Undifferentiated Pleomorphic Sarcoma Mimicking Breast Implant-Associated Anaplastic Large Cell Lymphoma.

IF 2.4 4区 医学 Q3 ONCOLOGY
Journal of Breast Cancer Pub Date : 2024-06-01 Epub Date: 2024-05-07 DOI:10.4048/jbc.2024.0054
Nayana Chandrasiri, Oluwatosin Taiwo, Muneer Ahmed, Anmol Malhotra, Soha El-Sheikh
{"title":"Undifferentiated Pleomorphic Sarcoma Mimicking Breast Implant-Associated Anaplastic Large Cell Lymphoma.","authors":"Nayana Chandrasiri, Oluwatosin Taiwo, Muneer Ahmed, Anmol Malhotra, Soha El-Sheikh","doi":"10.4048/jbc.2024.0054","DOIUrl":null,"url":null,"abstract":"<p><p>Breast implant augmentation is a low-risk procedure with few life-threatening complications, most commonly rupture or leakage and contraction of the capsule. Breast implant-associated (BIA) malignancies are rare. Anaplastic large cell lymphoma (ALCL) is the most well-known neoplastic condition associated with breast augmentation. Carcinomas arising in association with implants have been reported but are rarer than ALCL. BIA-mesenchymal tumors are extremely rare and most are locally aggressive fibromatosis. To date, only eight cases of BIA sarcomas have been reported. Herein, we describe a case of silicone BIA-undifferentiated pleomorphic sarcoma (UPS) that was initially mistaken for ALCL because of a significant clinical and radiological overlap in presentation and imaging. Here, we present the morphological and molecular features of this rare neoplasm. We reviewed the existing literature related to BIA sarcomas to highlight the importance of considering this diagnosis in cases of recurrent ALCL-negative BIA effusions.</p>","PeriodicalId":15206,"journal":{"name":"Journal of Breast Cancer","volume":" ","pages":"215-222"},"PeriodicalIF":2.4000,"publicationDate":"2024-06-01","publicationTypes":"Journal Article","fieldsOfStudy":null,"isOpenAccess":false,"openAccessPdf":"https://www.ncbi.nlm.nih.gov/pmc/articles/PMC11221204/pdf/","citationCount":"0","resultStr":null,"platform":"Semanticscholar","paperid":null,"PeriodicalName":"Journal of Breast Cancer","FirstCategoryId":"3","ListUrlMain":"https://doi.org/10.4048/jbc.2024.0054","RegionNum":4,"RegionCategory":"医学","ArticlePicture":[],"TitleCN":null,"AbstractTextCN":null,"PMCID":null,"EPubDate":"2024/5/7 0:00:00","PubModel":"Epub","JCR":"Q3","JCRName":"ONCOLOGY","Score":null,"Total":0}
引用次数: 0

Abstract

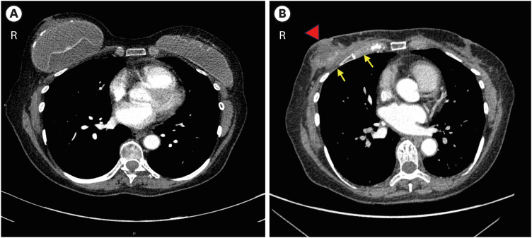
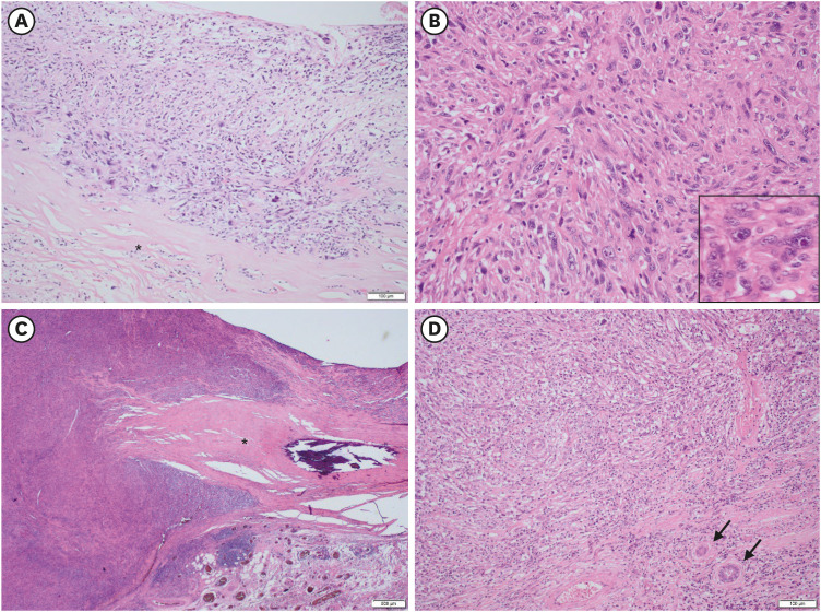
Breast implant augmentation is a low-risk procedure with few life-threatening complications, most commonly rupture or leakage and contraction of the capsule. Breast implant-associated (BIA) malignancies are rare. Anaplastic large cell lymphoma (ALCL) is the most well-known neoplastic condition associated with breast augmentation. Carcinomas arising in association with implants have been reported but are rarer than ALCL. BIA-mesenchymal tumors are extremely rare and most are locally aggressive fibromatosis. To date, only eight cases of BIA sarcomas have been reported. Herein, we describe a case of silicone BIA-undifferentiated pleomorphic sarcoma (UPS) that was initially mistaken for ALCL because of a significant clinical and radiological overlap in presentation and imaging. Here, we present the morphological and molecular features of this rare neoplasm. We reviewed the existing literature related to BIA sarcomas to highlight the importance of considering this diagnosis in cases of recurrent ALCL-negative BIA effusions.

Abstract Image

Abstract Image

Abstract Image

模仿乳房植入物相关性非典型大细胞淋巴瘤的未分化多形性肉瘤
假体隆胸是一种低风险手术,很少出现危及生命的并发症,最常见的是破裂或渗漏以及囊收缩。乳房植入物相关恶性肿瘤(BIA)很少见。无性大细胞淋巴瘤(ALCL)是与隆胸相关的最著名的肿瘤性疾病。与假体相关的癌也有报道,但比无性大细胞淋巴瘤更罕见。BIA-间质瘤极为罕见,大多数是局部侵袭性纤维瘤病。迄今为止,仅有七例 BIA 肉瘤的报道。在此,我们描述了一例硅质BIA-未分化多形性肉瘤(UPS)病例,该病例最初被误认为是ALCL,因为其临床表现和影像学表现明显重叠。在此,我们介绍了这种罕见肿瘤的形态学和分子特征。我们回顾了与BIA肉瘤相关的现有文献,以强调在复发性ALCL阴性BIA积液病例中考虑这一诊断的重要性。
本文章由计算机程序翻译,如有差异,请以英文原文为准。
求助全文
约1分钟内获得全文 求助全文
来源期刊
Journal of Breast Cancer
Journal of Breast Cancer 医学-肿瘤学
CiteScore
3.80
自引率
4.20%
发文量
43
审稿时长
6-12 weeks
期刊介绍: The Journal of Breast Cancer (abbreviated as ''J Breast Cancer'') is the official journal of the Korean Breast Cancer Society, which is issued quarterly in the last day of March, June, September, and December each year since 1998. All the contents of the Journal is available online at the official journal website (http://ejbc.kr) under open access policy. The journal aims to provide a forum for the academic communication between medical doctors, basic science researchers, and health care professionals to be interested in breast cancer. To get this aim, we publish original investigations, review articles, brief communications including case reports, editorial opinions on the topics of importance to breast cancer, and welcome new research findings and epidemiological studies, especially when they contain a regional data to grab the international reader''s interest. Although the journal is mainly dealing with the issues of breast cancer, rare cases among benign breast diseases or evidence-based scientifically written articles providing useful information for clinical practice can be published as well.
×
引用
GB/T 7714-2015
复制
MLA
复制
APA
复制
导出至
BibTeX EndNote RefMan NoteFirst NoteExpress
×
提示
您的信息不完整,为了账户安全,请先补充。
现在去补充
×
提示
您因"违规操作"
具体请查看互助需知
我知道了
×
提示
确定
请完成安全验证×
copy
已复制链接
快去分享给好友吧!
我知道了
右上角分享
点击右上角分享
0
联系我们:info@booksci.cn Book学术提供免费学术资源搜索服务,方便国内外学者检索中英文文献。致力于提供最便捷和优质的服务体验。 Copyright © 2023 布克学术 All rights reserved.
京ICP备2023020795号-1
ghs 京公网安备 11010802042870号
Book学术文献互助
Book学术文献互助群
群 号:604180095
Book学术官方微信