Cutaneous vasculitis: insights into pathogenesis and histopathological features.

IF 2.9 Q1 PATHOLOGY
PATHOLOGICA Pub Date : 2024-04-01 DOI:10.32074/1591-951X-985
Angelo Cassisa, Luca Cima
{"title":"Cutaneous vasculitis: insights into pathogenesis and histopathological features.","authors":"Angelo Cassisa, Luca Cima","doi":"10.32074/1591-951X-985","DOIUrl":null,"url":null,"abstract":"<p><p>The mechanisms underlying the onset and progression of vasculitis remain poorly understood. This condition is characterized by damage to the vascular wall, recruitment of inflammatory cells, and subsequent structural remodeling, which are hallmarks of vasculitis. The histopathological classification of vasculitis relies on the size of the affected vessel and the predominant type of inflammatory cell involved - neutrophils in acute cases, lymphocytes in chronic conditions, and histiocytes in granulomatous forms. Pathological changes progress in every context, and a single vasculitic pattern can be associated with various systemic conditions. Conversely, a single causative agent may lead to multiple distinct clinical and pathological manifestations of vasculitis. Moreover, many cases of vasculitis have no identifiable cause. A foundational understanding of the normal structure of the cutaneous vascular network is crucial. Similarly, identifying the cellular and molecular participants and their roles in forming the \"dermal microvascular unit\" is propedeutical.</p><p><p>This review aims to elucidate the complex mechanisms involved in the initiation and progression of vasculitis, offering a comprehensive overview of its histopathological classification, underlying causes, and the significant role of the cutaneous vascular network and cellular dynamics. By integrating the latest insights from studies on NETosis and the implications of lymphocytic infiltration in autoimmune diseases, we seek to bridge gaps in current knowledge and highlight areas for future research. Our discussion extends to the clinical implications of vasculitis, emphasizing the importance of identifying etiological agents and understanding the diverse histopathological manifestations to improve diagnostic accuracy and treatment outcomes.</p>","PeriodicalId":45893,"journal":{"name":"PATHOLOGICA","volume":"116 2","pages":"119-133"},"PeriodicalIF":2.9000,"publicationDate":"2024-04-01","publicationTypes":"Journal Article","fieldsOfStudy":null,"isOpenAccess":false,"openAccessPdf":"https://www.ncbi.nlm.nih.gov/pmc/articles/PMC11138767/pdf/","citationCount":"0","resultStr":null,"platform":"Semanticscholar","paperid":null,"PeriodicalName":"PATHOLOGICA","FirstCategoryId":"1085","ListUrlMain":"https://doi.org/10.32074/1591-951X-985","RegionNum":0,"RegionCategory":null,"ArticlePicture":[],"TitleCN":null,"AbstractTextCN":null,"PMCID":null,"EPubDate":"","PubModel":"","JCR":"Q1","JCRName":"PATHOLOGY","Score":null,"Total":0}
引用次数: 0

Abstract

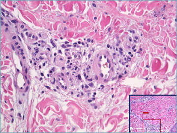
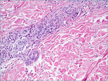
The mechanisms underlying the onset and progression of vasculitis remain poorly understood. This condition is characterized by damage to the vascular wall, recruitment of inflammatory cells, and subsequent structural remodeling, which are hallmarks of vasculitis. The histopathological classification of vasculitis relies on the size of the affected vessel and the predominant type of inflammatory cell involved - neutrophils in acute cases, lymphocytes in chronic conditions, and histiocytes in granulomatous forms. Pathological changes progress in every context, and a single vasculitic pattern can be associated with various systemic conditions. Conversely, a single causative agent may lead to multiple distinct clinical and pathological manifestations of vasculitis. Moreover, many cases of vasculitis have no identifiable cause. A foundational understanding of the normal structure of the cutaneous vascular network is crucial. Similarly, identifying the cellular and molecular participants and their roles in forming the "dermal microvascular unit" is propedeutical.

This review aims to elucidate the complex mechanisms involved in the initiation and progression of vasculitis, offering a comprehensive overview of its histopathological classification, underlying causes, and the significant role of the cutaneous vascular network and cellular dynamics. By integrating the latest insights from studies on NETosis and the implications of lymphocytic infiltration in autoimmune diseases, we seek to bridge gaps in current knowledge and highlight areas for future research. Our discussion extends to the clinical implications of vasculitis, emphasizing the importance of identifying etiological agents and understanding the diverse histopathological manifestations to improve diagnostic accuracy and treatment outcomes.

Abstract Image

Abstract Image

Abstract Image

皮肤血管炎:对发病机制和组织病理学特征的认识。
人们对脉管炎的发病和发展机制仍然知之甚少。血管炎的特征是血管壁受损、炎症细胞被招募以及随后的结构重塑。脉管炎的组织病理学分类取决于受影响血管的大小和炎症细胞的主要类型--急性病例为中性粒细胞,慢性病例为淋巴细胞,肉芽肿型病例为组织细胞。病理变化在各种情况下都会发生,单一的血管炎模式可能与多种全身性疾病相关。相反,单一致病因子也可能导致多种不同的血管炎临床和病理表现。此外,许多血管炎病例都无法确定病因。了解皮肤血管网络的正常结构至关重要。本综述旨在阐明脉管炎发生和发展的复杂机制,全面概述脉管炎的组织病理学分类、潜在病因以及皮肤血管网络和细胞动力学的重要作用。通过整合对NETosis研究的最新见解以及淋巴细胞浸润对自身免疫性疾病的影响,我们试图弥补现有知识的不足,并强调未来研究的重点领域。我们的讨论延伸到脉管炎的临床意义,强调了确定病原体和了解不同组织病理学表现对提高诊断准确性和治疗效果的重要性。
本文章由计算机程序翻译,如有差异,请以英文原文为准。
求助全文
约1分钟内获得全文 求助全文
来源期刊
PATHOLOGICA
PATHOLOGICA PATHOLOGY-
CiteScore
5.90
自引率
5.70%
发文量
108
×
引用
GB/T 7714-2015
复制
MLA
复制
APA
复制
导出至
BibTeX EndNote RefMan NoteFirst NoteExpress
×
提示
您的信息不完整,为了账户安全,请先补充。
现在去补充
×
提示
您因"违规操作"
具体请查看互助需知
我知道了
×
提示
确定
请完成安全验证×
copy
已复制链接
快去分享给好友吧!
我知道了
右上角分享
点击右上角分享
0
联系我们:info@booksci.cn Book学术提供免费学术资源搜索服务,方便国内外学者检索中英文文献。致力于提供最便捷和优质的服务体验。 Copyright © 2023 布克学术 All rights reserved.
京ICP备2023020795号-1
ghs 京公网安备 11010802042870号
Book学术文献互助
Book学术文献互助群
群 号:604180095
Book学术官方微信