Rare metastasis in a patient with BRAF-mutated rectal cancer: choroidal metastasis - case report and literature review.

GMS ophthalmology cases Pub Date : 2024-04-19 eCollection Date: 2024-01-01 DOI:10.3205/oc000235
Hacer Demir, Mustafa Muhterem Ekim, Esra Özgül, Sena Ece Davarci, Meltem Baykara
{"title":"Rare metastasis in a patient with BRAF-mutated rectal cancer: choroidal metastasis - case report and literature review.","authors":"Hacer Demir, Mustafa Muhterem Ekim, Esra Özgül, Sena Ece Davarci, Meltem Baykara","doi":"10.3205/oc000235","DOIUrl":null,"url":null,"abstract":"<p><strong>Purpose: </strong>Colorectal cancers are common and have high mortality, and metastasis is common in follow up. Choroidal metastasis is encountered rarely in rectum cancers, and there is no previous case reported from Turkey. We present our patient who developed choroidal metastasis in his cancer follow-up.</p><p><strong>Case report: </strong>A 74-year-old male patient had undergone operation due to the diagnosis of rectum cancer two years ago, and lung (L) metastasis developed in the 4<sup>th</sup> month after the adjuvant therapy, but he refused to receive treatment and remained out of follow-up. The patient presented with complaints of decreased vision and light flashes in his eye 21 months after the diagnosis.</p><p><strong>Management and outcome: </strong>Ocular examination revealed a choroidal mass and radiologically choroidal and multiple brain metastases were detected. In our case, whole-brain radiotherapy was administered in the treatment since there were also multiple brain metastases. However, as the ECOG (Eastern Cooperative Oncology Group) performance status of the patient was 3-4 after radiotherapy, systemic treatment was not considered appropriate, and the best supportive care was given. The patient died 2 months after the diagnosis of choroidal metastasis.</p><p><strong>Conclusion: </strong>Currently, there are few suggestions in case reports regarding appropriate treatment approaches for the treatment of rectal cancerchoroidal metastases. Multidisciplinary approaches may be effective for local and systemic treatment. Our case highlights a pathological entity with poor prognosis, which is rarely encountered during the course of rectal adenocarcinomas, and it is the first case of choroidal metastasis reported from our country. However, we believe that it will be important to draw attention to the fact that it is the first reported case of choroid metastasis in a rectal cancer patient with a BRAF V600 E mutation, and patients with BRAF V600 E mutation may develop metastasis to atypical areas due to their aggressive biology.</p>","PeriodicalId":73178,"journal":{"name":"GMS ophthalmology cases","volume":"14 ","pages":"Doc03"},"PeriodicalIF":0.0000,"publicationDate":"2024-04-19","publicationTypes":"Journal Article","fieldsOfStudy":null,"isOpenAccess":false,"openAccessPdf":"https://www.ncbi.nlm.nih.gov/pmc/articles/PMC11106631/pdf/","citationCount":"0","resultStr":null,"platform":"Semanticscholar","paperid":null,"PeriodicalName":"GMS ophthalmology cases","FirstCategoryId":"1085","ListUrlMain":"https://doi.org/10.3205/oc000235","RegionNum":0,"RegionCategory":null,"ArticlePicture":[],"TitleCN":null,"AbstractTextCN":null,"PMCID":null,"EPubDate":"2024/1/1 0:00:00","PubModel":"eCollection","JCR":"","JCRName":"","Score":null,"Total":0}
引用次数: 0

Abstract

Purpose: Colorectal cancers are common and have high mortality, and metastasis is common in follow up. Choroidal metastasis is encountered rarely in rectum cancers, and there is no previous case reported from Turkey. We present our patient who developed choroidal metastasis in his cancer follow-up.

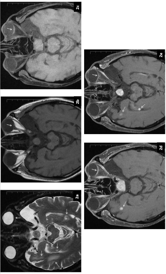
Case report: A 74-year-old male patient had undergone operation due to the diagnosis of rectum cancer two years ago, and lung (L) metastasis developed in the 4th month after the adjuvant therapy, but he refused to receive treatment and remained out of follow-up. The patient presented with complaints of decreased vision and light flashes in his eye 21 months after the diagnosis.

Management and outcome: Ocular examination revealed a choroidal mass and radiologically choroidal and multiple brain metastases were detected. In our case, whole-brain radiotherapy was administered in the treatment since there were also multiple brain metastases. However, as the ECOG (Eastern Cooperative Oncology Group) performance status of the patient was 3-4 after radiotherapy, systemic treatment was not considered appropriate, and the best supportive care was given. The patient died 2 months after the diagnosis of choroidal metastasis.

Conclusion: Currently, there are few suggestions in case reports regarding appropriate treatment approaches for the treatment of rectal cancerchoroidal metastases. Multidisciplinary approaches may be effective for local and systemic treatment. Our case highlights a pathological entity with poor prognosis, which is rarely encountered during the course of rectal adenocarcinomas, and it is the first case of choroidal metastasis reported from our country. However, we believe that it will be important to draw attention to the fact that it is the first reported case of choroid metastasis in a rectal cancer patient with a BRAF V600 E mutation, and patients with BRAF V600 E mutation may develop metastasis to atypical areas due to their aggressive biology.

Abstract Image

Abstract Image

Abstract Image

BRAF突变直肠癌患者的罕见转移:脉络膜转移--病例报告和文献综述。
目的:结肠直肠癌很常见,死亡率很高,在随访过程中常见转移。直肠癌很少发生脉络膜转移,土耳其也没有相关病例报道。病例报告:一名 74 岁的男性患者两年前因直肠癌接受了手术,在辅助治疗后的第 4 个月出现肺(L)转移,但他拒绝接受治疗,一直未接受随访。确诊 21 个月后,患者主诉视力下降,眼睛有闪光:眼部检查发现脉络膜肿块,放射学检查发现脉络膜转移和多发性脑转移。在我们的病例中,由于也有多发脑转移灶,因此在治疗中采用了全脑放疗。然而,由于放疗后患者的 ECOG(东部合作肿瘤学组)表现状态为 3-4,因此不适合进行全身治疗,而是给予了最佳支持治疗。患者在确诊脉络膜转移后 2 个月死亡:目前,病例报告中关于治疗直肠癌脉络膜转移的适当方法的建议很少。多学科方法可能对局部和全身治疗有效。我们的病例突出了一种预后不良的病理实体,在直肠腺癌的病程中很少遇到,这也是我国报告的首例脉络膜转移瘤。然而,我们认为有必要提请注意的是,这是首例报道的BRAF V600 E基因突变的直肠癌患者脉络膜转移病例,而BRAF V600 E基因突变的患者由于其侵袭性生物学特性,可能会发生非典型区域的转移。
本文章由计算机程序翻译,如有差异,请以英文原文为准。
求助全文
约1分钟内获得全文 求助全文
来源期刊
自引率
0.00%
发文量
0
审稿时长
6 weeks
×
引用
GB/T 7714-2015
复制
MLA
复制
APA
复制
导出至
BibTeX EndNote RefMan NoteFirst NoteExpress
×
提示
您的信息不完整,为了账户安全,请先补充。
现在去补充
×
提示
您因"违规操作"
具体请查看互助需知
我知道了
×
提示
确定
请完成安全验证×
copy
已复制链接
快去分享给好友吧!
我知道了
右上角分享
点击右上角分享
0
联系我们:info@booksci.cn Book学术提供免费学术资源搜索服务,方便国内外学者检索中英文文献。致力于提供最便捷和优质的服务体验。 Copyright © 2023 布克学术 All rights reserved.
京ICP备2023020795号-1
ghs 京公网安备 11010802042870号
Book学术文献互助
Book学术文献互助群
群 号:604180095
Book学术官方微信