Acute liver failure caused by lymphocyte-depleted Hodgkin lymphoma in tuberculosis and HIV-infected patient.

Q4 Medicine
Autopsy and Case Reports Pub Date : 2024-05-22 eCollection Date: 2024-01-01 DOI:10.4322/acr.2024.490
Mayur Parkhi, Madhumita Premkumar, Amanjit Bal, Ashim Das, Sanjay Jain, Suvradeep Mitra
{"title":"Acute liver failure caused by lymphocyte-depleted Hodgkin lymphoma in tuberculosis and HIV-infected patient.","authors":"Mayur Parkhi, Madhumita Premkumar, Amanjit Bal, Ashim Das, Sanjay Jain, Suvradeep Mitra","doi":"10.4322/acr.2024.490","DOIUrl":null,"url":null,"abstract":"<p><p>The lymphocyte-depleted classic Hodgkin lymphoma (LDCHL), the rarest subtype of classic Hodgkin lymphoma (CHL), is usually diagnosed at an advanced stage (stage IV) and one that unusually involves the liver, causing a rapidly progressive clinical course. We describe a 40-year-old immunocompromised man presenting with a progressive non-cholestatic jaundice and intermittent fever. The abdominal ultrasonography revealed a nodular liver with coarse echotexture and periportal hypodensities. The thoracic and abdominal contrast-enhanced computed tomography revealed right cervical and paraaortic lymphadenopathy, hepatosplenomegaly, diffuse mural thickening of duodenal and jejunal loops, and bilateral lobulated kidneys. Subsequently, he succumbed to his illness secondary to refractory septic shock. On postmortem examination, he was diagnosed with classic Hodgkin lymphoma (lymphocyte-depleted type) involving paraaortic and mediastinal lymph nodes based on morphology and immunochemistry findings. The lymphomatous process involved the liver (causing multiacinar confluent hepatic necrosis) and spleen, both showing tuberculous foci. This autopsy case depicts an uncommon case of acute liver failure due to infiltration of the liver by LDCHL in an HIV-infected patient. The findings of angiotropism and angioinvasion establish the pathological mechanism of liver failure (hepatocellular necrosis) in such cases.</p>","PeriodicalId":53117,"journal":{"name":"Autopsy and Case Reports","volume":"14 ","pages":"e2024490"},"PeriodicalIF":0.0000,"publicationDate":"2024-05-22","publicationTypes":"Journal Article","fieldsOfStudy":null,"isOpenAccess":false,"openAccessPdf":"https://www.ncbi.nlm.nih.gov/pmc/articles/PMC11129859/pdf/","citationCount":"0","resultStr":null,"platform":"Semanticscholar","paperid":null,"PeriodicalName":"Autopsy and Case Reports","FirstCategoryId":"1085","ListUrlMain":"https://doi.org/10.4322/acr.2024.490","RegionNum":0,"RegionCategory":null,"ArticlePicture":[],"TitleCN":null,"AbstractTextCN":null,"PMCID":null,"EPubDate":"2024/1/1 0:00:00","PubModel":"eCollection","JCR":"Q4","JCRName":"Medicine","Score":null,"Total":0}
引用次数: 0

Abstract

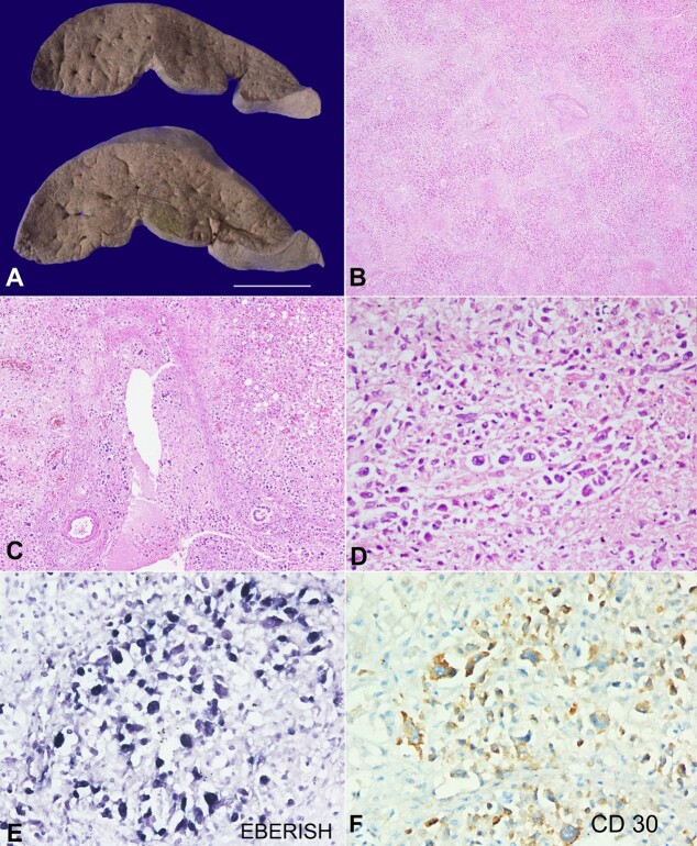
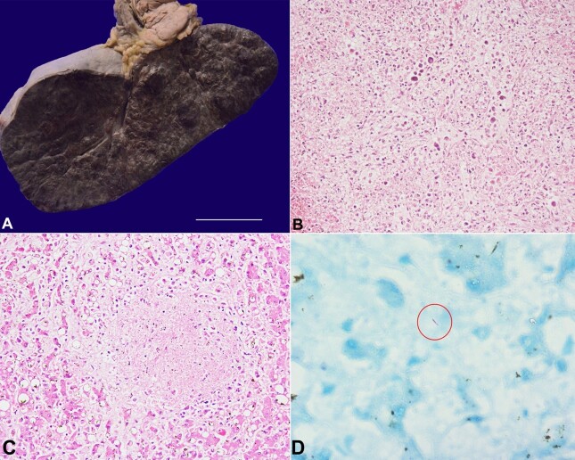
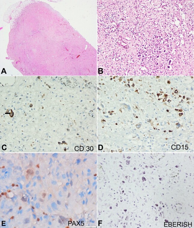
The lymphocyte-depleted classic Hodgkin lymphoma (LDCHL), the rarest subtype of classic Hodgkin lymphoma (CHL), is usually diagnosed at an advanced stage (stage IV) and one that unusually involves the liver, causing a rapidly progressive clinical course. We describe a 40-year-old immunocompromised man presenting with a progressive non-cholestatic jaundice and intermittent fever. The abdominal ultrasonography revealed a nodular liver with coarse echotexture and periportal hypodensities. The thoracic and abdominal contrast-enhanced computed tomography revealed right cervical and paraaortic lymphadenopathy, hepatosplenomegaly, diffuse mural thickening of duodenal and jejunal loops, and bilateral lobulated kidneys. Subsequently, he succumbed to his illness secondary to refractory septic shock. On postmortem examination, he was diagnosed with classic Hodgkin lymphoma (lymphocyte-depleted type) involving paraaortic and mediastinal lymph nodes based on morphology and immunochemistry findings. The lymphomatous process involved the liver (causing multiacinar confluent hepatic necrosis) and spleen, both showing tuberculous foci. This autopsy case depicts an uncommon case of acute liver failure due to infiltration of the liver by LDCHL in an HIV-infected patient. The findings of angiotropism and angioinvasion establish the pathological mechanism of liver failure (hepatocellular necrosis) in such cases.

Abstract Image

Abstract Image

Abstract Image

肺结核和艾滋病病毒感染者淋巴细胞耗竭性霍奇金淋巴瘤引起的急性肝功能衰竭。
淋巴细胞耗竭型典型霍奇金淋巴瘤(LDCHL)是典型霍奇金淋巴瘤(CHL)中最罕见的亚型,通常诊断为晚期(IV期),并且异常累及肝脏,导致临床病程迅速进展。我们描述了一名 40 岁免疫力低下的男性患者,他出现进行性非胆汁性黄疸和间歇性发热。腹部超声波检查显示肝脏呈结节状,回声纹理粗糙,肝门周围低密度。胸部和腹部对比增强计算机断层扫描显示右颈部和主动脉旁淋巴结肿大、肝脾肿大、十二指肠和空肠襻弥漫性壁层增厚以及双侧分叶状肾脏。随后,他因难治性脓毒性休克而病逝。根据形态学和免疫化学检查结果,他被诊断为典型的霍奇金淋巴瘤(淋巴细胞耗竭型),累及主动脉旁和纵隔淋巴结。淋巴瘤过程累及肝脏(导致多囊性肝坏死)和脾脏,均出现结核病灶。这例尸检病例描述了一名艾滋病病毒感染者因低密度脂蛋白胆固醇浸润肝脏而导致急性肝功能衰竭的罕见病例。血管扩张和血管侵犯的发现确定了此类病例肝衰竭(肝细胞坏死)的病理机制。
本文章由计算机程序翻译,如有差异,请以英文原文为准。
求助全文
约1分钟内获得全文 求助全文
来源期刊
Autopsy and Case Reports
Autopsy and Case Reports Medicine-Internal Medicine
CiteScore
1.20
自引率
0.00%
发文量
60
审稿时长
9 weeks
×
引用
GB/T 7714-2015
复制
MLA
复制
APA
复制
导出至
BibTeX EndNote RefMan NoteFirst NoteExpress
×
提示
您的信息不完整,为了账户安全,请先补充。
现在去补充
×
提示
您因"违规操作"
具体请查看互助需知
我知道了
×
提示
确定
请完成安全验证×
copy
已复制链接
快去分享给好友吧!
我知道了
右上角分享
点击右上角分享
0
联系我们:info@booksci.cn Book学术提供免费学术资源搜索服务,方便国内外学者检索中英文文献。致力于提供最便捷和优质的服务体验。 Copyright © 2023 布克学术 All rights reserved.
京ICP备2023020795号-1
ghs 京公网安备 11010802042870号
Book学术文献互助
Book学术文献互助群
群 号:604180095
Book学术官方微信