A Case Report of Asthma Exacerbation Induced by Excessive Drinking Water.

IF 0.6 Q3 MEDICINE, GENERAL & INTERNAL
Clinical Medicine Insights. Case Reports Pub Date : 2024-05-12 eCollection Date: 2024-01-01 DOI:10.1177/11795476241253107
Shunxin Lv, Huachen Jiao, Ying Qu, Mengdi Zhang, Rui Wang, Yan Li, Feng Jiang, Laiyun Xin
{"title":"A Case Report of Asthma Exacerbation Induced by Excessive Drinking Water.","authors":"Shunxin Lv, Huachen Jiao, Ying Qu, Mengdi Zhang, Rui Wang, Yan Li, Feng Jiang, Laiyun Xin","doi":"10.1177/11795476241253107","DOIUrl":null,"url":null,"abstract":"<p><p>Excessive water consumption is an extremely rare and potential asthma risk factor with very few cases reported in the literature. Common triggers of asthma include genetic factors, smoking, allergens, and viral respiratory infections. The adult patient with asthma reportedly drank too much water and was unable to get relief from his asthma while hospitalized. The patient's asthma was better controlled with the use of diuretics and control of the patient's fluid intake and output. This case explores asthma induced by excessive drinking of water.</p>","PeriodicalId":10357,"journal":{"name":"Clinical Medicine Insights. Case Reports","volume":"17 ","pages":"11795476241253107"},"PeriodicalIF":0.6000,"publicationDate":"2024-05-12","publicationTypes":"Journal Article","fieldsOfStudy":null,"isOpenAccess":false,"openAccessPdf":"https://www.ncbi.nlm.nih.gov/pmc/articles/PMC11092540/pdf/","citationCount":"0","resultStr":null,"platform":"Semanticscholar","paperid":null,"PeriodicalName":"Clinical Medicine Insights. Case Reports","FirstCategoryId":"1085","ListUrlMain":"https://doi.org/10.1177/11795476241253107","RegionNum":0,"RegionCategory":null,"ArticlePicture":[],"TitleCN":null,"AbstractTextCN":null,"PMCID":null,"EPubDate":"2024/1/1 0:00:00","PubModel":"eCollection","JCR":"Q3","JCRName":"MEDICINE, GENERAL & INTERNAL","Score":null,"Total":0}
引用次数: 0

Abstract

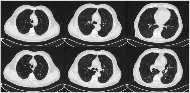
Excessive water consumption is an extremely rare and potential asthma risk factor with very few cases reported in the literature. Common triggers of asthma include genetic factors, smoking, allergens, and viral respiratory infections. The adult patient with asthma reportedly drank too much water and was unable to get relief from his asthma while hospitalized. The patient's asthma was better controlled with the use of diuretics and control of the patient's fluid intake and output. This case explores asthma induced by excessive drinking of water.

Abstract Image

Abstract Image

Abstract Image

过量饮水诱发哮喘加重的病例报告
过量饮水是一种极为罕见的潜在哮喘风险因素,文献中仅有极少数病例报道。哮喘的常见诱因包括遗传因素、吸烟、过敏原和病毒性呼吸道感染。据报道,该哮喘成年患者喝水过多,住院期间哮喘无法缓解。通过使用利尿剂和控制患者的液体摄入量和排出量,患者的哮喘得到了较好的控制。本病例探讨了过量饮水诱发的哮喘。
本文章由计算机程序翻译,如有差异,请以英文原文为准。
求助全文
约1分钟内获得全文 求助全文
来源期刊
Clinical Medicine Insights. Case Reports
Clinical Medicine Insights. Case Reports MEDICINE, GENERAL & INTERNAL-
CiteScore
1.10
自引率
0.00%
发文量
57
审稿时长
8 weeks
×
引用
GB/T 7714-2015
复制
MLA
复制
APA
复制
导出至
BibTeX EndNote RefMan NoteFirst NoteExpress
×
提示
您的信息不完整,为了账户安全,请先补充。
现在去补充
×
提示
您因"违规操作"
具体请查看互助需知
我知道了
×
提示
确定
请完成安全验证×
copy
已复制链接
快去分享给好友吧!
我知道了
右上角分享
点击右上角分享
0
联系我们:info@booksci.cn Book学术提供免费学术资源搜索服务,方便国内外学者检索中英文文献。致力于提供最便捷和优质的服务体验。 Copyright © 2023 布克学术 All rights reserved.
京ICP备2023020795号-1
ghs 京公网安备 11010802042870号
Book学术文献互助
Book学术文献互助群
群 号:604180095
Book学术官方微信