Case report: persistent double dorsal aorta.

IF 1 Q4 PERIPHERAL VASCULAR DISEASE
Jornal Vascular Brasileiro Pub Date : 2024-05-10 eCollection Date: 2024-01-01 DOI:10.1590/1677-5449.202301502
Paulo Henrique Alves Togni, Ernani Alves de Oliveira, Eduardo Milani Mora, Paulo Eduardo Borher Moreira, Bruno Previdelli Coghi, Guilherme Augusto Paro
{"title":"Case report: persistent double dorsal aorta.","authors":"Paulo Henrique Alves Togni, Ernani Alves de Oliveira, Eduardo Milani Mora, Paulo Eduardo Borher Moreira, Bruno Previdelli Coghi, Guilherme Augusto Paro","doi":"10.1590/1677-5449.202301502","DOIUrl":null,"url":null,"abstract":"<p><p>Persistent double dorsal aorta is an extremely rare congenital anomaly, with only 13 cases published to date. The objective of this study is to present this embryological variant as observed in the abdominal aorta of a patient. The anatomical description was written up on the basis of a review of electronic medical records and imaging exams. The patient in this case was an elderly 79-year-old man who presented at emergency with pain at rest in the left lower limb. He was admitted and laboratory tests and imaging exams were ordered. The variation was an imaging finding observed on angiotomography, consisting of complete separation of the abdominal aorta into two portions - a ventral and a dorsal, with different calibers - at the level of the third lumbar vertebra. There was also an anomalous origin of the inferior mesenteric artery.</p>","PeriodicalId":14814,"journal":{"name":"Jornal Vascular Brasileiro","volume":"23 ","pages":"e20230150"},"PeriodicalIF":1.0000,"publicationDate":"2024-05-10","publicationTypes":"Journal Article","fieldsOfStudy":null,"isOpenAccess":false,"openAccessPdf":"https://www.ncbi.nlm.nih.gov/pmc/articles/PMC11129854/pdf/","citationCount":"0","resultStr":null,"platform":"Semanticscholar","paperid":null,"PeriodicalName":"Jornal Vascular Brasileiro","FirstCategoryId":"1085","ListUrlMain":"https://doi.org/10.1590/1677-5449.202301502","RegionNum":0,"RegionCategory":null,"ArticlePicture":[],"TitleCN":null,"AbstractTextCN":null,"PMCID":null,"EPubDate":"2024/1/1 0:00:00","PubModel":"eCollection","JCR":"Q4","JCRName":"PERIPHERAL VASCULAR DISEASE","Score":null,"Total":0}
引用次数: 0

Abstract

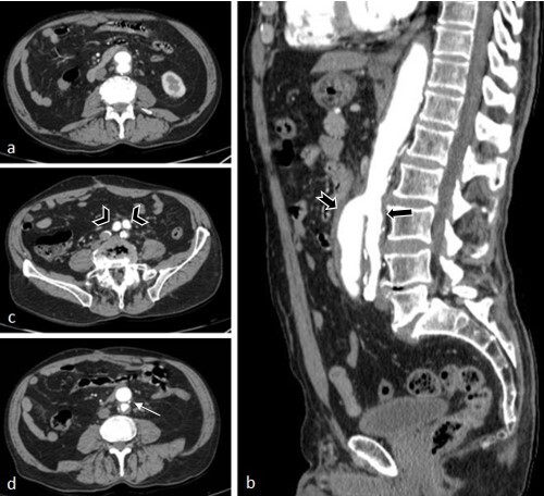
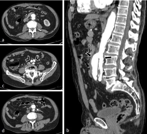
Persistent double dorsal aorta is an extremely rare congenital anomaly, with only 13 cases published to date. The objective of this study is to present this embryological variant as observed in the abdominal aorta of a patient. The anatomical description was written up on the basis of a review of electronic medical records and imaging exams. The patient in this case was an elderly 79-year-old man who presented at emergency with pain at rest in the left lower limb. He was admitted and laboratory tests and imaging exams were ordered. The variation was an imaging finding observed on angiotomography, consisting of complete separation of the abdominal aorta into two portions - a ventral and a dorsal, with different calibers - at the level of the third lumbar vertebra. There was also an anomalous origin of the inferior mesenteric artery.

Abstract Image

Abstract Image

Abstract Image

病例报告:持续性双背主动脉。
持续性双腹主动脉是一种极其罕见的先天性异常,迄今为止仅发表过 13 例。本研究旨在介绍在一名患者腹主动脉中观察到的这种胚胎变异。解剖学描述是在查阅电子病历和影像学检查的基础上撰写的。该病例的患者是一名 79 岁的老人,因左下肢静止时疼痛而急诊就诊。他被收治入院,并接受了实验室检查和影像学检查。在血管造影术中观察到腹主动脉完全分离成两部分--腹侧和背侧,口径不同。肠系膜下动脉的起源也不正常。
本文章由计算机程序翻译,如有差异,请以英文原文为准。
求助全文
约1分钟内获得全文 求助全文
来源期刊
Jornal Vascular Brasileiro
Jornal Vascular Brasileiro Medicine-Cardiology and Cardiovascular Medicine
CiteScore
1.20
自引率
0.00%
发文量
57
审稿时长
20 weeks
期刊介绍: The Jornal Vascular Brasileiro is editated and published quaterly to select and disseminate high-quality scientific contents concerning original research, novel surgical and diagnostic techniques, and clinical observations in the field of vascular surgery, angiology, and endovascular surgery. Its abbreviated title is J. Vasc. Bras., which should be used in bibliographies, footnotes and bibliographical references and strips.
×
引用
GB/T 7714-2015
复制
MLA
复制
APA
复制
导出至
BibTeX EndNote RefMan NoteFirst NoteExpress
×
提示
您的信息不完整,为了账户安全,请先补充。
现在去补充
×
提示
您因"违规操作"
具体请查看互助需知
我知道了
×
提示
确定
请完成安全验证×
copy
已复制链接
快去分享给好友吧!
我知道了
右上角分享
点击右上角分享
0
联系我们:info@booksci.cn Book学术提供免费学术资源搜索服务,方便国内外学者检索中英文文献。致力于提供最便捷和优质的服务体验。 Copyright © 2023 布克学术 All rights reserved.
京ICP备2023020795号-1
ghs 京公网安备 11010802042870号
Book学术文献互助
Book学术文献互助群
群 号:604180095
Book学术官方微信