Characteristics of culture-negative subclinical pulmonary tuberculosis: a single-center observation.

IF 1.6 Q3 RESPIRATORY SYSTEM
Supakorn Chansaengpetch, Rathachai Kaewlai, Tirathat Virojskulchai, Apinut Jaroonpipatkul, Nitipatana Chierakul, Nisa Muangman, Trongtum Tongdee, Wiwatana Tanomkiat, Krisna Dissaneevate, Sitthiphon Bunman, Ruchira Ruangchira-Urai, Wanwisa Dejnirattisai, Narongpon Dumavibhat
{"title":"Characteristics of culture-negative subclinical pulmonary tuberculosis: a single-center observation.","authors":"Supakorn Chansaengpetch, Rathachai Kaewlai, Tirathat Virojskulchai, Apinut Jaroonpipatkul, Nitipatana Chierakul, Nisa Muangman, Trongtum Tongdee, Wiwatana Tanomkiat, Krisna Dissaneevate, Sitthiphon Bunman, Ruchira Ruangchira-Urai, Wanwisa Dejnirattisai, Narongpon Dumavibhat","doi":"10.5826/mrm.2024.955","DOIUrl":null,"url":null,"abstract":"<p><strong>Background: </strong>Little is known about culture-negative subclinical pulmonary tuberculosis (TB), and its diagnosis remains challenging. Therefore, this study aimed to identify the characteristics and the extent of disease associated with culture-negative subclinical pulmonary TB.</p><p><strong>Methods: </strong>This retrospective cohort study was conducted on immunocompetent individuals with subclinical pulmonary TB at a university hospital in Thailand from January 2014 to December 2019. Subclinical pulmonary TB was diagnosed based on the presence of radiographic abnormalities consistent with TB in the absence of TB symptoms. All subjects demonstrated significant improvement or resolution of radiographic abnormalities following the completion of treatment. At least two negative sputum cultures were needed to fulfill the definition of culture-negative pulmonary TB. Data were analyzed using univariate and multiple logistic regression analyses to determine the characteristics of those with culture-negative subclinical pulmonary TB compared to culture-positive ones.</p><p><strong>Results: </strong>Out of the 106 individuals identified with subclinical pulmonary TB, 84 met the criteria for inclusion in the analysis. The study found lower radiographic extent and increasing age were key attributes of culture-negative subclinical pulmonary TB. The odds ratios (95% confidence interval) were 7.18 (1.76 to 29.35) and 1.07 (1.01 to 1.13), respectively. They tend to have lower rates of bilateral involvement in both chest x-ray (8.5% vs. 32.0%, p=0.006) and computed tomography (15.4% vs. 42.9%, p=0.035). However, no other specific radiographic findings were identified.</p><p><strong>Conclusions: </strong>People with culture-negative subclinical pulmonary TB were likely to have less radiographic -severity, reflecting early disease. Nevertheless, no radiographic patterns, except for unilaterality, were related to culture-negative subclinical pulmonary TB.</p>","PeriodicalId":51135,"journal":{"name":"Multidisciplinary Respiratory Medicine","volume":"19 ","pages":""},"PeriodicalIF":1.6000,"publicationDate":"2024-05-15","publicationTypes":"Journal Article","fieldsOfStudy":null,"isOpenAccess":false,"openAccessPdf":"https://www.ncbi.nlm.nih.gov/pmc/articles/PMC11186437/pdf/","citationCount":"0","resultStr":null,"platform":"Semanticscholar","paperid":null,"PeriodicalName":"Multidisciplinary Respiratory Medicine","FirstCategoryId":"1085","ListUrlMain":"https://doi.org/10.5826/mrm.2024.955","RegionNum":0,"RegionCategory":null,"ArticlePicture":[],"TitleCN":null,"AbstractTextCN":null,"PMCID":null,"EPubDate":"","PubModel":"","JCR":"Q3","JCRName":"RESPIRATORY SYSTEM","Score":null,"Total":0}
引用次数: 0

Abstract

Background: Little is known about culture-negative subclinical pulmonary tuberculosis (TB), and its diagnosis remains challenging. Therefore, this study aimed to identify the characteristics and the extent of disease associated with culture-negative subclinical pulmonary TB.

Methods: This retrospective cohort study was conducted on immunocompetent individuals with subclinical pulmonary TB at a university hospital in Thailand from January 2014 to December 2019. Subclinical pulmonary TB was diagnosed based on the presence of radiographic abnormalities consistent with TB in the absence of TB symptoms. All subjects demonstrated significant improvement or resolution of radiographic abnormalities following the completion of treatment. At least two negative sputum cultures were needed to fulfill the definition of culture-negative pulmonary TB. Data were analyzed using univariate and multiple logistic regression analyses to determine the characteristics of those with culture-negative subclinical pulmonary TB compared to culture-positive ones.

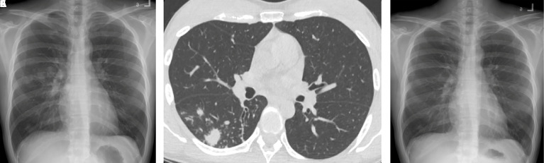
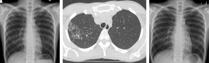
Results: Out of the 106 individuals identified with subclinical pulmonary TB, 84 met the criteria for inclusion in the analysis. The study found lower radiographic extent and increasing age were key attributes of culture-negative subclinical pulmonary TB. The odds ratios (95% confidence interval) were 7.18 (1.76 to 29.35) and 1.07 (1.01 to 1.13), respectively. They tend to have lower rates of bilateral involvement in both chest x-ray (8.5% vs. 32.0%, p=0.006) and computed tomography (15.4% vs. 42.9%, p=0.035). However, no other specific radiographic findings were identified.

Conclusions: People with culture-negative subclinical pulmonary TB were likely to have less radiographic -severity, reflecting early disease. Nevertheless, no radiographic patterns, except for unilaterality, were related to culture-negative subclinical pulmonary TB.

Abstract Image

Abstract Image

Abstract Image

培养阴性亚临床肺结核的特征:单中心观察。
背景:人们对培养阴性亚临床肺结核(TB)知之甚少,其诊断仍具有挑战性。因此,本研究旨在确定与培养阴性亚临床肺结核相关的特征和疾病程度:这项回顾性队列研究于 2014 年 1 月至 2019 年 12 月期间在泰国一所大学医院对患有亚临床肺结核的免疫功能正常者进行了研究。亚临床肺结核的诊断依据是在无肺结核症状的情况下出现与肺结核一致的影像学异常。完成治疗后,所有受试者的影像学异常均有明显改善或消失。至少有两次痰培养阴性才符合培养阴性肺结核的定义。我们使用单变量和多元逻辑回归分析法对数据进行了分析,以确定培养阴性亚临床肺结核患者与培养阳性亚临床肺结核患者的特征:在106名亚临床肺结核患者中,84人符合纳入分析的标准。研究发现,较低的影像学范围和年龄的增加是培养阴性亚临床肺结核的主要特征。几率比(95% 置信区间)分别为 7.18(1.76 至 29.35)和 1.07(1.01 至 1.13)。他们在胸部 X 光(8.5% 对 32.0%,P=0.006)和计算机断层扫描(15.4% 对 42.9%,P=0.035)中双侧受累的比例往往较低。然而,没有发现其他特殊的放射学结果:结论:培养阴性的亚临床肺结核患者的影像学严重程度可能较低,这反映了疾病的早期。尽管如此,除了单侧肺结核外,没有任何放射学模式与培养阴性亚临床肺结核有关。
本文章由计算机程序翻译,如有差异,请以英文原文为准。
求助全文
约1分钟内获得全文 求助全文
来源期刊
CiteScore
4.40
自引率
0.00%
发文量
23
审稿时长
>12 weeks
期刊介绍: Multidisciplinary Respiratory Medicine is the official journal of the Italian Respiratory Society - Società Italiana di Pneumologia (IRS/SIP). The journal publishes on all aspects of respiratory medicine and related fields, with a particular focus on interdisciplinary and translational research. The interdisciplinary nature of the journal provides a unique opportunity for researchers, clinicians and healthcare professionals across specialties to collaborate and exchange information. The journal provides a high visibility platform for the publication and dissemination of top quality original scientific articles, reviews and important position papers documenting clinical and experimental advances.
×
引用
GB/T 7714-2015
复制
MLA
复制
APA
复制
导出至
BibTeX EndNote RefMan NoteFirst NoteExpress
×
提示
您的信息不完整,为了账户安全,请先补充。
现在去补充
×
提示
您因"违规操作"
具体请查看互助需知
我知道了
×
提示
确定
请完成安全验证×
copy
已复制链接
快去分享给好友吧!
我知道了
右上角分享
点击右上角分享
0
联系我们:info@booksci.cn Book学术提供免费学术资源搜索服务,方便国内外学者检索中英文文献。致力于提供最便捷和优质的服务体验。 Copyright © 2023 布克学术 All rights reserved.
京ICP备2023020795号-1
ghs 京公网安备 11010802042870号
Book学术文献互助
Book学术文献互助群
群 号:604180095
Book学术官方微信