Sarcocystosis among buffaloes from slaughterhouses in Nile Delta, Egypt: morphologic assessment and molecular confirmation.

IF 1 4区 农林科学 Q3 VETERINARY SCIENCES
M El-Sayad, H El-Taweel, A Ahmed, N Abd El-Latif
{"title":"Sarcocystosis among buffaloes from slaughterhouses in Nile Delta, Egypt: morphologic assessment and molecular confirmation.","authors":"M El-Sayad, H El-Taweel, A Ahmed, N Abd El-Latif","doi":"10.22099/IJVR.2023.48129.7006","DOIUrl":null,"url":null,"abstract":"<p><strong>Background: </strong><i>Sarcocystis</i> species are coccidian protozoan zoonotic parasites of the phylum Apicomplexa. There is a large diversity of <i>Sarcocystis</i> species. Some of them are pathogenic and dangerous to humans, domestic, and wild animals. Cattle are common intermediate hosts. The infection of meat with different species of <i>Sarcocystis</i> can be serious for public health.</p><p><strong>Aims: </strong>The current study aimed to determine the prevalence of sarcocystosis in slaughtered buffaloes in Tanta city abattoirs, Nile Delta, Egypt.</p><p><strong>Methods: </strong>Morphological and histological examinations and a molecular study were undertaken. A total of 517 locally bred buffaloes were slaughtered in Tanta city, Egypt. Each buffalo carcass was visually inspected for the presence of <i>Sarcocystis</i> macrocysts. Fifty tissue samples containing suspected cysts were examined by using different techniques including histology, transmission electron microscope (TEM), and PCR.</p><p><strong>Results: </strong>By visual inspection, the overall prevalence of suspected sarcocystosis was 26.5%. The highest infection rate was detected visually from the esophagus followed by skeletal muscles and diaphragm whereas the least was recorded in the tongue. Histological and TEM examination showed that the cysts were packed with bradyzoites separated by multiple septa. 100% of the sarcocysts diagnosed visually in the esophagus and muscles were confirmed by PCR, compared to only 25% of those detected in the tongue.</p><p><strong>Conclusion: </strong>These results highlight the high prevalence of sarcocystosis among buffaloes in Egypt, possibly due to widespread environmental contamination by <i>Sarcocystis</i> oocysts. The use of molecular methods should be encouraged to confirm the identity of the suspected cysts.</p>","PeriodicalId":14629,"journal":{"name":"Iranian journal of veterinary research","volume":"24 4","pages":"313-319"},"PeriodicalIF":1.0000,"publicationDate":"2023-01-01","publicationTypes":"Journal Article","fieldsOfStudy":null,"isOpenAccess":false,"openAccessPdf":"https://www.ncbi.nlm.nih.gov/pmc/articles/PMC11127730/pdf/","citationCount":"0","resultStr":null,"platform":"Semanticscholar","paperid":null,"PeriodicalName":"Iranian journal of veterinary research","FirstCategoryId":"97","ListUrlMain":"https://doi.org/10.22099/IJVR.2023.48129.7006","RegionNum":4,"RegionCategory":"农林科学","ArticlePicture":[],"TitleCN":null,"AbstractTextCN":null,"PMCID":null,"EPubDate":"","PubModel":"","JCR":"Q3","JCRName":"VETERINARY SCIENCES","Score":null,"Total":0}
引用次数: 0

Abstract

Background: Sarcocystis species are coccidian protozoan zoonotic parasites of the phylum Apicomplexa. There is a large diversity of Sarcocystis species. Some of them are pathogenic and dangerous to humans, domestic, and wild animals. Cattle are common intermediate hosts. The infection of meat with different species of Sarcocystis can be serious for public health.

Aims: The current study aimed to determine the prevalence of sarcocystosis in slaughtered buffaloes in Tanta city abattoirs, Nile Delta, Egypt.

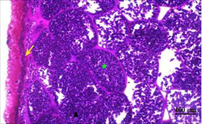
Methods: Morphological and histological examinations and a molecular study were undertaken. A total of 517 locally bred buffaloes were slaughtered in Tanta city, Egypt. Each buffalo carcass was visually inspected for the presence of Sarcocystis macrocysts. Fifty tissue samples containing suspected cysts were examined by using different techniques including histology, transmission electron microscope (TEM), and PCR.

Results: By visual inspection, the overall prevalence of suspected sarcocystosis was 26.5%. The highest infection rate was detected visually from the esophagus followed by skeletal muscles and diaphragm whereas the least was recorded in the tongue. Histological and TEM examination showed that the cysts were packed with bradyzoites separated by multiple septa. 100% of the sarcocysts diagnosed visually in the esophagus and muscles were confirmed by PCR, compared to only 25% of those detected in the tongue.

Conclusion: These results highlight the high prevalence of sarcocystosis among buffaloes in Egypt, possibly due to widespread environmental contamination by Sarcocystis oocysts. The use of molecular methods should be encouraged to confirm the identity of the suspected cysts.

Abstract Image

Abstract Image

Abstract Image

埃及尼罗河三角洲屠宰场水牛的沙眼囊肿病:形态学评估和分子确证。
背景:沙眼衣原体(Sarcocystis)是原生动物门(Apicomplexa)的球虫类人畜共生寄生虫。沙眼衣原体种类繁多。其中一些对人类、家畜和野生动物具有致病性和危险性。牛是常见的中间宿主。目的:本研究旨在确定埃及尼罗河三角洲坦塔市屠宰场屠宰的水牛中肉囊虫病的流行情况:方法:进行了形态学和组织学检查以及分子研究。埃及坦塔市共屠宰了 517 头当地饲养的水牛。对每头水牛的胴体进行肉眼检查,以确定是否存在大囊囊沙雷氏菌。采用组织学、透射电子显微镜(TEM)和聚合酶链式反应(PCR)等不同技术检查了 50 份含有疑似囊蚴的组织样本:结果:通过肉眼观察,疑似囊肿的总发病率为 26.5%。目测食道的感染率最高,其次是骨骼肌和膈肌,而舌头的感染率最低。组织学和 TEM 检查显示,囊肿内充满了由多层隔膜分隔的裂殖体。食管和肌肉中肉眼诊断出的肌囊肿100%经聚合酶链式反应(PCR)证实,而舌头中检测出的肌囊肿只有25%:这些结果突显了肉囊肿病在埃及水牛中的高流行率,这可能是由于肉囊肿卵囊对环境的广泛污染。应鼓励使用分子方法确认疑似囊肿的身份。
本文章由计算机程序翻译,如有差异,请以英文原文为准。
求助全文
约1分钟内获得全文 求助全文
来源期刊
CiteScore
1.70
自引率
8.30%
发文量
10
期刊介绍: The Iranian Journal of Veterinary Research(IJVR) is published quarterly in 4 issues. The aims of this journal are to improve and expand knowledge in all veterinary fields. It is an international journal indexed by the Thomson Institute for Scientific Information (ISI), Elsevier, Scopus, CAB International, Veterinary Bulletin and several other international databases. Research papers and reports on a wide range of veterinary topics are published in the journal after being evaluated by expert reviewers.The Editor-in-Chief is responsible for the editorial content of the journal—including peer-reviewed manuscripts—and the timing of its publication.
×
引用
GB/T 7714-2015
复制
MLA
复制
APA
复制
导出至
BibTeX EndNote RefMan NoteFirst NoteExpress
×
提示
您的信息不完整,为了账户安全,请先补充。
现在去补充
×
提示
您因"违规操作"
具体请查看互助需知
我知道了
×
提示
确定
请完成安全验证×
copy
已复制链接
快去分享给好友吧!
我知道了
右上角分享
点击右上角分享
0
联系我们:info@booksci.cn Book学术提供免费学术资源搜索服务,方便国内外学者检索中英文文献。致力于提供最便捷和优质的服务体验。 Copyright © 2023 布克学术 All rights reserved.
京ICP备2023020795号-1
ghs 京公网安备 11010802042870号
Book学术文献互助
Book学术文献互助群
群 号:604180095
Book学术官方微信