Primary angiitis of the central nervous system.

IF 2.9 Q1 PATHOLOGY
PATHOLOGICA Pub Date : 2024-04-01 DOI:10.32074/1591-951X-987
Francesca Gianno, Manila Antonelli, Antonio d'Amati, Giuseppe Broggi, Angela Guerriero, Alessandra Erbetta, Luigi Caputi, Gianluca Marucci
{"title":"Primary angiitis of the central nervous system.","authors":"Francesca Gianno, Manila Antonelli, Antonio d'Amati, Giuseppe Broggi, Angela Guerriero, Alessandra Erbetta, Luigi Caputi, Gianluca Marucci","doi":"10.32074/1591-951X-987","DOIUrl":null,"url":null,"abstract":"<p><p>Primary angiitis of the central nervous system (CNS) is an uncommon inflammatory disorder, with highly variable clinical presentation. It needs to be differentiated from several mimickers, such as CNS involvement in systemic vasculitides, connective tissue disorders, infectious disease, and leukodystrophy as well as neoplastic diseases. The diagnosis requires a combination of clinical and laboratory investigations, multimodal imaging, and histopathological examination, which should be available for confirmation. In the present paper, the histopathological features of primary angiitis of the CNS are described and highlighted to help pathologists avoid misdiagnosis of a treatable acquired disease.</p>","PeriodicalId":45893,"journal":{"name":"PATHOLOGICA","volume":"116 2","pages":"134-139"},"PeriodicalIF":2.9000,"publicationDate":"2024-04-01","publicationTypes":"Journal Article","fieldsOfStudy":null,"isOpenAccess":false,"openAccessPdf":"https://www.ncbi.nlm.nih.gov/pmc/articles/PMC11138766/pdf/","citationCount":"0","resultStr":null,"platform":"Semanticscholar","paperid":null,"PeriodicalName":"PATHOLOGICA","FirstCategoryId":"1085","ListUrlMain":"https://doi.org/10.32074/1591-951X-987","RegionNum":0,"RegionCategory":null,"ArticlePicture":[],"TitleCN":null,"AbstractTextCN":null,"PMCID":null,"EPubDate":"","PubModel":"","JCR":"Q1","JCRName":"PATHOLOGY","Score":null,"Total":0}
引用次数: 0

Abstract

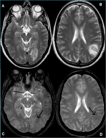
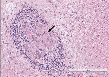
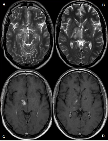
Primary angiitis of the central nervous system (CNS) is an uncommon inflammatory disorder, with highly variable clinical presentation. It needs to be differentiated from several mimickers, such as CNS involvement in systemic vasculitides, connective tissue disorders, infectious disease, and leukodystrophy as well as neoplastic diseases. The diagnosis requires a combination of clinical and laboratory investigations, multimodal imaging, and histopathological examination, which should be available for confirmation. In the present paper, the histopathological features of primary angiitis of the CNS are described and highlighted to help pathologists avoid misdiagnosis of a treatable acquired disease.

Abstract Image

Abstract Image

Abstract Image

中枢神经系统原发性血管炎。
中枢神经系统(CNS)原发性血管炎是一种不常见的炎症性疾病,临床表现千变万化。它需要与几种假象疾病相鉴别,如中枢神经系统受累于全身性血管炎、结缔组织病、感染性疾病、白营养不良以及肿瘤性疾病。诊断需要结合临床和实验室检查、多模态影像学检查和组织病理学检查,组织病理学检查应可用于确诊。本文描述并强调了中枢神经系统原发性血管炎的组织病理学特征,以帮助病理学家避免误诊为可治疗的后天性疾病。
本文章由计算机程序翻译,如有差异,请以英文原文为准。
求助全文
约1分钟内获得全文 求助全文
来源期刊
PATHOLOGICA
PATHOLOGICA PATHOLOGY-
CiteScore
5.90
自引率
5.70%
发文量
108
×
引用
GB/T 7714-2015
复制
MLA
复制
APA
复制
导出至
BibTeX EndNote RefMan NoteFirst NoteExpress
×
提示
您的信息不完整,为了账户安全,请先补充。
现在去补充
×
提示
您因"违规操作"
具体请查看互助需知
我知道了
×
提示
确定
请完成安全验证×
copy
已复制链接
快去分享给好友吧!
我知道了
右上角分享
点击右上角分享
0
联系我们:info@booksci.cn Book学术提供免费学术资源搜索服务,方便国内外学者检索中英文文献。致力于提供最便捷和优质的服务体验。 Copyright © 2023 布克学术 All rights reserved.
京ICP备2023020795号-1
ghs 京公网安备 11010802042870号
Book学术文献互助
Book学术文献互助群
群 号:604180095
Book学术官方微信