The first record of Heterakis gallinarum as a cause of fatal nodular typhlitis in golden pheasants (Chrysolophus pictus) in India.

IF 1 4区 农林科学 Q3 VETERINARY SCIENCES
M Sharma, M Asok Kumar, M Karikalan, A T Faslu Rahman, M Vivek Srinivas, H Ram, A M Pawde, U Shukla, B M Yadav, K Dhama, G Saikumar
{"title":"The first record of <i>Heterakis gallinarum</i> as a cause of fatal nodular typhlitis in golden pheasants (<i>Chrysolophus pictus</i>) in India.","authors":"M Sharma, M Asok Kumar, M Karikalan, A T Faslu Rahman, M Vivek Srinivas, H Ram, A M Pawde, U Shukla, B M Yadav, K Dhama, G Saikumar","doi":"10.22099/IJVR.2023.48517.7085","DOIUrl":null,"url":null,"abstract":"<p><strong>Background: </strong>Heterakidosis is one of the most prevalent parasitic diseases in birds, the caecae of a variety of wild and domestic birds are infected with these nematodes. In pheasants, nodular typhlitis is a lethal disease caused mainly by infection with Heterakis isolonche alone or in conjunction with Heterakis gallinarum. <i>H. gallinarum</i> has long been recognized to infect birds with low pathogenicity, with only a few fatal cases previously reported.</p><p><strong>Case description: </strong>This paper describes a case of fatal nodular typhlitis due to H. gallinarum in a male and female pair of adult golden pheasants (Chrysolophus pictus) from a zoological garden in Uttar Pradesh, India.</p><p><strong>Findings/treatment and outcome: </strong>The caecum had multiple serosal and mucosal nodules, the majority of which were found to contain various stages of parasites embedded in the center along with the free forms in the caecal contents. Histopathologically, these nodules were generally represented by granulomas centered on necrotic parasite debris, with the occasional reactive fibrous hyperplastic tissue reaction. Based on the morphology and nematode-specific internal transcribed spacer (ITS) ITS1-5.8 rRNA-ITS2 region-based PCR, the nematode was identified as H. gallinarum. The presence of H. gallinarum was further confirmed by sequencing the ITS region followed by phylogenetic analysis. According to the author's best knowledge, this is the first instance of H. gallinarum being linked to nodular typhlitis in pheasants in India.</p><p><strong>Conclusion: </strong>Our findings confirm that H. gallinarum<i>, other than</i> H. isolonche<i>,</i> can induce severe nodular typhlitis with a fatal outcome in pheasants.</p>","PeriodicalId":14629,"journal":{"name":"Iranian journal of veterinary research","volume":"24 4","pages":"369-373"},"PeriodicalIF":1.0000,"publicationDate":"2023-01-01","publicationTypes":"Journal Article","fieldsOfStudy":null,"isOpenAccess":false,"openAccessPdf":"https://www.ncbi.nlm.nih.gov/pmc/articles/PMC11127738/pdf/","citationCount":"0","resultStr":null,"platform":"Semanticscholar","paperid":null,"PeriodicalName":"Iranian journal of veterinary research","FirstCategoryId":"97","ListUrlMain":"https://doi.org/10.22099/IJVR.2023.48517.7085","RegionNum":4,"RegionCategory":"农林科学","ArticlePicture":[],"TitleCN":null,"AbstractTextCN":null,"PMCID":null,"EPubDate":"","PubModel":"","JCR":"Q3","JCRName":"VETERINARY SCIENCES","Score":null,"Total":0}
引用次数: 0

Abstract

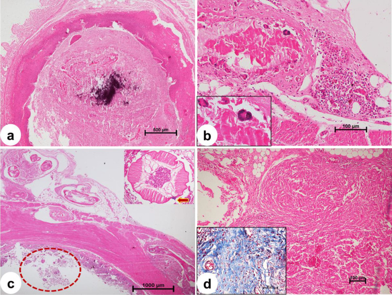
Background: Heterakidosis is one of the most prevalent parasitic diseases in birds, the caecae of a variety of wild and domestic birds are infected with these nematodes. In pheasants, nodular typhlitis is a lethal disease caused mainly by infection with Heterakis isolonche alone or in conjunction with Heterakis gallinarum. H. gallinarum has long been recognized to infect birds with low pathogenicity, with only a few fatal cases previously reported.

Case description: This paper describes a case of fatal nodular typhlitis due to H. gallinarum in a male and female pair of adult golden pheasants (Chrysolophus pictus) from a zoological garden in Uttar Pradesh, India.

Findings/treatment and outcome: The caecum had multiple serosal and mucosal nodules, the majority of which were found to contain various stages of parasites embedded in the center along with the free forms in the caecal contents. Histopathologically, these nodules were generally represented by granulomas centered on necrotic parasite debris, with the occasional reactive fibrous hyperplastic tissue reaction. Based on the morphology and nematode-specific internal transcribed spacer (ITS) ITS1-5.8 rRNA-ITS2 region-based PCR, the nematode was identified as H. gallinarum. The presence of H. gallinarum was further confirmed by sequencing the ITS region followed by phylogenetic analysis. According to the author's best knowledge, this is the first instance of H. gallinarum being linked to nodular typhlitis in pheasants in India.

Conclusion: Our findings confirm that H. gallinarum, other than H. isolonche, can induce severe nodular typhlitis with a fatal outcome in pheasants.

Abstract Image

Abstract Image

Abstract Image

印度首次记录到 Heterakis gallinarum 是金鸡(Chrysolophus pictus)致命结节性斑疹伤寒的病因。
背景:异尖线虫病是鸟类最常见的寄生虫病之一,各种野生和家养鸟类的盲肠都会感染这种线虫。在雉鸡中,结节性斑疹伤寒是一种致死性疾病,主要由单独感染或与五倍子异尖线虫(Heterakis isolonche)混合感染引起。长期以来,人们一直认为H. gallinarum感染鸟类的致病性较低,此前仅有少数致死病例的报道:本文描述了印度北方邦动物园中一对成年金鸡(Chrysolophus pictus)雌雄因 H. gallinarum 感染结节性斑疹伤寒而死亡的病例:盲肠上有多个血清和粘膜结节,其中大部分结节的中心嵌有不同阶段的寄生虫,盲肠内容物中也有游离的寄生虫。从组织病理学角度看,这些结节一般是以坏死的寄生虫碎屑为中心的肉芽肿,偶尔会出现反应性纤维增生组织反应。根据形态学和线虫特异性内部转录间隔(ITS)ITS1-5.8 rRNA-ITS2 区域聚合酶链式反应,确定该线虫为 H. gallinarum。通过对 ITS 区域进行测序和系统进化分析,进一步确认了 H. gallinarum 的存在。据作者所知,这是印度首次将 H. gallinarum 与雉鸡结节性斑疹伤寒联系起来:我们的研究结果证实,除 isolonche H. 外,H. gallinarum 也能诱发严重的结节性斑疹伤寒,并导致雉鸡死亡。
本文章由计算机程序翻译,如有差异,请以英文原文为准。
求助全文
约1分钟内获得全文 求助全文
来源期刊
CiteScore
1.70
自引率
8.30%
发文量
10
期刊介绍: The Iranian Journal of Veterinary Research(IJVR) is published quarterly in 4 issues. The aims of this journal are to improve and expand knowledge in all veterinary fields. It is an international journal indexed by the Thomson Institute for Scientific Information (ISI), Elsevier, Scopus, CAB International, Veterinary Bulletin and several other international databases. Research papers and reports on a wide range of veterinary topics are published in the journal after being evaluated by expert reviewers.The Editor-in-Chief is responsible for the editorial content of the journal—including peer-reviewed manuscripts—and the timing of its publication.
×
引用
GB/T 7714-2015
复制
MLA
复制
APA
复制
导出至
BibTeX EndNote RefMan NoteFirst NoteExpress
×
提示
您的信息不完整,为了账户安全,请先补充。
现在去补充
×
提示
您因"违规操作"
具体请查看互助需知
我知道了
×
提示
确定
请完成安全验证×
copy
已复制链接
快去分享给好友吧!
我知道了
右上角分享
点击右上角分享
0
联系我们:info@booksci.cn Book学术提供免费学术资源搜索服务,方便国内外学者检索中英文文献。致力于提供最便捷和优质的服务体验。 Copyright © 2023 布克学术 All rights reserved.
京ICP备2023020795号-1
ghs 京公网安备 11010802042870号
Book学术文献互助
Book学术文献互助群
群 号:604180095
Book学术官方微信