Congenital feline tuberculosis: the first case report.

IF 1.1 4区 农林科学 Q3 ZOOLOGY
Veterinary Research Forum Pub Date : 2024-01-01 Epub Date: 2024-04-15 DOI:10.30466/vrf.2024.2020553.4141
Osman Dağar, Mehmet Burak Ateş, Mustafa Ortatatlı, Fatih Mehmet Öztürk
{"title":"Congenital feline tuberculosis: the first case report.","authors":"Osman Dağar, Mehmet Burak Ateş, Mustafa Ortatatlı, Fatih Mehmet Öztürk","doi":"10.30466/vrf.2024.2020553.4141","DOIUrl":null,"url":null,"abstract":"<p><p>This study presents the first report of congenital tuberculosis in an 8-month-old male British Shorthair cat. The case was examined using histopathological and immunohistochemical methods. The cat was referred to a private veterinary clinic with general respiratory system problems and subsequent deterioration, leading to death. The cat owner granted permission for the cat necropsy and pathological examinations at Department of Pathology, Faculty of Veterinary Medicine, Selçuk University, Konya, Türkiye. During systemic necropsy, white round foci with diameters ranging from 3.00 to 5.00 mm were observed in the lung and spleen. Tissue samples were collected from the lung, spleen, liver, heart, kidney, mediastinal lymph nodes and brain for histopathological examinations. The tissues were subjected to routine histological tissue processing and sections were stained with Hematoxylin and Eosin and Ziehl-Neelsen. Additionally, <i>Mycobacterium spp</i>. antibodies were used for immunohistochemical staining. Microscopic examination revealed exudative tuberculosis lesions, areas of necrosis without a fibrous capsule and karyorrhectic cells only in the lung and spleen. Acid-resistant bacteria observed by ZN staining in the lesioned areas of the lung and spleen were identified as <i>Mycobacterium spp</i>. using immunohistochemical staining. No positive staining was observed in other organs using ZN and immunohistochemical methods. As a result, congenital tuberculosis was diagnosed in a cat for the first time, especially in relation to lesions in the spleen.</p>","PeriodicalId":23989,"journal":{"name":"Veterinary Research Forum","volume":"15 4","pages":"203-205"},"PeriodicalIF":1.1000,"publicationDate":"2024-01-01","publicationTypes":"Journal Article","fieldsOfStudy":null,"isOpenAccess":false,"openAccessPdf":"https://www.ncbi.nlm.nih.gov/pmc/articles/PMC11102793/pdf/","citationCount":"0","resultStr":null,"platform":"Semanticscholar","paperid":null,"PeriodicalName":"Veterinary Research Forum","FirstCategoryId":"97","ListUrlMain":"https://doi.org/10.30466/vrf.2024.2020553.4141","RegionNum":4,"RegionCategory":"农林科学","ArticlePicture":[],"TitleCN":null,"AbstractTextCN":null,"PMCID":null,"EPubDate":"2024/4/15 0:00:00","PubModel":"Epub","JCR":"Q3","JCRName":"ZOOLOGY","Score":null,"Total":0}
引用次数: 0

Abstract

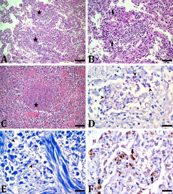
This study presents the first report of congenital tuberculosis in an 8-month-old male British Shorthair cat. The case was examined using histopathological and immunohistochemical methods. The cat was referred to a private veterinary clinic with general respiratory system problems and subsequent deterioration, leading to death. The cat owner granted permission for the cat necropsy and pathological examinations at Department of Pathology, Faculty of Veterinary Medicine, Selçuk University, Konya, Türkiye. During systemic necropsy, white round foci with diameters ranging from 3.00 to 5.00 mm were observed in the lung and spleen. Tissue samples were collected from the lung, spleen, liver, heart, kidney, mediastinal lymph nodes and brain for histopathological examinations. The tissues were subjected to routine histological tissue processing and sections were stained with Hematoxylin and Eosin and Ziehl-Neelsen. Additionally, Mycobacterium spp. antibodies were used for immunohistochemical staining. Microscopic examination revealed exudative tuberculosis lesions, areas of necrosis without a fibrous capsule and karyorrhectic cells only in the lung and spleen. Acid-resistant bacteria observed by ZN staining in the lesioned areas of the lung and spleen were identified as Mycobacterium spp. using immunohistochemical staining. No positive staining was observed in other organs using ZN and immunohistochemical methods. As a result, congenital tuberculosis was diagnosed in a cat for the first time, especially in relation to lesions in the spleen.

Abstract Image

Abstract Image

先天性猫结核病:首例报告。
本研究首次报道了一只 8 个月大的雄性英国短毛猫患有先天性结核病。该病例采用组织病理学和免疫组化方法进行检查。该猫因全身呼吸系统问题被转诊至一家私人兽医诊所,随后病情恶化并最终死亡。猫主人同意在土耳其科尼亚的塞尔丘克大学兽医学院病理学系对猫进行尸体解剖和病理检查。在系统解剖过程中,在肺部和脾脏发现了直径为 3.00 至 5.00 毫米的白色圆形病灶。采集了肺、脾、肝、心、肾、纵隔淋巴结和脑组织样本进行组织病理学检查。对组织进行常规组织学处理,切片用苏木精、伊红和齐氏-奈尔森染色。此外,还使用了分枝杆菌属抗体进行免疫组化染色。显微镜检查发现,肺部和脾脏有渗出性结核病灶、无纤维囊的坏死区和核分裂细胞。在肺部和脾脏的病变区域通过 ZN 染色观察到的耐酸细菌经免疫组化染色鉴定为分枝杆菌属。使用 ZN 和免疫组化方法在其他器官未观察到阳性染色。因此,这是首次在一只猫身上诊断出先天性结核病,尤其是与脾脏病变有关的结核病。
本文章由计算机程序翻译,如有差异,请以英文原文为准。
求助全文
约1分钟内获得全文 求助全文
来源期刊
Veterinary Research Forum
Veterinary Research Forum Veterinary-General Veterinary
CiteScore
1.50
自引率
0.00%
发文量
0
审稿时长
8 weeks
期刊介绍: Veterinary Research Forum (VRF) is a quarterly international journal committed to publish worldwide contributions on all aspects of veterinary science and medicine, including anatomy and histology, physiology and pharmacology, anatomic and clinical pathology, parasitology, microbiology, immunology and epidemiology, food hygiene, poultry science, fish and aquaculture, anesthesia and surgery, large and small animal internal medicine, large and small animal reproduction, biotechnology and diagnostic imaging of domestic, companion and farm animals.
×
引用
GB/T 7714-2015
复制
MLA
复制
APA
复制
导出至
BibTeX EndNote RefMan NoteFirst NoteExpress
×
提示
您的信息不完整,为了账户安全,请先补充。
现在去补充
×
提示
您因"违规操作"
具体请查看互助需知
我知道了
×
提示
确定
请完成安全验证×
copy
已复制链接
快去分享给好友吧!
我知道了
右上角分享
点击右上角分享
0
联系我们:info@booksci.cn Book学术提供免费学术资源搜索服务,方便国内外学者检索中英文文献。致力于提供最便捷和优质的服务体验。 Copyright © 2023 布克学术 All rights reserved.
京ICP备2023020795号-1
ghs 京公网安备 11010802042870号
Book学术文献互助
Book学术文献互助群
群 号:604180095
Book学术官方微信