Assessing the effectiveness of MRI, 18F-fluciclovine PET, SUVmax, and PSA in detecting local recurrence of prostate cancer after prostatectomy.

Polish journal of radiology Pub Date : 2024-04-12 eCollection Date: 2024-01-01 DOI:10.5114/pjr.2024.139007
Mayur K Virarkar, Stephen K Gruschkus, Gregory C Ravizzini, Sai Swarupa R Vulasala, Sanaz Javadi, Priya Bhosale
{"title":"Assessing the effectiveness of MRI, <sup>18</sup>F-fluciclovine PET, SUV<sub>max</sub>, and PSA in detecting local recurrence of prostate cancer after prostatectomy.","authors":"Mayur K Virarkar, Stephen K Gruschkus, Gregory C Ravizzini, Sai Swarupa R Vulasala, Sanaz Javadi, Priya Bhosale","doi":"10.5114/pjr.2024.139007","DOIUrl":null,"url":null,"abstract":"<p><strong>Purpose: </strong>The primary objective of this study was to evaluate the discriminatory utility of magnetic resonance imaging (MRI), <sup>18</sup>F-fluciclovine positron emission tomography (PET), maximum standardized uptake value (SUV<sub>max</sub>), prostate-specific antigen (PSA), and combinations of these diagnostic modalities for detecting local prostate cancer recurrence in the setting of rising PSA after radical prostatectomy.</p><p><strong>Material and methods: </strong>Patients were characterised for clinical features such as Gleason score, PSA at surgery, PSA at follow-up, follow-up MRI result, follow-up PET result, follow-up SUV<sub>max</sub>, and follow-up disease status. The utility of diagnostic parameters for detecting disease recurrence at the prostatectomy bed was assessed using receiver operating characteristics (ROC) analysis to determine the area under the curve (AUC) for each model. Sensitivity, specificity, and positive/negative predictive values were also calculated. Optimal cut-off points for continuous variables were determined based on maximum Youden's J statistics.</p><p><strong>Results: </strong>The study found that MRI had the highest concordance (96%), sensitivity (100%), specificity (91%), positive predictive value (93%), and negative predictive value (100%) among the diagnostic modalities. The AUC for MRI was 0.9545, indicating a high discriminatory ability for detecting prostate cancer local recurrence. When combined, PET and SUV<sub>max</sub> (cut-off value of 2.85) showed an improved performance compared to using them individually, with an AUC of 0.8925.</p><p><strong>Conclusions: </strong>The analysis suggests that MRI is the most effective imaging modality for detecting local prostate cancer recurrence, with <sup>18</sup>F-fluciclovine PET and SUV<sub>max</sub> also showing promising combined results. PSA has moderate discriminatory utility at follow-up but can still provide valuable information in detecting prostate cancer recurrence. Further research and recent references are needed to support these findings.</p>","PeriodicalId":94174,"journal":{"name":"Polish journal of radiology","volume":"89 ","pages":"e196-e203"},"PeriodicalIF":0.0000,"publicationDate":"2024-04-12","publicationTypes":"Journal Article","fieldsOfStudy":null,"isOpenAccess":false,"openAccessPdf":"https://www.ncbi.nlm.nih.gov/pmc/articles/PMC11112415/pdf/","citationCount":"0","resultStr":null,"platform":"Semanticscholar","paperid":null,"PeriodicalName":"Polish journal of radiology","FirstCategoryId":"1085","ListUrlMain":"https://doi.org/10.5114/pjr.2024.139007","RegionNum":0,"RegionCategory":null,"ArticlePicture":[],"TitleCN":null,"AbstractTextCN":null,"PMCID":null,"EPubDate":"2024/1/1 0:00:00","PubModel":"eCollection","JCR":"","JCRName":"","Score":null,"Total":0}
引用次数: 0

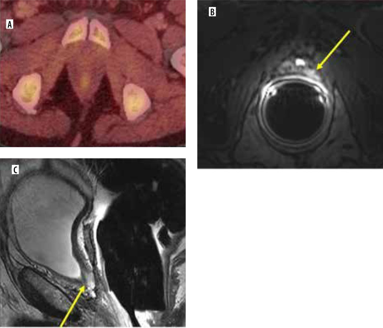
Abstract

Purpose: The primary objective of this study was to evaluate the discriminatory utility of magnetic resonance imaging (MRI), 18F-fluciclovine positron emission tomography (PET), maximum standardized uptake value (SUVmax), prostate-specific antigen (PSA), and combinations of these diagnostic modalities for detecting local prostate cancer recurrence in the setting of rising PSA after radical prostatectomy.

Material and methods: Patients were characterised for clinical features such as Gleason score, PSA at surgery, PSA at follow-up, follow-up MRI result, follow-up PET result, follow-up SUVmax, and follow-up disease status. The utility of diagnostic parameters for detecting disease recurrence at the prostatectomy bed was assessed using receiver operating characteristics (ROC) analysis to determine the area under the curve (AUC) for each model. Sensitivity, specificity, and positive/negative predictive values were also calculated. Optimal cut-off points for continuous variables were determined based on maximum Youden's J statistics.

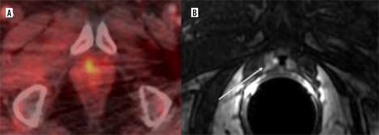
Results: The study found that MRI had the highest concordance (96%), sensitivity (100%), specificity (91%), positive predictive value (93%), and negative predictive value (100%) among the diagnostic modalities. The AUC for MRI was 0.9545, indicating a high discriminatory ability for detecting prostate cancer local recurrence. When combined, PET and SUVmax (cut-off value of 2.85) showed an improved performance compared to using them individually, with an AUC of 0.8925.

Conclusions: The analysis suggests that MRI is the most effective imaging modality for detecting local prostate cancer recurrence, with 18F-fluciclovine PET and SUVmax also showing promising combined results. PSA has moderate discriminatory utility at follow-up but can still provide valuable information in detecting prostate cancer recurrence. Further research and recent references are needed to support these findings.

Abstract Image

Abstract Image

Abstract Image

评估核磁共振成像、18F-氟西酞胺正电子发射计算机断层扫描、SUVmax 和 PSA 在检测前列腺切除术后前列腺癌局部复发方面的有效性。
目的:本研究的主要目的是评估磁共振成像(MRI)、18F-氟脲嘧啶正电子发射断层扫描(PET)、最大标准化摄取值(SUVmax)、前列腺特异性抗原(PSA)以及这些诊断方法的组合在根治性前列腺切除术后PSA升高的情况下检测局部前列腺癌复发的鉴别作用:对患者进行临床特征描述,如格里森评分、手术时的PSA、随访时的PSA、随访时的MRI结果、随访时的PET结果、随访时的SUVmax和随访时的疾病状态。使用接收器操作特征(ROC)分析评估诊断参数对检测前列腺切除床疾病复发的效用,以确定每个模型的曲线下面积(AUC)。同时还计算了灵敏度、特异性和阳性/阴性预测值。连续变量的最佳截断点是根据最大尤登J统计量确定的:研究发现,在各种诊断方式中,核磁共振成像的一致性(96%)、灵敏度(100%)、特异性(91%)、阳性预测值(93%)和阴性预测值(100%)最高。核磁共振成像的AUC为0.9545,表明其在检测前列腺癌局部复发方面具有很高的鉴别能力。PET和SUVmax(临界值为2.85)联合使用时,其AUC为0.8925,比单独使用时的效果更好:分析表明,磁共振成像是检测前列腺癌局部复发最有效的成像方式,18F-氟尿嘧啶PET和SUVmax联合使用也显示出良好的效果。PSA在随访中的鉴别作用一般,但仍能为检测前列腺癌复发提供有价值的信息。需要进一步的研究和最新的参考文献来支持这些发现。
本文章由计算机程序翻译,如有差异,请以英文原文为准。
求助全文
约1分钟内获得全文 求助全文
来源期刊
CiteScore
2.10
自引率
0.00%
发文量
0
×
引用
GB/T 7714-2015
复制
MLA
复制
APA
复制
导出至
BibTeX EndNote RefMan NoteFirst NoteExpress
×
提示
您的信息不完整,为了账户安全,请先补充。
现在去补充
×
提示
您因"违规操作"
具体请查看互助需知
我知道了
×
提示
确定
请完成安全验证×
copy
已复制链接
快去分享给好友吧!
我知道了
右上角分享
点击右上角分享
0
联系我们:info@booksci.cn Book学术提供免费学术资源搜索服务,方便国内外学者检索中英文文献。致力于提供最便捷和优质的服务体验。 Copyright © 2023 布克学术 All rights reserved.
京ICP备2023020795号-1
ghs 京公网安备 11010802042870号
Book学术文献互助
Book学术文献互助群
群 号:604180095
Book学术官方微信