EBV and HPV Infections in Colorectal Cancer and Their Effect on P53 and P16 Protein Expression.

IF 0.8 Q3 MEDICINE, RESEARCH & EXPERIMENTAL
Arefeh Ebrahimian Shiadeh, Vahideh Hamidi Sofiani, Saghar Saber Amoli, Mahdie Taheri, Alijan Tabarraei, Hadi Razavi Nikoo, Farzin Sadeghi, Sorayya Khafri, Ghodsieh Kamrani, Yousef Yahyapour, Abdolvahab Moradi
{"title":"EBV and HPV Infections in Colorectal Cancer and Their Effect on P53 and P16 Protein Expression.","authors":"Arefeh Ebrahimian Shiadeh, Vahideh Hamidi Sofiani, Saghar Saber Amoli, Mahdie Taheri, Alijan Tabarraei, Hadi Razavi Nikoo, Farzin Sadeghi, Sorayya Khafri, Ghodsieh Kamrani, Yousef Yahyapour, Abdolvahab Moradi","doi":"10.22088/IJMCM.BUMS.12.3.288","DOIUrl":null,"url":null,"abstract":"<p><p>Viral infections contribute to 15-20% of newly diagnosed cancers worldwide. There is evidence of a possible etiological role of Epstein-Barr virus (EBV) and high-risk human papillomaviruses (HR-HPVs) in colorectal carcinoma (CRC). Loss of p53 and p16 function has been found in many cancers and this may occur in many different ways, including gene mutation or interaction with viral oncoproteins. This study aimed to evaluate the presence of EBV and HPV in CRC patients in northern Iran and to assess p53 and p16 protein expression related to these viral infections. Real-time PCR was used to amplify the DNA sequences of these viruses in 55 colorectal tumoral tissues, along with their corresponding non-tumoral adjacent tissues. Additionally, immunohistochemistry (IHC) was utilized to determine p53 and p16 protein expression. EBV DNA was detected in 49.1% of CRC tissues. Furthermore, HPV DNA was present in 7.3% of CRC tissues. Notably, the prevalence of EBV infection in tumoral tissues was significantly higher than in non-tumoral tissues (P=0.001). The EBV DNA polymerase catalytic subunit (BALF5) copy number in tumoral tissues was higher than in non-tumoral tissues and this difference was statistically significant (P=0.008). P53 was positive in 21/26 (80.8%) EBV-positive and in 11/25 (44%) EBV-negative samples and this difference was significant (P=0.007). P16 was positive in 13/26 (50%) EBV-positive and in 14/25 (58.3%) EBV-negative samples (P= 0.668). Our findings suggest that EBV infection can increase the risk of CRC. In addition, EBV seems to stabilize p53 in EBV-positive CRC which needs further research. No significant correlation was detected between EBV infection and p16 expression. Also, we could not find a causal relationship between HPV infection and CRC in the study population.</p>","PeriodicalId":14152,"journal":{"name":"International Journal of Molecular and Cellular Medicine","volume":"12 3","pages":"288-299"},"PeriodicalIF":0.8000,"publicationDate":"2023-01-01","publicationTypes":"Journal Article","fieldsOfStudy":null,"isOpenAccess":false,"openAccessPdf":"https://www.ncbi.nlm.nih.gov/pmc/articles/PMC11092901/pdf/","citationCount":"0","resultStr":null,"platform":"Semanticscholar","paperid":null,"PeriodicalName":"International Journal of Molecular and Cellular Medicine","FirstCategoryId":"1085","ListUrlMain":"https://doi.org/10.22088/IJMCM.BUMS.12.3.288","RegionNum":0,"RegionCategory":null,"ArticlePicture":[],"TitleCN":null,"AbstractTextCN":null,"PMCID":null,"EPubDate":"","PubModel":"","JCR":"Q3","JCRName":"MEDICINE, RESEARCH & EXPERIMENTAL","Score":null,"Total":0}
引用次数: 0

Abstract

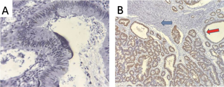
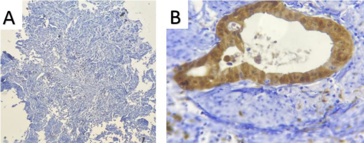
Viral infections contribute to 15-20% of newly diagnosed cancers worldwide. There is evidence of a possible etiological role of Epstein-Barr virus (EBV) and high-risk human papillomaviruses (HR-HPVs) in colorectal carcinoma (CRC). Loss of p53 and p16 function has been found in many cancers and this may occur in many different ways, including gene mutation or interaction with viral oncoproteins. This study aimed to evaluate the presence of EBV and HPV in CRC patients in northern Iran and to assess p53 and p16 protein expression related to these viral infections. Real-time PCR was used to amplify the DNA sequences of these viruses in 55 colorectal tumoral tissues, along with their corresponding non-tumoral adjacent tissues. Additionally, immunohistochemistry (IHC) was utilized to determine p53 and p16 protein expression. EBV DNA was detected in 49.1% of CRC tissues. Furthermore, HPV DNA was present in 7.3% of CRC tissues. Notably, the prevalence of EBV infection in tumoral tissues was significantly higher than in non-tumoral tissues (P=0.001). The EBV DNA polymerase catalytic subunit (BALF5) copy number in tumoral tissues was higher than in non-tumoral tissues and this difference was statistically significant (P=0.008). P53 was positive in 21/26 (80.8%) EBV-positive and in 11/25 (44%) EBV-negative samples and this difference was significant (P=0.007). P16 was positive in 13/26 (50%) EBV-positive and in 14/25 (58.3%) EBV-negative samples (P= 0.668). Our findings suggest that EBV infection can increase the risk of CRC. In addition, EBV seems to stabilize p53 in EBV-positive CRC which needs further research. No significant correlation was detected between EBV infection and p16 expression. Also, we could not find a causal relationship between HPV infection and CRC in the study population.

Abstract Image

Abstract Image

结直肠癌中的 EBV 和 HPV 感染及其对 P53 和 P16 蛋白表达的影响
病毒感染占全球新诊断癌症的 15-20%。有证据表明,Epstein-Barr 病毒(EBV)和高危人乳头瘤病毒(HR-HPV)可能是结直肠癌(CRC)的致病因素。在许多癌症中都发现了 p53 和 p16 功能的缺失,这种缺失可能以多种不同的方式发生,包括基因突变或与病毒癌蛋白相互作用。本研究旨在评估伊朗北部癌症患者中是否存在 EBV 和 HPV,并评估与这些病毒感染相关的 p53 和 p16 蛋白表达。研究采用实时 PCR 技术扩增 55 例结直肠肿瘤组织及其相应的非肿瘤邻近组织中这些病毒的 DNA 序列。此外,还利用免疫组化(IHC)技术确定了 p53 和 p16 蛋白的表达。在 49.1% 的 CRC 组织中检测到了 EBV DNA。此外,7.3%的 CRC 组织中存在 HPV DNA。值得注意的是,肿瘤组织中的 EBV 感染率明显高于非肿瘤组织(P=0.001)。肿瘤组织中的 EBV DNA 聚合酶催化亚基(BALF5)拷贝数高于非肿瘤组织,差异有统计学意义(P=0.008)。在 21/26 份(80.8%)EBV 阳性样本和 11/25 份(44%)EBV 阴性样本中,P53 呈阳性,差异有显著性(P=0.007)。在 13/26 份(50%)EBV 阳性样本和 14/25 份(58.3%)EBV 阴性样本中,P16 呈阳性(P= 0.668)。我们的研究结果表明,EBV 感染会增加罹患癌症的风险。此外,EBV 似乎能稳定 EBV 阳性 CRC 中的 p53,这需要进一步研究。在 EBV 感染和 p16 表达之间没有发现明显的相关性。此外,在研究人群中,我们也没有发现 HPV 感染与 CRC 之间存在因果关系。
本文章由计算机程序翻译,如有差异,请以英文原文为准。
求助全文
约1分钟内获得全文 求助全文
来源期刊
CiteScore
3.60
自引率
0.00%
发文量
0
期刊介绍: The International Journal of Molecular and Cellular Medicine (IJMCM) is a peer-reviewed, quarterly publication of Cellular and Molecular Biology Research Center (CMBRC), Babol University of Medical Sciences, Babol, Iran. The journal covers all cellular & molecular biology and medicine disciplines such as the genetic basis of disease, biomarker discovery in diagnosis and treatment, genomics and proteomics, bioinformatics, computer applications in human biology, stem cells and tissue engineering, medical biotechnology, nanomedicine, cellular processes related to growth, death and survival, clinical biochemistry, molecular & cellular immunology, molecular and cellular aspects of infectious disease and cancer research. IJMCM is a free access journal. All open access articles published in IJMCM are distributed under the terms of the Creative Commons Attribution CC BY. The journal doesn''t have any submission and article processing charges (APCs).
×
引用
GB/T 7714-2015
复制
MLA
复制
APA
复制
导出至
BibTeX EndNote RefMan NoteFirst NoteExpress
×
提示
您的信息不完整,为了账户安全,请先补充。
现在去补充
×
提示
您因"违规操作"
具体请查看互助需知
我知道了
×
提示
确定
请完成安全验证×
copy
已复制链接
快去分享给好友吧!
我知道了
右上角分享
点击右上角分享
0
联系我们:info@booksci.cn Book学术提供免费学术资源搜索服务,方便国内外学者检索中英文文献。致力于提供最便捷和优质的服务体验。 Copyright © 2023 布克学术 All rights reserved.
京ICP备2023020795号-1
ghs 京公网安备 11010802042870号
Book学术文献互助
Book学术文献互助群
群 号:604180095
Book学术官方微信