Treatment of Clival Giant Cell Tumor: A Case Report and Literature Review.

Jung Yeop Yang, Ho Kang, Yong Hwy Kim
{"title":"Treatment of Clival Giant Cell Tumor: A Case Report and Literature Review.","authors":"Jung Yeop Yang, Ho Kang, Yong Hwy Kim","doi":"10.14791/btrt.2024.0010","DOIUrl":null,"url":null,"abstract":"<p><p>Giant cell tumors (GCTs) are locally aggressive primary bone tumors of osteoclast-like cells. Most GCTs occur within the long bones, and primary GCTs involving the clivus are extremely rare. We present the case of an 18-year-old boy with binocular horizontal diplopia with an insidious onset who was found to have a hypointense enhancing mass involving the clivus and left side dorsum sellae on magnetic resonance images. The tumor was completely resected via an endoscopic endonasal transclival approach, and histopathologic examination via immunohistochemistry indicated a GCT. The patient's left abducens nerve palsy improved slightly after surgery. Because of the rarity of GCTs, there is no consensus about the definitive treatment protocol. However, we suggest that gross total resection is the treatment of choice, and denosumab plays a critical role in patients with subtotal resection.</p>","PeriodicalId":72453,"journal":{"name":"Brain tumor research and treatment","volume":"12 2","pages":"132-140"},"PeriodicalIF":0.0000,"publicationDate":"2024-04-01","publicationTypes":"Journal Article","fieldsOfStudy":null,"isOpenAccess":false,"openAccessPdf":"https://www.ncbi.nlm.nih.gov/pmc/articles/PMC11096631/pdf/","citationCount":"0","resultStr":null,"platform":"Semanticscholar","paperid":null,"PeriodicalName":"Brain tumor research and treatment","FirstCategoryId":"1085","ListUrlMain":"https://doi.org/10.14791/btrt.2024.0010","RegionNum":0,"RegionCategory":null,"ArticlePicture":[],"TitleCN":null,"AbstractTextCN":null,"PMCID":null,"EPubDate":"","PubModel":"","JCR":"","JCRName":"","Score":null,"Total":0}
引用次数: 0

Abstract

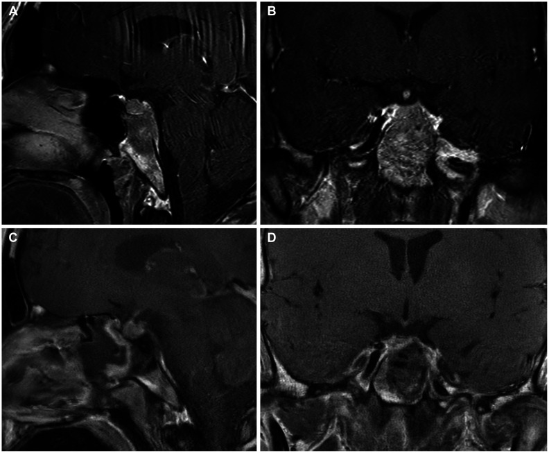
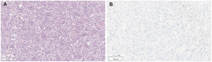
Giant cell tumors (GCTs) are locally aggressive primary bone tumors of osteoclast-like cells. Most GCTs occur within the long bones, and primary GCTs involving the clivus are extremely rare. We present the case of an 18-year-old boy with binocular horizontal diplopia with an insidious onset who was found to have a hypointense enhancing mass involving the clivus and left side dorsum sellae on magnetic resonance images. The tumor was completely resected via an endoscopic endonasal transclival approach, and histopathologic examination via immunohistochemistry indicated a GCT. The patient's left abducens nerve palsy improved slightly after surgery. Because of the rarity of GCTs, there is no consensus about the definitive treatment protocol. However, we suggest that gross total resection is the treatment of choice, and denosumab plays a critical role in patients with subtotal resection.

Abstract Image

Abstract Image

Abstract Image

Clival 巨大细胞瘤的治疗:病例报告与文献综述
巨细胞瘤(GCT)是由破骨细胞样细胞组成的局部侵袭性原发性骨肿瘤。大多数 GCT 发生在长骨中,而累及蝶骨的原发性 GCT 则极为罕见。我们介绍了一例18岁男孩的病例,他患有双眼水平复视,起病隐匿,在磁共振图像上被发现有一个低密度增强的肿块,累及蝶骨和左侧背嵴。肿瘤经内窥镜鼻腔内经颅途径完全切除,免疫组化组织病理学检查显示为 GCT。术后,患者的左侧外展神经麻痹略有改善。由于 GCTs 的罕见性,目前尚未就明确的治疗方案达成共识。不过,我们建议首选全切除术,而地诺单抗在次全切除术患者中起着至关重要的作用。
本文章由计算机程序翻译,如有差异,请以英文原文为准。
求助全文
约1分钟内获得全文 求助全文
来源期刊
自引率
0.00%
发文量
0
×
引用
GB/T 7714-2015
复制
MLA
复制
APA
复制
导出至
BibTeX EndNote RefMan NoteFirst NoteExpress
×
提示
您的信息不完整,为了账户安全,请先补充。
现在去补充
×
提示
您因"违规操作"
具体请查看互助需知
我知道了
×
提示
确定
请完成安全验证×
copy
已复制链接
快去分享给好友吧!
我知道了
右上角分享
点击右上角分享
0
联系我们:info@booksci.cn Book学术提供免费学术资源搜索服务,方便国内外学者检索中英文文献。致力于提供最便捷和优质的服务体验。 Copyright © 2023 布克学术 All rights reserved.
京ICP备2023020795号-1
ghs 京公网安备 11010802042870号
Book学术文献互助
Book学术文献互助群
群 号:604180095
Book学术官方微信