Immunohistochemical evaluation of Glut1 in dentigerous cysts, odontogenic keratocysts, and ameloblastoma.

Q3 Medicine
K Deepika, N Govind Raj Kumar, A Sudarshan Kumar, Roja Lakshmi Karri
{"title":"Immunohistochemical evaluation of Glut1 in dentigerous cysts, odontogenic keratocysts, and ameloblastoma.","authors":"K Deepika, N Govind Raj Kumar, A Sudarshan Kumar, Roja Lakshmi Karri","doi":"10.4103/jomfp.jomfp_455_23","DOIUrl":null,"url":null,"abstract":"<p><strong>Context: </strong>Glucose uptake may be considered the rate-limiting step for the growth and metabolism of the cancer cell. Studies on GLUT1 have shown that GLUT1 is involved in cell survival and proliferation in both healthy and pathological circumstances. GLUT1 expression is regarded as one of the crucial elements in the development of local aggressiveness, tumour invasiveness, and metastasis, particularly in malignant tumours. The role of glut1 in odontogenic cysts and tumours has remained uncertain.</p><p><strong>Aim: </strong>The aim of the study is to assess the expression of Glut1 in dentigerous cysts, odontogenic keratocysts, and ameloblastoma.</p><p><strong>Settings and design: </strong>The study was conducted in GSL Dental College. The study design was a resprospective immunohistochemical study.</p><p><strong>Methods and material: </strong>Formalin-fixed, paraffin-embedded blocks of histologically confirmed cases (n = 50), 10 cases of odontogenic keratocysts, dentigerous cysts, ameloblastomas solid, ameloblastomas unicystic, and dental follicles each. Brown colour staining was considered as positive staining for GLUT1. Quantitative analysis was performed by counting the number of labelled cells, and semi-quantitative analysis was conducted by assigning immunostaining intensity scores.</p><p><strong>Statistical analysis: </strong>Chi-square test was used to compare differences between the groups. A <i>P</i> value of ≤0.05 was considered as statistically significant.</p><p><strong>Results: </strong>Odontogenic keratocysts and unicystic ameloblastoma showed ≥50% of label cells with strong intensity of staining. Odontogenic keratocysts and solid ameloblastoma showed sub-cellular localisation of staining in the cytoplasm and membrane. Dentigerous cysts exhibited combined nucleus, cytoplasm, and membrane sub-cellular localisation of staining.</p><p><strong>Conclusions: </strong>The development of ameloblastomas, odontogenic keratocysts, and dentigerous cysts appears to be influenced by GLUT-1. Variation in its expression may aid in explanation of some of the differences in biological activity of these lesions.</p>","PeriodicalId":38846,"journal":{"name":"Journal of Oral and Maxillofacial Pathology","volume":"28 1","pages":"77-83"},"PeriodicalIF":0.0000,"publicationDate":"2024-01-01","publicationTypes":"Journal Article","fieldsOfStudy":null,"isOpenAccess":false,"openAccessPdf":"https://www.ncbi.nlm.nih.gov/pmc/articles/PMC11126251/pdf/","citationCount":"0","resultStr":null,"platform":"Semanticscholar","paperid":null,"PeriodicalName":"Journal of Oral and Maxillofacial Pathology","FirstCategoryId":"1085","ListUrlMain":"https://doi.org/10.4103/jomfp.jomfp_455_23","RegionNum":0,"RegionCategory":null,"ArticlePicture":[],"TitleCN":null,"AbstractTextCN":null,"PMCID":null,"EPubDate":"2024/4/15 0:00:00","PubModel":"Epub","JCR":"Q3","JCRName":"Medicine","Score":null,"Total":0}
引用次数: 0

Abstract

Context: Glucose uptake may be considered the rate-limiting step for the growth and metabolism of the cancer cell. Studies on GLUT1 have shown that GLUT1 is involved in cell survival and proliferation in both healthy and pathological circumstances. GLUT1 expression is regarded as one of the crucial elements in the development of local aggressiveness, tumour invasiveness, and metastasis, particularly in malignant tumours. The role of glut1 in odontogenic cysts and tumours has remained uncertain.

Aim: The aim of the study is to assess the expression of Glut1 in dentigerous cysts, odontogenic keratocysts, and ameloblastoma.

Settings and design: The study was conducted in GSL Dental College. The study design was a resprospective immunohistochemical study.

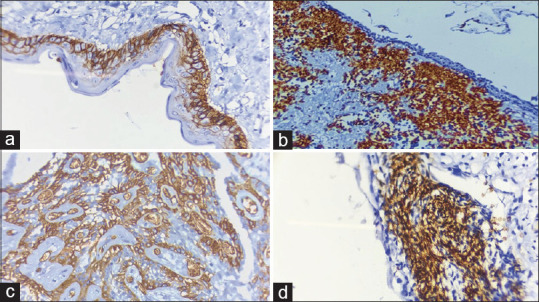
Methods and material: Formalin-fixed, paraffin-embedded blocks of histologically confirmed cases (n = 50), 10 cases of odontogenic keratocysts, dentigerous cysts, ameloblastomas solid, ameloblastomas unicystic, and dental follicles each. Brown colour staining was considered as positive staining for GLUT1. Quantitative analysis was performed by counting the number of labelled cells, and semi-quantitative analysis was conducted by assigning immunostaining intensity scores.

Statistical analysis: Chi-square test was used to compare differences between the groups. A P value of ≤0.05 was considered as statistically significant.

Results: Odontogenic keratocysts and unicystic ameloblastoma showed ≥50% of label cells with strong intensity of staining. Odontogenic keratocysts and solid ameloblastoma showed sub-cellular localisation of staining in the cytoplasm and membrane. Dentigerous cysts exhibited combined nucleus, cytoplasm, and membrane sub-cellular localisation of staining.

Conclusions: The development of ameloblastomas, odontogenic keratocysts, and dentigerous cysts appears to be influenced by GLUT-1. Variation in its expression may aid in explanation of some of the differences in biological activity of these lesions.

Abstract Image

牙源性囊肿、牙源性角化囊肿和牙釉质母细胞瘤中 Glut1 的免疫组化评估。
背景:葡萄糖摄取可被视为癌细胞生长和新陈代谢的限速步骤。对 GLUT1 的研究表明,在健康和病理情况下,GLUT1 都参与细胞的存活和增殖。GLUT1 的表达被认为是局部侵袭性、肿瘤侵袭性和转移性发展的关键因素之一,尤其是在恶性肿瘤中。目的:该研究旨在评估 Glut1 在牙源性囊肿、牙源性角化囊肿和牙釉质母细胞瘤中的表达:研究在 GSL 牙科学院进行。研究设计为回顾性免疫组化研究:组织学确诊病例(n = 50)的福尔马林固定、石蜡包埋块,牙源性角化囊肿、牙源性囊肿、实性釉母细胞瘤、单囊性釉母细胞瘤和牙泡各 10 例。棕色染色为 GLUT1 阳性染色。定量分析通过计算标记细胞的数量进行,半定量分析通过对免疫染色强度评分进行:统计分析:采用卡方检验比较组间差异。P值≤0.05为差异有统计学意义:结果:牙源性角囊肿和单囊性釉母细胞瘤的标记细胞≥50%,染色强度较强。牙源性角化囊肿和实性釉母细胞瘤显示染色在细胞质和细胞膜的亚细胞定位。牙源性囊肿则表现出细胞核、细胞质和细胞膜亚细胞联合定位染色:结论:釉母细胞瘤、牙源性角化囊肿和牙源性囊肿的发展似乎受 GLUT-1 的影响。GLUT-1的表达差异可能有助于解释这些病变在生物活性上的一些差异。
本文章由计算机程序翻译,如有差异,请以英文原文为准。
求助全文
约1分钟内获得全文 求助全文
来源期刊
Journal of Oral and Maxillofacial Pathology
Journal of Oral and Maxillofacial Pathology Medicine-Otorhinolaryngology
CiteScore
1.40
自引率
0.00%
发文量
115
期刊介绍: The journal of Oral and Maxillofacial Pathology [ISSN:print-(0973-029X, online-1998-393X)] is a tri-annual journal published on behalf of “The Indian Association of Oral and Maxillofacial Pathologists” (IAOMP). The publication of JOMFP was started in the year 1993. The journal publishes papers on a wide spectrum of topics associated with the scope of Oral and Maxillofacial Pathology, also, ensuring scientific merit and quality. It is a comprehensive reading material for the professionals who want to upgrade their diagnostic skills in Oral Diseases; allows exposure to newer topics and methods of research in the Oral-facial Tissues and Pathology. New features allow an open minded thinking and approach to various pathologies. It also encourages authors to showcase quality work done by them and to compile relevant cases which are diagnostically challenging. The Journal takes pride in maintaining the quality of articles and photomicrographs.
×
引用
GB/T 7714-2015
复制
MLA
复制
APA
复制
导出至
BibTeX EndNote RefMan NoteFirst NoteExpress
×
提示
您的信息不完整,为了账户安全,请先补充。
现在去补充
×
提示
您因"违规操作"
具体请查看互助需知
我知道了
×
提示
确定
请完成安全验证×
copy
已复制链接
快去分享给好友吧!
我知道了
右上角分享
点击右上角分享
0
联系我们:info@booksci.cn Book学术提供免费学术资源搜索服务,方便国内外学者检索中英文文献。致力于提供最便捷和优质的服务体验。 Copyright © 2023 布克学术 All rights reserved.
京ICP备2023020795号-1
ghs 京公网安备 11010802042870号
Book学术文献互助
Book学术文献互助群
群 号:604180095
Book学术官方微信