Solitary Skull Langerhans Cell Histiocytosis Presenting With a Pus Draining Fistula: An Unusual Presentation and Review of Literature.

Hafiza Hifza Bashir, Hafiza Fatima Aziz, Faizan Saeed, Muhammad Ehsan Bari, Nasir Uddin
{"title":"Solitary Skull Langerhans Cell Histiocytosis Presenting With a Pus Draining Fistula: An Unusual Presentation and Review of Literature.","authors":"Hafiza Hifza Bashir, Hafiza Fatima Aziz, Faizan Saeed, Muhammad Ehsan Bari, Nasir Uddin","doi":"10.14791/btrt.2023.0043","DOIUrl":null,"url":null,"abstract":"<p><p>Langerhans cell histiocytosis (LCH) is a rare condition in adults, especially when it is limited to a single area of the skull, known as solitary calvarial involvement. In this case report, we present a unique instance of LCH affecting the parietal bone with a pus-draining fistula. This is a rare and unusual presentation at this location, which has been scarcely reported in medical literature. A 30-year-old woman with no prior comorbidity presented with complaints of headache that persisted for a year. She also had swelling on her scalp and a yellowish discharge for 3 weeks, but no neurological problems were observed. Radiology revealed thinning of the calvaria, with ragged margins along the inner table, multiple focal erosions, and involvement of overlying soft tissue and bony sequestrum. The patient underwent biparietal craniotomy and excision of the lesion. The histopathology report showed LCH. After 8 months of follow-up, there was no recurrence. The management of solitary calvarial involvement by LCH with masquerading presentation as a scalp infection can be achieved through complete excision of the lesions, resulting in a favorable outcome.</p>","PeriodicalId":72453,"journal":{"name":"Brain tumor research and treatment","volume":"12 2","pages":"109-114"},"PeriodicalIF":0.0000,"publicationDate":"2024-04-01","publicationTypes":"Journal Article","fieldsOfStudy":null,"isOpenAccess":false,"openAccessPdf":"https://www.ncbi.nlm.nih.gov/pmc/articles/PMC11096636/pdf/","citationCount":"0","resultStr":null,"platform":"Semanticscholar","paperid":null,"PeriodicalName":"Brain tumor research and treatment","FirstCategoryId":"1085","ListUrlMain":"https://doi.org/10.14791/btrt.2023.0043","RegionNum":0,"RegionCategory":null,"ArticlePicture":[],"TitleCN":null,"AbstractTextCN":null,"PMCID":null,"EPubDate":"","PubModel":"","JCR":"","JCRName":"","Score":null,"Total":0}
引用次数: 0

Abstract

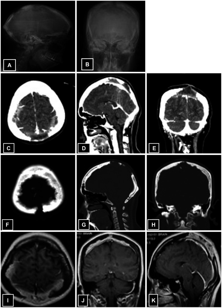
Langerhans cell histiocytosis (LCH) is a rare condition in adults, especially when it is limited to a single area of the skull, known as solitary calvarial involvement. In this case report, we present a unique instance of LCH affecting the parietal bone with a pus-draining fistula. This is a rare and unusual presentation at this location, which has been scarcely reported in medical literature. A 30-year-old woman with no prior comorbidity presented with complaints of headache that persisted for a year. She also had swelling on her scalp and a yellowish discharge for 3 weeks, but no neurological problems were observed. Radiology revealed thinning of the calvaria, with ragged margins along the inner table, multiple focal erosions, and involvement of overlying soft tissue and bony sequestrum. The patient underwent biparietal craniotomy and excision of the lesion. The histopathology report showed LCH. After 8 months of follow-up, there was no recurrence. The management of solitary calvarial involvement by LCH with masquerading presentation as a scalp infection can be achieved through complete excision of the lesions, resulting in a favorable outcome.

Abstract Image

Abstract Image

Abstract Image

以脓液引流瘘为表现的孤立性颅骨朗格汉斯细胞组织细胞增生症:一种不寻常的表现和文献综述。
朗格汉斯细胞组织细胞增生症(Langerhans cell histiocytosis,LCH)是一种罕见的成人疾病,尤其是当它局限于颅骨的一个区域时,即所谓的单发颅骨受累。在本病例报告中,我们发现了一例独特的 LCH 病例,它累及顶骨并伴有排脓性瘘管。在医学文献中,很少有关于这个部位的罕见病例报道。一名 30 岁的女性患者既往无合并症,主诉头痛持续一年。头皮肿胀和淡黄色分泌物已持续 3 周,但未发现神经系统问题。放射学检查显示,小腿变薄,内台边缘粗糙,多处局灶性侵蚀,上覆软组织和骨性骨赘受累。患者接受了双顶开颅手术,切除了病灶。组织病理报告显示为 LCH。经过 8 个月的随访,患者没有复发。通过彻底切除病灶,可以治疗被 LCH 累及的单发颅骨,并将其伪装成头皮感染,从而获得良好的治疗效果。
本文章由计算机程序翻译,如有差异,请以英文原文为准。
求助全文
约1分钟内获得全文 求助全文
来源期刊
自引率
0.00%
发文量
0
×
引用
GB/T 7714-2015
复制
MLA
复制
APA
复制
导出至
BibTeX EndNote RefMan NoteFirst NoteExpress
×
提示
您的信息不完整,为了账户安全,请先补充。
现在去补充
×
提示
您因"违规操作"
具体请查看互助需知
我知道了
×
提示
确定
请完成安全验证×
copy
已复制链接
快去分享给好友吧!
我知道了
右上角分享
点击右上角分享
0
联系我们:info@booksci.cn Book学术提供免费学术资源搜索服务,方便国内外学者检索中英文文献。致力于提供最便捷和优质的服务体验。 Copyright © 2023 布克学术 All rights reserved.
京ICP备2023020795号-1
ghs 京公网安备 11010802042870号
Book学术文献互助
Book学术文献互助群
群 号:604180095
Book学术官方微信