绍了一例 40 岁女性合并面部血管畸形患者的病例,该患者通过手术治疗成功地改善了面部毁容。
本文章由计算机程序翻译,如有差异,请以英文原文为准。
求助全文
约1分钟内获得全文 求助全文
来源期刊
CiteScore
2.40
自引率
0.00%
发文量
316
期刊介绍: The Annals of The Royal College of Surgeons of England is the official scholarly research journal of the Royal College of Surgeons and is published eight times a year in January, February, March, April, May, July, September and November. The main aim of the journal is to publish high-quality, peer-reviewed papers that relate to all branches of surgery. The Annals also includes letters and comments, a regular technical section, controversial topics, CORESS feedback and book reviews. The editorial board is composed of experts from all the surgical specialties.
×
引用
GB/T 7714-2015
复制
MLA
复制
APA
复制
导出至
BibTeX EndNote RefMan NoteFirst NoteExpress
×
提示
您的信息不完整,为了账户安全,请先补充。
现在去补充
×
提示
您因"违规操作"
具体请查看互助需知
我知道了
×
提示
确定
请完成安全验证×
copy
已复制链接
快去分享给好友吧!
我知道了
右上角分享
点击右上角分享
0
联系我们:info@booksci.cn Book学术提供免费学术资源搜索服务,方便国内外学者检索中英文文献。致力于提供最便捷和优质的服务体验。 Copyright © 2023 布克学术 All rights reserved.
京ICP备2023020795号-1
ghs 京公网安备 11010802042870号
Book学术文献互助
Book学术文献互助群
群 号:604180095
Book学术官方微信