Sudden pediatric death unveiling pulmonary arteriovenous malformations.

Q4 Medicine
Autopsy and Case Reports Pub Date : 2024-05-22 eCollection Date: 2024-01-01 DOI:10.4322/acr.2024.489
Hadeel Abu-El-Rub, Rashed Shatnawi, Yahia I AbuZetun, Doaa Ghorab, Ali M Shotar
{"title":"Sudden pediatric death unveiling pulmonary arteriovenous malformations.","authors":"Hadeel Abu-El-Rub, Rashed Shatnawi, Yahia I AbuZetun, Doaa Ghorab, Ali M Shotar","doi":"10.4322/acr.2024.489","DOIUrl":null,"url":null,"abstract":"<p><p>Pulmonary arteriovenous malformations (PAVMs) are abnormal vascular connections between pulmonary arteries and veins, often associated with hereditary hemorrhagic telangiectasia (HHT). Most PAVMs are asymptomatic, but life-threatening complications like pulmonary hemorrhage, brain abscesses, and paradoxical emboli can emerge, so prompt diagnosis and treatment are crucial. We report a case of sudden pediatric death in a two-year-old female with no past medical history. Initial vomiting and fast deterioration resulted in a sudden cardiac arrest. The postmortem examination found histological evidence of consistent, extensive lung damage. The absence of the characteristic symptoms made for some challenges when it came to diagnosis, showing precisely that in early life, you could well have many difficulties in catching PAVMs. This case highlights the need to take PAVMs into account as a potential cause of sudden death, particularly when there are no conspicuous symptoms. Awareness among forensic pathologists and consideration of genetic analysis for HHT in such cases is crucial for accurate diagnosis and management.</p>","PeriodicalId":53117,"journal":{"name":"Autopsy and Case Reports","volume":"14 ","pages":"e2024489"},"PeriodicalIF":0.0000,"publicationDate":"2024-05-22","publicationTypes":"Journal Article","fieldsOfStudy":null,"isOpenAccess":false,"openAccessPdf":"https://www.ncbi.nlm.nih.gov/pmc/articles/PMC11129858/pdf/","citationCount":"0","resultStr":null,"platform":"Semanticscholar","paperid":null,"PeriodicalName":"Autopsy and Case Reports","FirstCategoryId":"1085","ListUrlMain":"https://doi.org/10.4322/acr.2024.489","RegionNum":0,"RegionCategory":null,"ArticlePicture":[],"TitleCN":null,"AbstractTextCN":null,"PMCID":null,"EPubDate":"2024/1/1 0:00:00","PubModel":"eCollection","JCR":"Q4","JCRName":"Medicine","Score":null,"Total":0}
引用次数: 0

Abstract

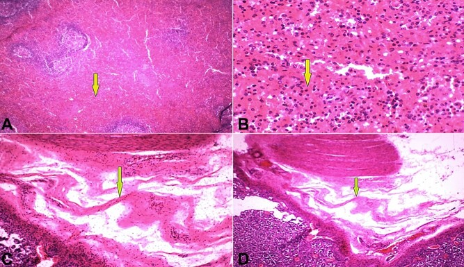
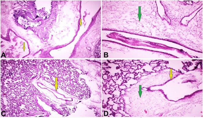
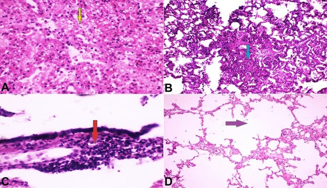
Pulmonary arteriovenous malformations (PAVMs) are abnormal vascular connections between pulmonary arteries and veins, often associated with hereditary hemorrhagic telangiectasia (HHT). Most PAVMs are asymptomatic, but life-threatening complications like pulmonary hemorrhage, brain abscesses, and paradoxical emboli can emerge, so prompt diagnosis and treatment are crucial. We report a case of sudden pediatric death in a two-year-old female with no past medical history. Initial vomiting and fast deterioration resulted in a sudden cardiac arrest. The postmortem examination found histological evidence of consistent, extensive lung damage. The absence of the characteristic symptoms made for some challenges when it came to diagnosis, showing precisely that in early life, you could well have many difficulties in catching PAVMs. This case highlights the need to take PAVMs into account as a potential cause of sudden death, particularly when there are no conspicuous symptoms. Awareness among forensic pathologists and consideration of genetic analysis for HHT in such cases is crucial for accurate diagnosis and management.

Abstract Image

Abstract Image

Abstract Image

小儿猝死揭秘肺动静脉畸形
肺动静脉畸形(PAVM)是肺动脉和静脉之间的异常血管连接,通常与遗传性出血性毛细血管扩张症(HHT)有关。大多数 PAVM 无症状,但也可能出现肺出血、脑脓肿和矛盾性栓塞等危及生命的并发症,因此及时诊断和治疗至关重要。我们报告了一例儿童猝死病例,患者是一名两岁女童,既往无病史。最初的呕吐和病情迅速恶化导致心脏骤停。尸检发现,组织学证据显示肺部有持续、广泛的损伤。由于没有特征性症状,因此在诊断时遇到了一些困难,这也恰恰说明,在生命早期,很难发现 PAVM。这个病例突出表明,有必要将 PAVM 作为猝死的一个潜在原因加以考虑,尤其是在没有明显症状的情况下。提高法医病理学家的认识,并考虑对此类病例进行 HHT 遗传分析,对于准确诊断和处理至关重要。
本文章由计算机程序翻译,如有差异,请以英文原文为准。
求助全文
约1分钟内获得全文 求助全文
来源期刊
Autopsy and Case Reports
Autopsy and Case Reports Medicine-Internal Medicine
CiteScore
1.20
自引率
0.00%
发文量
60
审稿时长
9 weeks
×
引用
GB/T 7714-2015
复制
MLA
复制
APA
复制
导出至
BibTeX EndNote RefMan NoteFirst NoteExpress
×
提示
您的信息不完整,为了账户安全,请先补充。
现在去补充
×
提示
您因"违规操作"
具体请查看互助需知
我知道了
×
提示
确定
请完成安全验证×
copy
已复制链接
快去分享给好友吧!
我知道了
右上角分享
点击右上角分享
0
联系我们:info@booksci.cn Book学术提供免费学术资源搜索服务,方便国内外学者检索中英文文献。致力于提供最便捷和优质的服务体验。 Copyright © 2023 布克学术 All rights reserved.
京ICP备2023020795号-1
ghs 京公网安备 11010802042870号
Book学术文献互助
Book学术文献互助群
群 号:604180095
Book学术官方微信