Understanding the Brain-Heart Connection Through a Case of Angry Glioma Syndrome.

Johanna Vaylen M Sarmiento, Rhoderick M Casis, Paul Vincent A Opinaldo
{"title":"Understanding the Brain-Heart Connection Through a Case of Angry Glioma Syndrome.","authors":"Johanna Vaylen M Sarmiento, Rhoderick M Casis, Paul Vincent A Opinaldo","doi":"10.14791/btrt.2024.0004","DOIUrl":null,"url":null,"abstract":"<p><p>We discuss a patient with a tumor on the anterior corpus callosum who underwent open biopsy eventually succumbing to cerebrogenic fatal arrhythmia following wounded glioma syndrome. A healthy 37-year-old female patient was admitted to our department due to a history of headache for 13 months. MRI revealed a suspicious glioma infiltrating the anterior corpus callosum. Neurologic examination only showed low cognitive assessment score (Montreal Cognitive Assessment score 20/30). ECG was normal sinus rhythm. Steroids and levetiracetam were administered prior to operation. Patient underwent right frontal craniotomy and biopsy of tumor with unremarkable events. During the first hospital day, patient had episodes of bradycardia followed by decrease in sensorium. Brain CT scan showed progression of edema without hemorrhage within the tumor bed. This was followed minutes later by two episodes of generalized tonic-clonic seizures and pulseless ventricular tachycardia. Cardiac resuscitation was done for 24 minutes but patient eventually expired. Location of the lesion and the epileptogenicity of the peritumoral cortex greatly contributed to the patient's demise. Involvement of the fronto-mesial structures, particularly the insula and the cingulate cortex, and their connection to the central autonomic network, increased susceptibility to arrhythmias. Decreased seizure threshold worsened post-operative edema, further aggravating the dysregulation of the brain-heart-connection.</p>","PeriodicalId":72453,"journal":{"name":"Brain tumor research and treatment","volume":"12 2","pages":"121-124"},"PeriodicalIF":0.0000,"publicationDate":"2024-04-01","publicationTypes":"Journal Article","fieldsOfStudy":null,"isOpenAccess":false,"openAccessPdf":"https://www.ncbi.nlm.nih.gov/pmc/articles/PMC11096629/pdf/","citationCount":"0","resultStr":null,"platform":"Semanticscholar","paperid":null,"PeriodicalName":"Brain tumor research and treatment","FirstCategoryId":"1085","ListUrlMain":"https://doi.org/10.14791/btrt.2024.0004","RegionNum":0,"RegionCategory":null,"ArticlePicture":[],"TitleCN":null,"AbstractTextCN":null,"PMCID":null,"EPubDate":"","PubModel":"","JCR":"","JCRName":"","Score":null,"Total":0}
引用次数: 0

Abstract

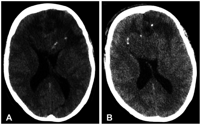
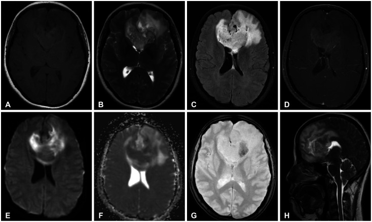
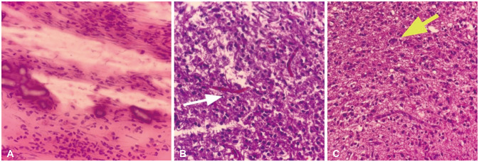
We discuss a patient with a tumor on the anterior corpus callosum who underwent open biopsy eventually succumbing to cerebrogenic fatal arrhythmia following wounded glioma syndrome. A healthy 37-year-old female patient was admitted to our department due to a history of headache for 13 months. MRI revealed a suspicious glioma infiltrating the anterior corpus callosum. Neurologic examination only showed low cognitive assessment score (Montreal Cognitive Assessment score 20/30). ECG was normal sinus rhythm. Steroids and levetiracetam were administered prior to operation. Patient underwent right frontal craniotomy and biopsy of tumor with unremarkable events. During the first hospital day, patient had episodes of bradycardia followed by decrease in sensorium. Brain CT scan showed progression of edema without hemorrhage within the tumor bed. This was followed minutes later by two episodes of generalized tonic-clonic seizures and pulseless ventricular tachycardia. Cardiac resuscitation was done for 24 minutes but patient eventually expired. Location of the lesion and the epileptogenicity of the peritumoral cortex greatly contributed to the patient's demise. Involvement of the fronto-mesial structures, particularly the insula and the cingulate cortex, and their connection to the central autonomic network, increased susceptibility to arrhythmias. Decreased seizure threshold worsened post-operative edema, further aggravating the dysregulation of the brain-heart-connection.

Abstract Image

Abstract Image

Abstract Image

通过愤怒胶质瘤综合征病例了解大脑与心脏的联系。
我们讨论的是一名胼胝体前部肿瘤患者,她接受了开放性活组织检查,最终因伤性胶质瘤综合征导致脑源性致命心律失常而死亡。一名 37 岁的健康女性患者因头痛病史 13 个月而入住我科。磁共振成像显示,胼胝体前部有可疑胶质瘤浸润。神经系统检查仅显示认知评估得分较低(蒙特利尔认知评估得分 20/30)。心电图显示窦性心律正常。手术前服用了类固醇和左乙拉西坦。患者接受了右额叶开颅手术和肿瘤活检,术后情况无异常。住院第一天,患者出现心动过缓,随后感觉减退。脑部 CT 扫描显示肿瘤床水肿加重,但无出血。几分钟后,患者又出现了两次全身强直阵挛发作和无脉性室性心动过速。心脏复苏进行了 24 分钟,但患者最终死亡。病变的位置和瘤周皮层的致痫性在很大程度上导致了患者的死亡。前中脑结构(尤其是岛叶和扣带回皮层)的受累及其与中枢自律神经网络的联系增加了患者对心律失常的易感性。癫痫发作阈值的降低加重了术后水肿,进一步加剧了脑-心连接的失调。
本文章由计算机程序翻译,如有差异,请以英文原文为准。
求助全文
约1分钟内获得全文 求助全文
来源期刊
自引率
0.00%
发文量
0
×
引用
GB/T 7714-2015
复制
MLA
复制
APA
复制
导出至
BibTeX EndNote RefMan NoteFirst NoteExpress
×
提示
您的信息不完整,为了账户安全,请先补充。
现在去补充
×
提示
您因"违规操作"
具体请查看互助需知
我知道了
×
提示
确定
请完成安全验证×
copy
已复制链接
快去分享给好友吧!
我知道了
右上角分享
点击右上角分享
0
联系我们:info@booksci.cn Book学术提供免费学术资源搜索服务,方便国内外学者检索中英文文献。致力于提供最便捷和优质的服务体验。 Copyright © 2023 布克学术 All rights reserved.
京ICP备2023020795号-1
ghs 京公网安备 11010802042870号
Book学术文献互助
Book学术文献互助群
群 号:604180095
Book学术官方微信